Wnt-4 Antibody - BSA Free
Novus Biologicals, part of Bio-Techne | Catalog # NBP2-20909
Key Product Details
Validated by
Orthogonal Validation
Species Reactivity
Validated:
Human, Mouse, Rat
Predicted:
Xenopus (90%). Backed by our 100% Guarantee.
Applications
Immunohistochemistry, Immunohistochemistry-Paraffin, Western Blot
Label
Unconjugated
Antibody Source
Polyclonal Rabbit IgG
Format
BSA Free
Concentration
Concentrations vary lot to lot. See vial label for concentration. If unlisted please contact technical services.
Product Specifications
Immunogen
Recombinant protein encompassing a sequence within the center region of human Wnt-4. The exact sequence is proprietary.
Reactivity Notes
Immunogen displays the following percentage of sequence identity for non-tested species: Japanese medaka (85%), Chicken (89%), Xenopus laevis (90%).
Localization
Secreted; extracellular space; extracellular matrix
Clonality
Polyclonal
Host
Rabbit
Isotype
IgG
Theoretical MW
39 kDa.
Disclaimer note: The observed molecular weight of the protein may vary from the listed predicted molecular weight due to post translational modifications, post translation cleavages, relative charges, and other experimental factors.
Disclaimer note: The observed molecular weight of the protein may vary from the listed predicted molecular weight due to post translational modifications, post translation cleavages, relative charges, and other experimental factors.
Description
Novus Biologicals Rabbit Wnt-4 Antibody - BSA Free (NBP2-20909) is a polyclonal antibody validated for use in IHC and WB. Anti-Wnt-4 Antibody: Cited in 1 publication. All Novus Biologicals antibodies are covered by our 100% guarantee.
Scientific Data Images for Wnt-4 Antibody - BSA Free
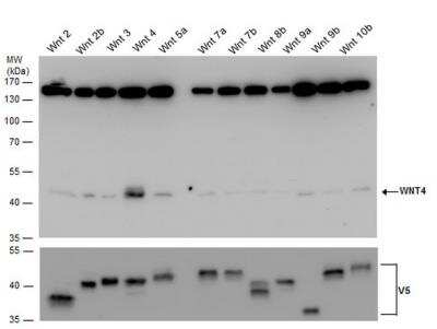
Western Blot: Wnt-4 Antibody [NBP2-20909]
Western Blot: Wnt-4 Antibody [NBP2-20909] - Various whole cell extracts (30 ug) were separated by 10% SDS-PAGE, and the membrane was blotted with WNT4 antibody diluted at a dilution of 1:1000. The HRP-conjugated anti-rabbit IgG antibody (NBP2-19301) was used to detect the primary antibody.Immunohistochemistry-Paraffin: Wnt-4 Antibody [NBP2-20909]
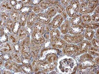
Immunohistochemistry-Paraffin: Wnt-4 Antibody [NBP2-20909] - Mouse kidney. WNT4 antibody dilution: 1:500. Antigen Retrieval: Trilogy™ (EDTA based, pH 8.0) buffer, 15min.Western Blot: Wnt-4 Antibody [NBP2-20909]
Western Blot: Wnt-4 Antibody [NBP2-20909] - Sample (30 ug of whole cell lysate) A: Non-transfected 293T lysates B: WNT4 transfected 293T lysates 10% SDS PAGE diluted at 1:5000Applications for Wnt-4 Antibody - BSA Free
Application
Recommended Usage
Immunohistochemistry
1:100-1:1000
Immunohistochemistry-Paraffin
1:100-1:1000
Western Blot
1:500-1:10000
Formulation, Preparation, and Storage
Purification
Antigen Affinity-purified
Formulation
PBS, 20% Glycerol
Format
BSA Free
Preservative
0.025% Proclin 300
Concentration
Concentrations vary lot to lot. See vial label for concentration. If unlisted please contact technical services.
Shipping
The product is shipped with polar packs. Upon receipt, store it immediately at the temperature recommended below.
Stability & Storage
Aliquot and store at -20C or -80C. Avoid freeze-thaw cycles.
Background: Wnt-4
Long Name
Wingless-type MMTV Integration Site Family, Member 4
Alternate Names
Wnt4
Gene Symbol
WNT4
UniProt
Additional Wnt-4 Products
Product Documents for Wnt-4 Antibody - BSA Free
Product Specific Notices for Wnt-4 Antibody - BSA Free
This product is for research use only and is not approved for use in humans or in clinical diagnosis. Primary Antibodies are guaranteed for 1 year from date of receipt.
Loading...
Loading...
Loading...
Loading...
⚠ WARNING: This product can expose you to chemicals including mercury, which is known to the State of California to cause reproductive toxicity with developmental effects. For more information go to www.P65Warnings.ca.gov.