Skip to main content

ZMYND11 Antibody - BSA Free

Novus Biologicals, part of Bio-Techne | Catalog # NBP2-86909

Novus Biologicals, part of Bio-Techne
Catalog #
Availability
Size / Price
Qty
Loading...
NBP2-86909

Key Product Details

Species Reactivity

Human

Applications

Immunohistochemistry, Immunohistochemistry-Paraffin, Western Blot

Label

Unconjugated

Antibody Source

Polyclonal Rabbit

Format

BSA Free

Concentration

1 mg/ml

Product Specifications

Immunogen

The immunogen is a synthetic peptide directed towards the N-terminal region of human ZMYND11. Peptide sequence: KKGKDNKHPMYRRLVHSAVDVPTIQEKVNEGKYRSYEEFKADAQLLLHNT The peptide sequence for this immunogen was taken from within the described region.

Clonality

Polyclonal

Host

Rabbit

Description

Novus Biologicals Rabbit ZMYND11 Antibody - BSA Free (NBP2-86909) is a polyclonal antibody validated for use in IHC and WB. All Novus Biologicals antibodies are covered by our 100% guarantee.

Scientific Data Images for ZMYND11 Antibody - BSA Free

Western Blot: ZMYND11 Antibody [NBP2-86909]

Western Blot: ZMYND11 Antibody [NBP2-86909]

Western Blot: ZMYND11 Antibody [NBP2-86909] - WB Suggested Anti-ZMYND11 Antibody Titration: 1.25ug/ml. Positive Control: HepG2 cell lysateZMYND11 is supported by BioGPS gene expression data to be expressed in HepG2
Immunohistochemistry-Paraffin: ZMYND11 Antibody [NBP2-86909]

Immunohistochemistry-Paraffin: ZMYND11 Antibody [NBP2-86909]

Immunohistochemistry-Paraffin: ZMYND11 Antibody [NBP2-86909] - Rabbit Anti-ZMYND11 Antibody. Paraffin Embedded Tissue: Human alveolar cell. Cellular Data: Epithelial cells of renal tubule. Antibody Concentration: 4.0-8.0 ug/ml. Magnification: 400X
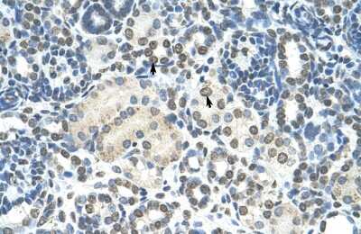
Immunohistochemistry: ZMYND11 Antibody [NBP2-86909]

Immunohistochemistry: ZMYND11 Antibody [NBP2-86909]

Immunohistochemistry: ZMYND11 Antibody [NBP2-86909] - Human kidney

Applications for ZMYND11 Antibody - BSA Free

Application
Recommended Usage

Western Blot

1.0 ug/ml

Formulation, Preparation, and Storage

Purification

Protein A purified

Formulation

PBS, 2% Sucrose

Format

BSA Free

Preservative

0.09% Sodium Azide

Concentration

1 mg/ml

Shipping

The product is shipped with polar packs. Upon receipt, store it immediately at the temperature recommended below.

Stability & Storage

Store at 4C short term. Aliquot and store at -20C long term. Avoid freeze-thaw cycles.

Background: ZMYND11

ZMYND11 is encoded by this gene was first identified by its ability to bind the adenovirus E1A protein. The protein localizes to the nucleus. It functions as a transcriptional repressor, and expression of E1A inhibits this repression. Alternatively spliced transcript variants encoding different isoforms have been identified.

Alternate Names

adenovirus 5 E1A binding protein, Adenovirus 5 E1A-binding protein, bone morphogenetic protein receptor-associated molecule 1, BRAM1, MGC111056, MYND domain containing 11, Protein BS69, zinc finger MYND domain-containing protein 11, zinc finger, MYND-type containing 11

Gene Symbol

ZMYND11

Additional ZMYND11 Products

Product Documents for ZMYND11 Antibody - BSA Free

Certificate of Analysis

To download a Certificate of Analysis, please enter a lot number in the search box below.

Product Specific Notices for ZMYND11 Antibody - BSA Free

This product is for research use only and is not approved for use in humans or in clinical diagnosis. Primary Antibodies are guaranteed for 1 year from date of receipt.

Loading...
Loading...
Loading...
Loading...