Skip to main content

Vimentin Antibody (J144)

Novus Biologicals, part of Bio-Techne | Catalog # NB100-74564

Novus Biologicals, part of Bio-Techne
Catalog #
Availability
Size / Price
Qty
Loading...
NB100-74564
NB100-74564-50ul

Key Product Details

Species Reactivity

Validated:

Human, Mouse, Rat, Canine

Cited:

Human, Mouse

Applications

Validated:

Immunohistochemistry, Immunohistochemistry-Paraffin, Western Blot, Immunocytochemistry/ Immunofluorescence

Cited:

Immunohistochemistry, Western Blot, Immunocytochemistry/ Immunofluorescence, IF/IHC

Label

Unconjugated

Antibody Source

Monoclonal Mouse IgM Clone # J144

Concentration

This product is unpurified. The exact concentration of antibody is not quantifiable.

Product Specifications

Immunogen

Human rhabdosarcoma cell line JR1.

Reactivity Notes

Please note that this antibody is reactive to Mouse and derived from the same host, Mouse. Additional Mouse on Mouse blocking steps may be required for IHC and ICC experiments. Please contact Technical Support for more information.

Marker

Mesenchymal Cells Marker

Clonality

Monoclonal

Host

Mouse

Isotype

IgM

Theoretical MW

53.6 kDa.
Disclaimer note: The observed molecular weight of the protein may vary from the listed predicted molecular weight due to post translational modifications, post translation cleavages, relative charges, and other experimental factors.

Scientific Data Images for Vimentin Antibody (J144)

Immunocytochemistry/ Immunofluorescence: Vimentin Antibody (J144) [NB100-74564]

Immunocytochemistry/ Immunofluorescence: Vimentin Antibody (J144) [NB100-74564]

Immunocytochemistry/Immunofluorescence: Vimentin Antibody (J144) [NB100-74564] - Vimentin staining (green), F-Actin staining with Phalloidin (red) and nuclei with DAPI (blue) is shown. Cells were grown on chamber slides and fixed with formaldehyde prior to staining. Cells were probed without (control) or with or an antibody recognizing Vimentin at a dilution of 1:100-1:200 over night at 4C, washed with PBS and incubated with a DyLight-488 conjugated.
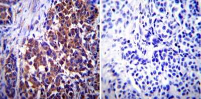
Immunohistochemistry-Paraffin: Vimentin Antibody (J144) [NB100-74564]

Immunohistochemistry-Paraffin: Vimentin Antibody (J144) [NB100-74564]

Immunohistochemistry-Paraffin: Vimentin Antibody (J144) [NB100-74564] - Biopsies of deparaffinized Human melanoma tissue. Cells were probed without (control) or with or an antibody recognizing Vimentin
Western Blot: Vimentin Antibody (J144) [NB100-74564]

Western Blot: Vimentin Antibody (J144) [NB100-74564]

Western Blot: Vimentin Antibody (J144) [NB100-74564] - Analysis of rat brain cells.

Applications for Vimentin Antibody (J144)

Application
Recommended Usage

Immunocytochemistry/ Immunofluorescence

1:20

Immunohistochemistry

1:10 - 1:500

Immunohistochemistry-Paraffin

1:20

Western Blot

1:1000

Formulation, Preparation, and Storage

Purification

Unpurified

Formulation

Ascites

Preservative

0.05% Sodium Azide

Concentration

This product is unpurified. The exact concentration of antibody is not quantifiable.

Shipping

The product is shipped with polar packs. Upon receipt, store it immediately at the temperature recommended below.

Stability & Storage

Store at -20C. Avoid freeze-thaw cycles.

Background: Vimentin

Vimentin is a type III intermediate filament (IF) protein, encoded by the VIM gene, that plays an essential role in cytoskeletal function and is largely expressed by mesenchymal cell such as endothelial cells, fibroblasts, and immune cells (1). Human vimentin monomer protein is 466 amino acids (aa) in length with a theoretical molecular weight of ~54 kDa (2). Vimentin protein contains a central rod domain composed of four alpha-helices which is flanked by an N-terminal head domain and C-terminal tail domain (1,3). Vimentin monomers dimerize to form more complex structures resulting in the assembly of eight tetramers, referred to as unit-length filaments, which then assemble into full-length intermediate filaments that are 10-12 nm wide (1,3,4).

Activated macrophages have been shown to secrete phosphorylated vimentin which can be stimulated by a variety of pathophysiological factors including oxidized low-density lipoproteins and TNF-alpha or inhibited by IL-10 (1). The vimentin protein is often expressed at the cell surface playing a role in cell-cell interactions, tissue damage and repair, immune response, and pathogen recognition (1). Vimentin functions in many cytoskeletal processes including cell migration, which is highlighted by its upregulation during epithelial-to-mesenchymal transition (EMT) (4,5). Vimentin is a commonly used marker for EMT and is expressed by many tumor types (5). For example, high metastasis of oral squamous cell carcinomas also showed high vimentin positive expression in immunohistochemical staining analysis (5). A number of vimentin targeting compounds are in cancer-related clinical trials, however, given the multifunctional role of vimentin, the effect of inhibition on non-malignant cells needs to be thoroughly examined (5).

References

1. Ramos, I., Stamatakis, K., Oeste, C. L., & Perez-Sala, D. (2020). Vimentin as a Multifaceted Player and Potential Therapeutic Target in Viral Infections. International Journal of Molecular Sciences. https://doi.org/10.3390/ijms21134675

2. Uniprot (P08670)

3. Morrow, C. S., & Moore, D. L. (2020). Vimentin's side gig: Regulating cellular proteostasis in mammalian systems. Cytoskeleton (Hoboken, N.J.). https://doi.org/10.1002/cm.21645

4. van Bodegraven, E. J., & Etienne-Manneville, S. (2020). Intermediate filaments against actomyosin: the david and goliath of cell migration. Current Opinion in Cell Biology. https://doi.org/10.1016/j.ceb.2020.05.006

5. Strouhalova, K., Prechova, M., Gandalovicova, A., Brabek, J., Gregor, M., & Rosel, D. (2020). Vimentin Intermediate Filaments as Potential Target for Cancer Treatment. Cancers. https://doi.org/10.3390/cancers12010184

Alternate Names

VIM

Entrez Gene IDs

7431 (Human); 22352 (Mouse); 81818 (Rat)

Gene Symbol

VIM

Additional Vimentin Products

Product Documents for Vimentin Antibody (J144)

Certificate of Analysis

To download a Certificate of Analysis, please enter a lot number in the search box below.

Product Specific Notices for Vimentin Antibody (J144)

This product is for research use only and is not approved for use in humans or in clinical diagnosis. Primary Antibodies are guaranteed for 1 year from date of receipt.

Loading...
Loading...
Loading...
Loading...
Loading...