Skip to main content

Wnt-4 Antibody (C1) - BSA Free

Novus Biologicals, part of Bio-Techne | Catalog # NBP3-42123

Novus Biologicals, part of Bio-Techne
Catalog #
Availability
Size / Price
Qty
Loading...
NBP3-42123

Key Product Details

Species Reactivity

Human

Applications

Immunohistochemistry, Immunohistochemistry-Paraffin, Western Blot

Label

Unconjugated

Antibody Source

Monoclonal Mouse IgG1 kappa Clone # C1

Format

BSA Free

Concentration

1 mg/ml

Product Specifications

Immunogen

Immunized with recombinant Human Wnt-4 (Uniprot#: P56705; Leu26-Arg351 (Uniprot#: P56705)

Clonality

Monoclonal

Host

Mouse

Isotype

IgG1 kappa

Description

Novus Biologicals Mouse Wnt-4 Antibody (C1) - BSA Free (NBP3-42123) is a monoclonal antibody validated for use in IHC and WB. All Novus Biologicals antibodies are covered by our 100% guarantee.

Scientific Data Images for Wnt-4 Antibody (C1) - BSA Free

Wnt-4 Antibody (C1)

Immunohistochemistry-Paraffin: Wnt-4 Antibody (C1) [NBP3-42123] -

Immunohistochemistry-Paraffin: Wnt-4 Antibody (C1) [NBP3-42123] - DAB staining on IHC-P; Samples: Human Liver Tissue; Primary Ab: 10ug/ml NBP3-42123; Second Ab: 2ug/mL HRP-Linked Caprine Anti-Mouse IgG Polyclonal Antibody
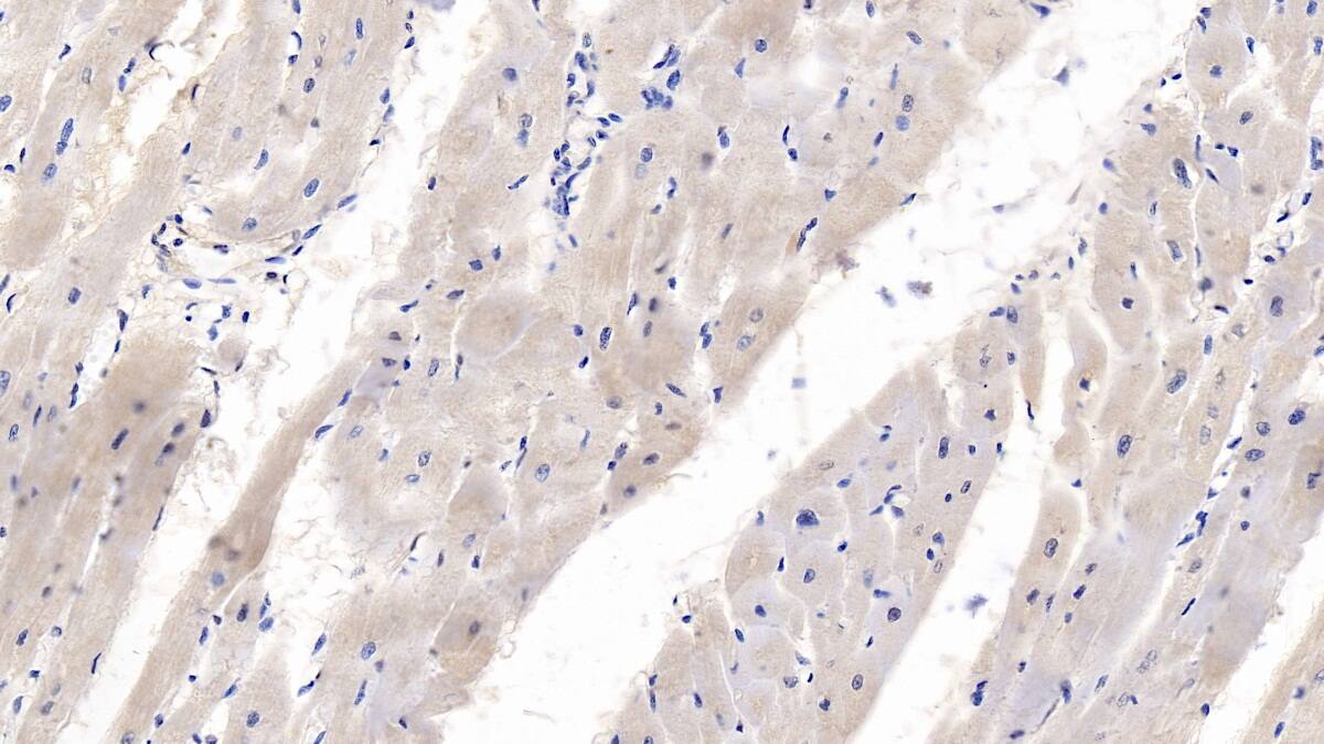
Wnt-4 Antibody (C1)

Immunohistochemistry-Paraffin: Wnt-4 Antibody (C1) [NBP3-42123] -

Immunohistochemistry-Paraffin: Wnt-4 Antibody (C1) [NBP3-42123] - DAB staining on IHC-P; Samples: Human Cardiac Muscle Tissue; Primary Ab: 10ug/ml NBP3-42123; Second Ab: 2ug/mL HRP-Linked Caprine Anti-Mouse IgG Polyclonal Antibody
Wnt-4 Antibody (C1)

Western Blot: Wnt-4 Antibody (C1) [NBP3-42123] -

Western Blot: Wnt-4 Antibody (C1) [NBP3-42123] - Sample: Recombinant Wnt-4, Human.

Applications for Wnt-4 Antibody (C1) - BSA Free

Application
Recommended Usage

Immunohistochemistry

5-20ug/mL

Immunohistochemistry-Paraffin

5-20ug/mL

Western Blot

0.01-2ug/mL

Formulation, Preparation, and Storage

Purification

Protein A or G purified

Formulation

PBS, pH7.4, 50% glycerol

Format

BSA Free

Preservative

0.02% Sodium Azide

Concentration

1 mg/ml

Shipping

The product is shipped with polar packs. Upon receipt, store it immediately at the temperature recommended below.

Stability & Storage

Store at 4C short term. Aliquot and store at -20C long term. Avoid freeze-thaw cycles.

Background: Wnt-4

The WNT gene family consists of structurally related genes which encode secreted signaling proteins. These proteins have been implicated in oncogenesis and in several developmental processes, including regulation of cell fate and patterning during embryogenesis. WNT4 is a member of the WNT gene family, and is the first signaling molecule shown to influence the sex-determination cascade. It encodes a protein which shows 98% amino acid identity to the Wnt4 protein of mouse and rat. This gene and DAX1, a gene known to antagonize the testis-determining factor, play a concerted role in both the control of female development and the prevention of testes formation. WNT4 and another two family members, WNT2 and WNT7B, may be associated with abnormal proliferation in breast tissue.

Long Name

Wingless-type MMTV Integration Site Family, Member 4

Alternate Names

Wnt4

Gene Symbol

WNT4

Additional Wnt-4 Products

Product Documents for Wnt-4 Antibody (C1) - BSA Free

Certificate of Analysis

To download a Certificate of Analysis, please enter a lot number in the search box below.

Product Specific Notices for Wnt-4 Antibody (C1) - BSA Free

This product is for research use only and is not approved for use in humans or in clinical diagnosis. Primary Antibodies are guaranteed for 1 year from date of receipt.

Loading...
Loading...
Loading...
Loading...