Skip to main content

ZNF264 Antibody - BSA Free

Novus Biologicals, part of Bio-Techne | Catalog # NBP1-80297

Novus Biologicals, part of Bio-Techne
Catalog #
Availability
Size / Price
Qty
Loading...
NBP1-80297

Key Product Details

Species Reactivity

Human

Applications

Immunohistochemistry, Immunohistochemistry-Paraffin, Western Blot

Label

Unconjugated

Antibody Source

Polyclonal Rabbit IgG

Format

BSA Free

Concentration

0.5 mg/ml

Product Specifications

Immunogen

Synthetic peptide directed towards the N terminal of human ZNF264. Peptide sequence AAAVLTDRAQVSVTFDDVAVTFTKEEWGQLDLAQRTLYQEVMLENCGLLV. The peptide sequence for this immunogen was taken from within the described region.

Clonality

Polyclonal

Host

Rabbit

Isotype

IgG

Description

The addition of 50% glycerol is optional for those storing this antibody at -20C and not aliquoting smaller units. However, please note that glycerol may interrupt some downstream antibody applications and should be added with caution.

Scientific Data Images for ZNF264 Antibody - BSA Free

Western Blot: ZNF264 Antibody [NBP1-80297]

Western Blot: ZNF264 Antibody [NBP1-80297]

Western Blot: ZNF264 Antibody [NBP1-80297] - Titration: 0.2-1 ug/ml, Positive Control: 721_B cell lysate.
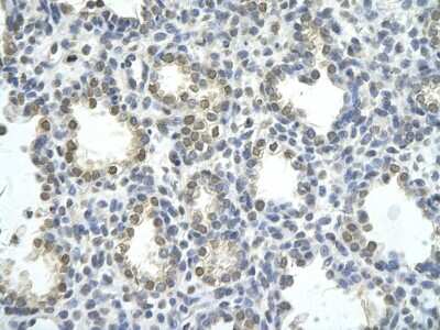
Immunohistochemistry: ZNF264 Antibody [NBP1-80297]

Immunohistochemistry: ZNF264 Antibody [NBP1-80297]

Immunohistochemistry: ZNF264 Antibody [NBP1-80297] - Human Lung cell Cellular data: alveolar cell Antibody Concentration: 4.0-8.0 ug/ml Magnification: 400X.

Applications for ZNF264 Antibody - BSA Free

Application
Recommended Usage

Western Blot

1.0 ug/ml

Formulation, Preparation, and Storage

Purification

Affinity purified

Formulation

PBS, 2% Sucrose

Format

BSA Free

Preservative

0.09% Sodium Azide

Concentration

0.5 mg/ml

Shipping

The product is shipped with polar packs. Upon receipt, store it immediately at the temperature recommended below.

Stability & Storage

Store at 4C short term. Aliquot and store at -20C long term. Avoid freeze-thaw cycles.

Background: ZNF264

ZNF264 may be involved in transcriptional regulation

Alternate Names

KIAA0412, zinc finger protein 264

Gene Symbol

ZNF264

Additional ZNF264 Products

Product Documents for ZNF264 Antibody - BSA Free

Certificate of Analysis

To download a Certificate of Analysis, please enter a lot number in the search box below.

Product Specific Notices for ZNF264 Antibody - BSA Free

This product is for research use only and is not approved for use in humans or in clinical diagnosis. Primary Antibodies are guaranteed for 1 year from date of receipt.

Loading...
Loading...
Loading...
Loading...