Skip to main content

ZNF264 Antibody - BSA Free

Novus Biologicals, part of Bio-Techne | Catalog # NBP2-94825

Novus Biologicals, part of Bio-Techne
Catalog #
Availability
Size / Price
Qty
Loading...
NBP2-94825-0.02ml
NBP2-94825-0.1ml

Key Product Details

Species Reactivity

Human, Mouse, Rat

Applications

Immunohistochemistry, Immunohistochemistry-Paraffin, Western Blot, Immunocytochemistry/ Immunofluorescence

Label

Unconjugated

Antibody Source

Polyclonal Rabbit IgG

Format

BSA Free

Concentration

Please see the vial label for concentration. If unlisted please contact technical services.

Product Specifications

Immunogen

Recombinant fusion protein containing a sequence corresponding to amino acids 1-220 of human ZNF264 (NP_003408.1). MAAAVLTDRAQVSVTFDDVAVTFTKEEWGQLDLAQRTLYQEVMLENCGLLVSLGCPVPKAELICHLEHGQEPWTRKEDLSQDTCPGDKGKPKTTEPTTCEPALSEGISLQGQVTQGNSVDSQLGQAEDQDGLSEMQEGHFRPGIDPQEKSPGKMSPECDGLGTADGVCSRIGQEQVSPGDRVRSHNSCESGKDPMIQEEENNFKCSECGKVFNKKHLLAG

Clonality

Polyclonal

Host

Rabbit

Isotype

IgG

Theoretical MW

70 kDa.
Disclaimer note: The observed molecular weight of the protein may vary from the listed predicted molecular weight due to post translational modifications, post translation cleavages, relative charges, and other experimental factors.

Description

Novus Biologicals Rabbit ZNF264 Antibody - BSA Free (NBP2-94825) is a polyclonal antibody validated for use in IHC, WB and ICC/IF. All Novus Biologicals antibodies are covered by our 100% guarantee.

Scientific Data Images for ZNF264 Antibody - BSA Free

Western Blot: ZNF264 AntibodyBSA Free [NBP2-94825]

Western Blot: ZNF264 AntibodyBSA Free [NBP2-94825]

Western Blot: ZNF264 Antibody [NBP2-94825] - Analysis of extracts of various cell lines, using ZNF264 at 1:1000 dilution. Secondary antibody: HRP Goat Anti-Rabbit IgG (H+L) at 1:10000 dilution. Lysates/proteins: 25ug per lane. Blocking buffer: 3% nonfat dry milk in TBST. Detection: ECL Basic Kit . Exposure time: 90s.
Immunocytochemistry/ Immunofluorescence: ZNF264 Antibody - BSA Free [NBP2-94825]

Immunocytochemistry/ Immunofluorescence: ZNF264 Antibody - BSA Free [NBP2-94825]

Immunocytochemistry/Immunofluorescence: ZNF264 Antibody [NBP2-94825] - Analysis of U-2 OS cells using ZNF264 at dilution of 1:100. Blue: DAPI for nuclear staining.
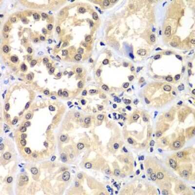
Immunohistochemistry-Paraffin: ZNF264 Antibody - BSA Free [NBP2-94825]

Immunohistochemistry-Paraffin: ZNF264 Antibody - BSA Free [NBP2-94825]

Immunohistochemistry-Paraffin: ZNF264 Antibody [NBP2-94825] - Paraffin-embedded human kidney using ZNF264 .

Applications for ZNF264 Antibody - BSA Free

Application
Recommended Usage

Immunocytochemistry/ Immunofluorescence

1:50-1:200

Immunohistochemistry

1:50-1:200

Western Blot

1:500-1:2000

Formulation, Preparation, and Storage

Purification

Affinity purified

Formulation

PBS (pH 7.3), 50% glycerol

Format

BSA Free

Preservative

0.02% Sodium Azide

Concentration

Please see the vial label for concentration. If unlisted please contact technical services.

Shipping

The product is shipped with polar packs. Upon receipt, store it immediately at the temperature recommended below.

Stability & Storage

Store at -20C. Avoid freeze-thaw cycles.

Background: ZNF264

ZNF264 may be involved in transcriptional regulation

Alternate Names

KIAA0412, zinc finger protein 264

Gene Symbol

ZNF264

Additional ZNF264 Products

Product Documents for ZNF264 Antibody - BSA Free

Certificate of Analysis

To download a Certificate of Analysis, please enter a lot number in the search box below.

Product Specific Notices for ZNF264 Antibody - BSA Free

This product is for research use only and is not approved for use in humans or in clinical diagnosis. Primary Antibodies are guaranteed for 1 year from date of receipt.

Loading...
Loading...
Loading...
Loading...