Skip to main content

Wnt-9b Antibody - BSA Free

Novus Biologicals, part of Bio-Techne | Catalog # NBP2-32479

Novus Biologicals, part of Bio-Techne
Catalog #
Availability
Size / Price
Qty
Loading...
NBP2-32479
NBP2-32479-25ul

Key Product Details

Species Reactivity

Validated:

Human

Predicted:

Mouse (95%), Rat (95%). Backed by our 100% Guarantee.

Applications

Immunohistochemistry, Immunohistochemistry-Paraffin

Label

Unconjugated

Antibody Source

Polyclonal Rabbit IgG

Format

BSA Free

Concentration

Concentrations vary lot to lot. See vial label for concentration. If unlisted please contact technical services.

Product Specifications

Immunogen

This antibody was developed against a recombinant protein corresponding to amino acids: YSTKFLSNFLGSKRGNKDLRARADAHNTHVGIKAVKSGLRT

Clonality

Polyclonal

Host

Rabbit

Isotype

IgG

Description

Novus Biologicals Rabbit Wnt-9b Antibody - BSA Free (NBP2-32479) is a polyclonal antibody validated for use in IHC. All Novus Biologicals antibodies are covered by our 100% guarantee.

Scientific Data Images for Wnt-9b Antibody - BSA Free

Immunohistochemistry-Paraffin: Wnt-9b Antibody [NBP2-32479]

Immunohistochemistry-Paraffin: Wnt-9b Antibody [NBP2-32479]

Immunohistochemistry-Paraffin: Wnt-9b Antibody [NBP2-32479] - Staining of human kidney shows strong cytoplasmic positivity in cells in tubules.
Wnt-9b Antibody

Immunohistochemistry-Paraffin: Wnt-9b Antibody [NBP2-32479] -

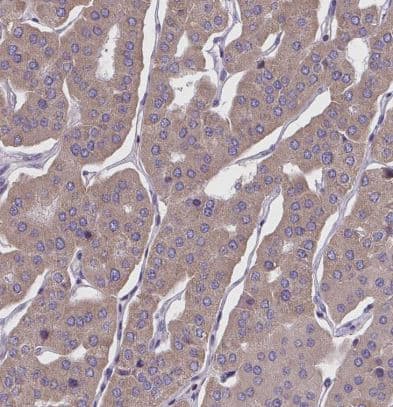
Immunohistochemistry-Paraffin: Wnt-9b Antibody [NBP2-32479] -Staining of human parathyroid gland shows moderate cytoplasmic positivity in glandular cells.
Wnt-9b Antibody

Immunohistochemistry-Paraffin: Wnt-9b Antibody [NBP2-32479] -

Immunohistochemistry-Paraffin: Wnt-9b Antibody [NBP2-32479] -Staining of human cerebral cortex shows weak cytoplasmic positivity in neuronal cells.

Applications for Wnt-9b Antibody - BSA Free

Application
Recommended Usage

Immunohistochemistry

1:200 - 1:500

Immunohistochemistry-Paraffin

1:200 - 1:500
Application Notes
For IHC-Paraffin, HIER pH 6 retrieval is recommended.

Formulation, Preparation, and Storage

Purification

Immunogen affinity purified

Formulation

PBS (pH 7.2) and 40% Glycerol

Format

BSA Free

Preservative

0.02% Sodium Azide

Concentration

Concentrations vary lot to lot. See vial label for concentration. If unlisted please contact technical services.

Shipping

The product is shipped with polar packs. Upon receipt, store it immediately at the temperature recommended below.

Stability & Storage

Store at 4C short term. Aliquot and store at -20C long term. Avoid freeze-thaw cycles.

Background: Wnt-9b

The WNT gene family consists of structurally related genes that encode secreted signaling proteins. These proteins have been implicated in oncogenesis and in several developmental processes, including regulation of cell fate and patterning during embryogenesis. This gene is a member of the WNT gene family. Study of its expression in the teratocarcinoma cell line NT2 suggests that it may be implicated in the early process of neuronal differentiation of NT2 cells induced by retinoic acid. This gene is clustered with WNT3, another family member, in the chromosome 17q21 region. [provided by RefSeq]

Long Name

Wingless-type MMTV Integration Site Family, Member 9b

Alternate Names

Wnt-14b, Wnt-15, Wnt9b

Gene Symbol

WNT9B

Additional Wnt-9b Products

Product Documents for Wnt-9b Antibody - BSA Free

Certificate of Analysis

To download a Certificate of Analysis, please enter a lot number in the search box below.

Product Specific Notices for Wnt-9b Antibody - BSA Free

This product is for research use only and is not approved for use in humans or in clinical diagnosis. Primary Antibodies are guaranteed for 1 year from date of receipt.

Loading...
Loading...
Loading...
Loading...