VEGF Antibody (VG1) - BSA Free
Novus Biologicals, part of Bio-Techne | Catalog # NB100-664

Conjugate
Catalog #
Forumulation
Catalog #
Key Product Details
Species Reactivity
Validated:
Human, Mouse, Rat, Porcine, Canine
Cited:
Human, Mouse, Rat, Porcine
Applications
Validated:
Immunohistochemistry, Immunohistochemistry-Paraffin, Immunohistochemistry-Frozen, Western Blot, ELISA, Flow Cytometry, Flow (Intracellular), Immunocytochemistry/ Immunofluorescence, Simple Western, CyTOF-ready
Cited:
Immunohistochemistry, Immunohistochemistry-Paraffin, Immunohistochemistry-Frozen, Western Blot, ELISA, Flow Cytometry, Immunocytochemistry, Immunocytochemistry/ Immunofluorescence, Chemotaxis, IF/IHC, Surface Plasmon Resonance
Label
Unconjugated
Antibody Source
Monoclonal Mouse IgG1 kappa Clone # VG1
Format
BSA Free
Concentration
1 mg/ml
Product Specifications
Immunogen
Recombinant VEGF 189 protein.
Reactivity Notes
Use in Rat reported in scientific literature (PMID:34423682). Use in Porcine reported in scientific literature (PMID:32132871).
Specificity
This VEGF Antibody (VG1) detects the 189, 165 and 121 isoforms of VEGF
Clonality
Monoclonal
Host
Mouse
Isotype
IgG1 kappa
Description
Novus Biologicals Mouse VEGF Antibody (VG1) - BSA Free (NB100-664) is a monoclonal antibody validated for use in IHC, WB, ELISA, Flow, ICC/IF and Simple Western. Anti-VEGF Antibody: Cited in 94 publications. All Novus Biologicals antibodies are covered by our 100% guarantee.
Scientific Data Images for VEGF Antibody (VG1) - BSA Free
Western Blot Analysis of VEGF in Human Kidney
Analysis of VEGF in human kidney protein using NB100-664.Immunocytochemistry/Immunofluorescence Staining of VEGF in U87 Cells
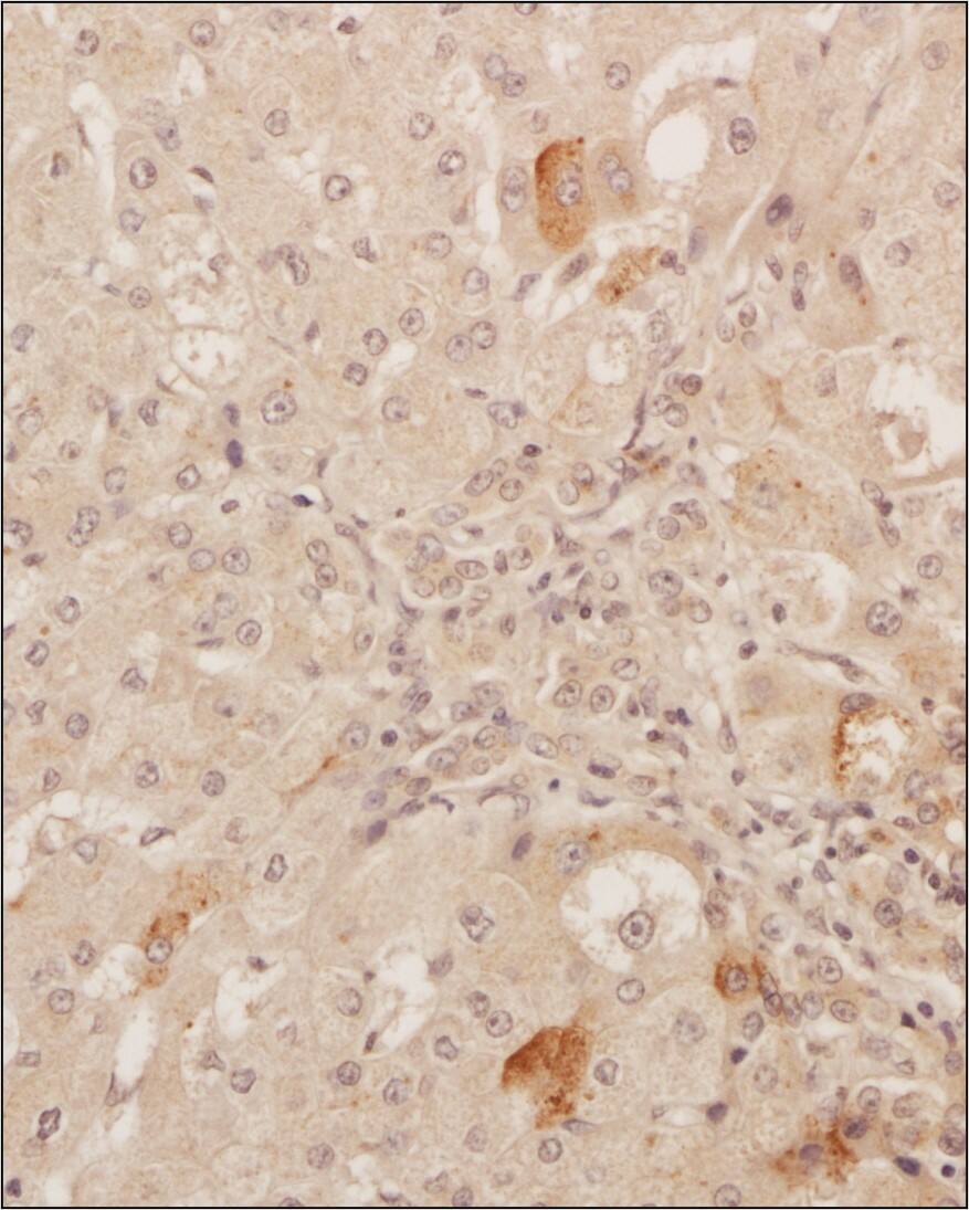
U87 cells were fixed in 4% paraformaldehyde for 10 minutes and permeabilized in 0.05% Triton X-100 in PBS for 5 minutes. The cells were incubated with anti- NB100-664 at 1 ug/ml overnight at 4C and detected with an anti-mouse Dylight 488 (Green) at a 1:1000 dilution for 60 minutes. Nuclei were counterstained with DAPI (Blue). Cells were imaged using a 40X objective.Immunohistochemical Analysis of VEGF in Peritoneal Tissue Sections
VEGF-Antibody-VG1-BSA-Free-Immunohistochemistry-NB100-664-img0015.jpgApplications for VEGF Antibody (VG1) - BSA Free
Application
Recommended Usage
Flow (Intracellular)
1 - 5 ug/ml
Flow Cytometry
1 - 5 ug/ml
Immunocytochemistry/ Immunofluorescence
1:10-1:500
Immunohistochemistry
1:20-1:100
Immunohistochemistry-Frozen
1:20-1:100
Immunohistochemistry-Paraffin
1:20-1:100
Western Blot
1-2 ug/ml
Application Notes
In IHC a dilution of 1:20-1:50 was used in an ABC method. However, depending on the staining conditions employed, we suggest that the final dilution should be determined by the user. We suggest an incubation period of 30-60 minutes at room temperature. High temperature treatment of formalin-fixed tissue sections using 1mM EDTA, pH 8.0 must be performed prior to the immunostaining. This antibody is CyTOF ready.
See Simple Western Antibody Database for Simple Western validation: tested in mouse aortas and HUVEC lysate; separated by charge; detects a band at 30 kDa
See Simple Western Antibody Database for Simple Western validation: tested in mouse aortas and HUVEC lysate; separated by charge; detects a band at 30 kDa
Reviewed Applications
Read 1 review rated 5 using NB100-664 in the following applications:
Formulation, Preparation, and Storage
Purification
Protein G purified
Formulation
PBS
Format
BSA Free
Preservative
0.02% Sodium Azide
Concentration
1 mg/ml
Shipping
The product is shipped with polar packs. Upon receipt, store it immediately at the temperature recommended below.
Stability & Storage
Store at 4C short term. Aliquot and store at -20C long term. Avoid freeze-thaw cycles.
Background: VEGF
References
1. Melincovici CS, Bosca AB, susman S, et al. Vascular endothelial growth factor (VEGF) - key factor in normal and pathological angiogenesis. Rom J Morphol Embryol. 2018;59(2):455-467.
2. Shaik F, Cuthbert GA, Homer-Vanniasinkam S, Muench SP, Ponnambalam S, Harrison MA. Structural Basis for Vascular Endothelial Growth Factor Receptor Activation and Implications for Disease Therapy. Biomolecules. 2020;10(12):1673. https://doi.org/10.3390/biom10121673
3. Apte RS, Chen DS, Ferrara N. VEGF in Signaling and Disease: Beyond Discovery and Development. Cell. 2019;176(6):1248-1264. https://doi.org/10.1016/j.cell.2019.01.021
4. Matsumoto K, Ema M. Roles of VEGF-A signalling in development, regeneration, and tumours. J Biochem. 2014;156(1):1-10. https://doi.org/10.1093/jb/mvu031
5. Itatani Y, Kawada K, Yamamoto T, Sakai Y. Resistance to Anti-Angiogenic Therapy in Cancer-Alterations to Anti-VEGF Pathway. Int J Mol Sci. 2018;19(4):1232. Published 2018 Apr 18. doi:10.3390/ijms19041232
6. Uniprot (P15692)
7. Hamilton JL, Nagao M, Levine BR, Chen D, Olsen BR, Im HJ. Targeting VEGF and Its Receptors for the Treatment of Osteoarthritis and Associated Pain. J Bone Miner Res. 2016;31(5):911-924. https://doi.org/10.1002/jbmr.2828
Long Name
Vascular Endothelial Growth Factor
Alternate Names
MVCD1, VAS, Vasculotropin, VEGF-A, VEGFA, VPF
Gene Symbol
VEGFA
UniProt
Additional VEGF Products
Product Documents for VEGF Antibody (VG1) - BSA Free
Product Specific Notices for VEGF Antibody (VG1) - BSA Free
This product is for research use only and is not approved for use in humans or in clinical diagnosis. Primary Antibodies are guaranteed for 1 year from date of receipt.
Loading...
Loading...
Loading...
Loading...
Loading...
Loading...