Skip to main content

WHIP Antibody - BSA Free

Novus Biologicals, part of Bio-Techne | Catalog # NB110-61626

Novus Biologicals, part of Bio-Techne

Key Product Details

Validated by

Independent Antibodies, Biological Validation

Species Reactivity

Validated:

Human

Predicted:

Mouse (100%), Rat (100%). Backed by our 100% Guarantee.

Applications

Immunohistochemistry, Immunohistochemistry-Paraffin, Western Blot, Immunoprecipitation

Label

Unconjugated

Antibody Source

Polyclonal Rabbit IgG

Format

BSA Free

Concentration

1.0 mg/ml

Product Specifications

Immunogen

The immunogen recognized by this antibody maps to a region between residue 400 and 450 of human Werner helicase interacting protein 1 using the numbering given in entry NP_064520.2 (GeneID 56897).

Clonality

Polyclonal

Host

Rabbit

Isotype

IgG

Theoretical MW

72 kDa.
Disclaimer note: The observed molecular weight of the protein may vary from the listed predicted molecular weight due to post translational modifications, post translation cleavages, relative charges, and other experimental factors.

Scientific Data Images for WHIP Antibody - BSA Free

Western Blot: WHIP Antibody [NB110-61626]

Western Blot: WHIP Antibody [NB110-61626]

Western Blot: WHIP Antibody [NB110-61626] - Detection of Human and Mouse WRNIP1 by Western Blot. Samples: Whole cell lysate (50 ug) from HeLa, 293T, Jurkat, mouse TCMK-1, and mouse NIH3T3 cells. Antibodies: Affinity purified rabbit anti-WRNIP1 antibody NB110-61626 used for WB at 0.4 ug/ml. Detection: Chemiluminescence with an exposure time of 30 seconds.
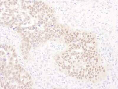
Immunohistochemistry-Paraffin: WHIP Antibody [NB110-61626]

Immunohistochemistry-Paraffin: WHIP Antibody [NB110-61626]

Immunohistochemistry-Paraffin: WHIP Antibody [NB110-61626] - Sample: FFPE section of human ovarian carcinoma. Antibody: Affinity purified rabbit anti-WRNIP1 used at a dilution of 1:1,000 (1ug/ml). Detection: DAB
Immunoprecipitation: WHIP Antibody [NB110-61626]

Immunoprecipitation: WHIP Antibody [NB110-61626]

Immunoprecipitation: WHIP Antibody [NB110-61626] - Detection of human WRNIP1 by western blot of immunoprecipitates. Samples: Whole cell lysate (1 mg for IP; 20% of IP loaded) from HeLa cells. Antibodies: Affinity purified rabbit anti-WRNIP1 antibody NB110-61626 used for IP at 6 ug/mg lysate. WRNIP1 was also immunoprecipitated by another rabbit anti-WRNIP1 antibody. For blotting immunoprecipitated WRNIP1, NB110-61626 was used at 1 ug/ml. Detection: Chemiluminescence with an exposure time of 30 seconds.

Applications for WHIP Antibody - BSA Free

Application
Recommended Usage

Immunohistochemistry

1:500 - 1:2000

Immunohistochemistry-Paraffin

1:500 - 1:2000

Immunoprecipitation

2-10 ug/mg lysate

Western Blot

1:1000 - 1:5000
Application Notes
Epitope retrieval with citrate buffer pH6.0 is recommended for FFPE tissue sections.

Formulation, Preparation, and Storage

Purification

Immunogen affinity purified

Formulation

Tris-Citrate/Phosphate (pH 7.0 - 8.0)

Format

BSA Free

Preservative

0.09% Sodium Azide

Concentration

1.0 mg/ml

Shipping

The product is shipped with polar packs. Upon receipt, store it immediately at the temperature recommended below.

Stability & Storage

Store at 4C. Do not freeze.

Background: WHIP

Werner's syndrome is a rare autosomal recessive disorder characterized by premature aging. The protein encoded by this gene interacts with the N-terminal portion of Werner protein containing the exonuclease domain. This protein shows homology to replication factor C family proteins, and is conserved from E. coli to human. Studies in yeast suggest that this gene may influence the aging process. Two transcript variants encoding different isoforms have been isolated for this gene.

Alternate Names

ATPase WRNIP1, bA420G6.2, EC 3.6.1, FLJ22526, putative helicase RUVBL, Werner helicase interacting protein 1, Werner helicase-interacting protein 1, WHIPRP11-420G6.2

Entrez Gene IDs

56897 (Human)

Gene Symbol

WRNIP1

UniProt

Additional WHIP Products

Product Documents for WHIP Antibody - BSA Free

Certificate of Analysis

To download a Certificate of Analysis, please enter a lot number in the search box below.

Product Specific Notices for WHIP Antibody - BSA Free

This product is for research use only and is not approved for use in humans or in clinical diagnosis. Primary Antibodies are guaranteed for 1 year from date of receipt.

Loading...
Loading...
Loading...
Loading...