Skip to main content

UNC119 Antibody - BSA Free

Novus Biologicals, part of Bio-Techne | Catalog # NBP1-81708

Novus Biologicals, part of Bio-Techne
Catalog #
Availability
Size / Price
Qty
Loading...
NBP1-81708-25ul
NBP1-81708

Key Product Details

Species Reactivity

Validated:

Human

Predicted:

Mouse (98%), Rat (98%). Backed by our 100% Guarantee.

Applications

Immunohistochemistry, Immunohistochemistry-Paraffin, Western Blot

Label

Unconjugated

Antibody Source

Polyclonal Rabbit IgG

Format

BSA Free

Concentration

Concentrations vary lot to lot. See vial label for concentration. If unlisted please contact technical services.

Product Specifications

Immunogen

This antibody was developed against Recombinant Protein corresponding to amino acids: GPLQRKQPIGPEDVLGLQRITGDYLCSPEENIYKIDFVRFKI

Clonality

Polyclonal

Host

Rabbit

Isotype

IgG

Scientific Data Images for UNC119 Antibody - BSA Free

Western Blot: UNC119 Antibody [NBP1-81708]

Western Blot: UNC119 Antibody [NBP1-81708]

Western Blot: UNC119 Antibody [NBP1-81708] - Analysis in control (vector only transfected HEK293T lysate) and UNC119 over-expression lysate (Co-expressed with a C-terminal myc-DDK tag (3.1 kDa) in mammalian HEK293T cells).
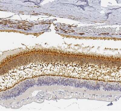
Immunohistochemistry-Paraffin: UNC119 Antibody [NBP1-81708]

Immunohistochemistry-Paraffin: UNC119 Antibody [NBP1-81708]

Immunohistochemistry-Paraffin: UNC119 Antibody [NBP1-81708] - Staining of human retina shows moderate cytoplasmic positivity in photoreceptor cells and outer plexiform layer.

Applications for UNC119 Antibody - BSA Free

Application
Recommended Usage

Immunohistochemistry

1:200 - 1:500

Immunohistochemistry-Paraffin

1:200-1:500

Western Blot

0.04-0.4 ug/ml
Application Notes
For IHC-Paraffin, HIER pH 6 retrieval is recommended.

Formulation, Preparation, and Storage

Purification

Affinity purified

Formulation

PBS (pH 7.2) and 40% Glycerol

Format

BSA Free

Preservative

0.02% Sodium Azide

Concentration

Concentrations vary lot to lot. See vial label for concentration. If unlisted please contact technical services.

Shipping

The product is shipped with polar packs. Upon receipt, store it immediately at the temperature recommended below.

Stability & Storage

Store at 4C short term. Aliquot and store at -20C long term. Avoid freeze-thaw cycles.

Background: UNC119

UNC119 is specifically expressed in the photoreceptors in the retina. The encoded product shares strong homology with the C. elegans unc119 protein and it can functionally complement the C. elegans unc119 mutation. It has been localized to the photoreceptor synapses in the outer plexiform layer of the retina, and suggested to play a role in the mechanism of photoreceptor neurotransmitter release through the synaptic vesicle cycle. Two transcript variants encoding different isoforms have been described for this gene.

Long Name

Protein unc-119 homolog A

Alternate Names

hRG4, Retinal protein 4, RG4

Gene Symbol

UNC119

Additional UNC119 Products

Product Documents for UNC119 Antibody - BSA Free

Certificate of Analysis

To download a Certificate of Analysis, please enter a lot number in the search box below.

Product Specific Notices for UNC119 Antibody - BSA Free

This product is for research use only and is not approved for use in humans or in clinical diagnosis. Primary Antibodies are guaranteed for 1 year from date of receipt.

Loading...
Loading...
Loading...
Loading...