YTHDC2 Antibody (HL1862) - Azide and BSA Free
Novus Biologicals, part of Bio-Techne | Catalog # NBP3-25760
Recombinant Monoclonal Antibody
Key Product Details
Validated by
Orthogonal Validation
Species Reactivity
Human, Mouse
Applications
Immunohistochemistry, Immunohistochemistry-Paraffin, Western Blot, Immunocytochemistry/ Immunofluorescence
Label
Unconjugated
Antibody Source
Recombinant Monoclonal Rabbit IgG Clone # HL1862 expressed in HEK293
Format
Azide and BSA Free
Concentration
Concentrations vary lot to lot. See vial label for concentration. If unlisted please contact technical services.
Product Specifications
Immunogen
Recombinant protein encompassing a sequence within the C-terminus region of human YTHDC2. The exact sequence is proprietary.
Clonality
Monoclonal
Host
Rabbit
Isotype
IgG
Description
Novus Biologicals Rabbit YTHDC2 Antibody (HL1862) - Azide and BSA Free (NBP3-25760) is a recombinant monoclonal antibody validated for use in IHC, WB and ICC/IF. All Novus Biologicals antibodies are covered by our 100% guarantee.
Scientific Data Images for YTHDC2 Antibody (HL1862) - Azide and BSA Free
Western Blot: YTHDC2 Antibody (HL1862) - Azide and BSA Free [NBP3-25760] -
Western Blot: YTHDC2 Antibody (HL1862) - Azide and BSA Free [NBP3-25760] - Various whole cell extracts (30 ug) were separated by 5% SDS-PAGE, and the membrane was blotted with YTHDC2 antibody [HL1862] (NBP3-25760) diluted at 1:1000. The HRP-conjugated anti-rabbit IgG antibody was used to detect the primary antibody. Corresponding RNA expression data for the same cell lines are based on Human Protein Atlas program.Western Blot: YTHDC2 Antibody (HL1862) - Azide and BSA Free [NBP3-25760] -
Western Blot: YTHDC2 Antibody (HL1862) - Azide and BSA Free [NBP3-25760] - Various whole cell extracts (30 ug) were separated by 5% SDS-PAGE, and the membrane was blotted with YTHDC2 antibody [HL1862] (NBP3-25760) diluted at 1:1000. The HRP-conjugated anti-rabbit IgG antibody was used to detect the primary antibody.Immunohistochemistry-Paraffin: YTHDC2 Antibody (HL1862) - Azide and BSA Free [NBP3-25760] -
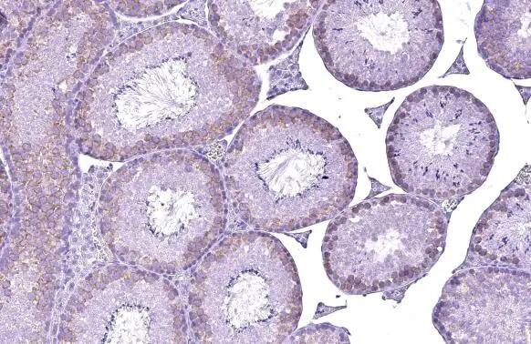
Immunohistochemistry-Paraffin: YTHDC2 Antibody (HL1862) - Azide and BSA Free [NBP3-25760] - YTHDC2 antibody [HL1862] detects YTHDC2 protein at cytoplasm by immunohistochemical analysis. Sample: Paraffin-embedded mouse testis. YTHDC2 stained by YTHDC2 antibody [HL1862] (NBP3-25760) diluted at 1:100. Antigen Retrieval: Citrate buffer, pH 6.0, 15 minApplications for YTHDC2 Antibody (HL1862) - Azide and BSA Free
Application
Recommended Usage
Western Blot
1:500-1:3000
Formulation, Preparation, and Storage
Purification
Protein A purified
Formulation
PBS
Format
Azide and BSA Free
Preservative
No Preservative
Concentration
Concentrations vary lot to lot. See vial label for concentration. If unlisted please contact technical services.
Shipping
The product is shipped with polar packs. Upon receipt, store it immediately at the temperature recommended below.
Stability & Storage
Store at 4C short term. Aliquot and store at -20C long term. Avoid freeze-thaw cycles.
Background: YTHDC2
Alternate Names
YTH domain containing 2
Gene Symbol
YTHDC2
Additional YTHDC2 Products
Product Documents for YTHDC2 Antibody (HL1862) - Azide and BSA Free
Product Specific Notices for YTHDC2 Antibody (HL1862) - Azide and BSA Free
This product is for research use only and is not approved for use in humans or in clinical diagnosis. Primary Antibodies are guaranteed for 1 year from date of receipt.
Loading...
Loading...
Loading...
Loading...