Skip to main content

WDR77 Antibody - BSA Free

Novus Biologicals, part of Bio-Techne | Catalog # NBP3-37891

Novus Biologicals, part of Bio-Techne
Catalog #
Availability
Size / Price
Qty
Loading...
NBP3-37891-100ul
NBP3-37891-20ul

Key Product Details

Species Reactivity

Human

Applications

ELISA, Immunocytochemistry/ Immunofluorescence, Immunohistochemistry, Immunohistochemistry-Paraffin, Immunoprecipitation, Western Blot

Label

Unconjugated

Antibody Source

Polyclonal Rabbit IgG

Format

BSA Free

Concentration

Please see the vial label for concentration. If unlisted please contact technical services.

Product Specifications

Immunogen

A synthetic peptide corresponding to a sequence within amino acids 290-390 of mouse WDR77 (NP_035770.2).

Sequence:
PWPLSSFVPSQKTYQGNYGFHLGFLQSGTAKSVMCTYSPPLNKLFCQLAKTCPVQLWVSATPPAGSRVRAMAIYKKSQHMTEVVRRCPHHERCSDGDGLAPPQHLIRVEGNLYPEYLEDRQTFRHSVVVPYEPPEAGSEYTTIHYKYMCNSSCMGGMNRRPILTIITLEDSSGNLLGRDSFEVRVCACPGRDRRTEEENFRKKEVL

Clonality

Polyclonal

Host

Rabbit

Isotype

IgG

Theoretical MW

43 kDa.
Disclaimer note: The observed molecular weight of the protein may vary from the listed predicted molecular weight due to post translational modifications, post translation cleavages, relative charges, and other experimental factors.

Description

Novus Biologicals Rabbit WDR77 Antibody - BSA Free (NBP3-37891) is a polyclonal antibody validated for use in IHC, WB, ELISA, ICC/IF and IP. All Novus Biologicals antibodies are covered by our 100% guarantee.

Scientific Data Images for WDR77 Antibody - BSA Free

WDR77 Antibody

Immunocytochemistry/ Immunofluorescence: WDR77 Antibody [NBP3-37891] -

Immunocytochemistry/ Immunofluorescence: WDR77 Antibody [NBP3-37891] - Immunofluorescence analysis of HeLa cells using WDR77 Rabbit pAb.Secondary antibody: Cy3-conjugated Goat anti-Rabbit IgG (H+L) at 1:500 dilution.
WDR77 Antibody

Immunoprecipitation: WDR77 Antibody [NBP3-37891] -

Immunoprecipitation: WDR77 Antibody [NBP3-37891] - Immunoprecipitation analysis of 200 ug extracts of 293T cells using 3 ug WDR77 antibody. Western blot was performed from the immunoprecipitate using WDR77 antibody at a dilution of 1:1000.
WDR77 Antibody

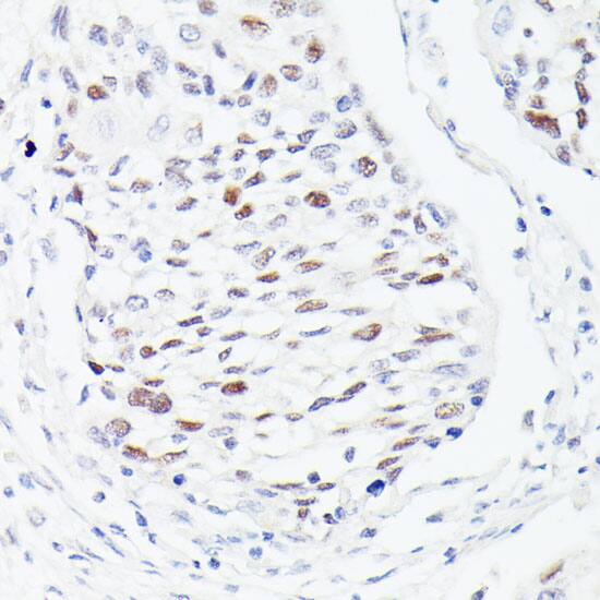
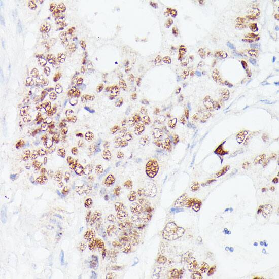
Immunohistochemistry: WDR77 Antibody [NBP3-37891] -

Immunohistochemistry: WDR77 Antibody [NBP3-37891] - Immunohistochemistry analysis of paraffin-embedded Human esophageal using WDR77 Rabbit pAb at dilution of 1:100 (40x lens). Microwave antigen retrieval performed with 0.01M PBS Buffer (pH 7.2) prior to IHC staining.

Applications for WDR77 Antibody - BSA Free

Application
Recommended Usage

Immunocytochemistry/ Immunofluorescence

1:50 - 1:200

Immunohistochemistry-Paraffin

1:50 - 1:200

Immunoprecipitation

0.5ug - 4ug antibody for 200ug - 400ug extracts of whole cells

Western Blot

1:500 - 1:1000

Formulation, Preparation, and Storage

Purification

Affinity purified

Formulation

PBS (pH 7.3), 50% glycerol

Format

BSA Free

Preservative

0.02% Sodium Azide

Concentration

Please see the vial label for concentration. If unlisted please contact technical services.

Shipping

The product is shipped with polar packs. Upon receipt, store it immediately at the temperature recommended below.

Stability & Storage

Store at -20C. Avoid freeze-thaw cycles.

Background: WDR77

WDR77 is a component of the 20S PRMT5 (MIM 604045)-containing methyltransferase complex, which modifies specific arginines to dimethylarginines in several spliceosomal Sm proteins (see MIM 601061). This modification targets Sm proteins to the survival of motor neurons (SMN) complex (see MIM 600354) for assembly into small nuclear ribonucleoprotein core particles (Friesen et al., 2002 [PubMed 11756452]).[supplied by OMIM]

Alternate Names

Androgen receptor cofactor p44, MEP-50, MEP50Nbla10071, methylosome protein 50, MGC2722, p44, p44/Mep50, RP11-552M11.3, WD repeat domain 77, WD repeat-containing protein 77

Additional WDR77 Products

Product Documents for WDR77 Antibody - BSA Free

Certificate of Analysis

To download a Certificate of Analysis, please enter a lot number in the search box below.

Product Specific Notices for WDR77 Antibody - BSA Free

This product is for research use only and is not approved for use in humans or in clinical diagnosis. Primary Antibodies are guaranteed for 1 year from date of receipt.

Loading...
Loading...
Loading...
Loading...