Skip to main content

ULBP-1 Antibody

Novus Biologicals, part of Bio-Techne | Catalog # NBP2-20808

Novus Biologicals, part of Bio-Techne
Catalog #
Availability
Size / Price
Qty
Loading...
NBP2-20808

Key Product Details

Species Reactivity

Human

Applications

Immunohistochemistry, Immunohistochemistry-Paraffin, Western Blot, Flow Cytometry, Functional Assay

Label

Unconjugated

Antibody Source

Polyclonal Rabbit IgG

Concentration

Concentrations vary lot to lot. See vial label for concentration. If unlisted please contact technical services.

Product Specifications

Immunogen

Recombinant protein encompassing a sequence within the center region of human ULBP-1. The exact sequence is proprietary.

Localization

Cell membrane; Lipid-anchor; GPI-anchor; Endoplasmic reticulum

Clonality

Polyclonal

Host

Rabbit

Isotype

IgG

Theoretical MW

28 kDa.
Disclaimer note: The observed molecular weight of the protein may vary from the listed predicted molecular weight due to post translational modifications, post translation cleavages, relative charges, and other experimental factors.

Description

Novus Biologicals Rabbit ULBP-1 Antibody (NBP2-20808) is a polyclonal antibody validated for use in IHC, WB and Flow. All Novus Biologicals antibodies are covered by our 100% guarantee.

Scientific Data Images for ULBP-1 Antibody

Western Blot: ULBP-1 Antibody [NBP2-20808]

Western Blot: ULBP-1 Antibody [NBP2-20808]

Western Blot: ULBP1 Antibody [NBP2-20808] - Sample (30 ug of whole cell lysate) A: K562 12% SDS PAGE gel, diluted at 1:2000.
ULBP-1 Antibody

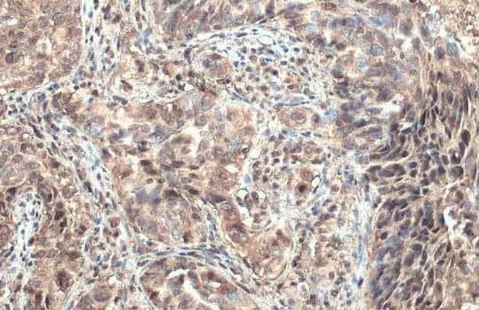
Immunohistochemistry-Paraffin-ULBP1 Antibody [NBP2-20808] -

Immunohistochemistry-Paraffin-ULBP1 Antibody [NBP2-20808] - Human cervical carcinoma.ULBP1 stained by ULBP1 antibody [N1C3] diluted at 1:500.Antigen Retrieval: Citrate buffer, pH 6.0, 15 min

Applications for ULBP-1 Antibody

Application
Recommended Usage

Flow Cytometry

Assay dependent

Functional Assay

Assay dependent

Immunohistochemistry

Assay dependent

Immunohistochemistry-Paraffin

Assay dependent

Western Blot

1:500-1:3000

Formulation, Preparation, and Storage

Purification

Antigen Affinity-purified

Formulation

PBS, 1% BSA, 20% Glycerol

Preservative

0.01% Thimerosal

Concentration

Concentrations vary lot to lot. See vial label for concentration. If unlisted please contact technical services.

Shipping

The product is shipped with polar packs. Upon receipt, store it immediately at the temperature recommended below.

Stability & Storage

Aliquot and store at -20C or -80C. Avoid freeze-thaw cycles.

Background: ULBP-1

Ligand for the NKG2D receptor, together with at least ULBP2 and ULBP3. ULBPs activate multiple signalingpathways in primary NK cells, resulting in the production of cytokines and chemokines. Binding of ULBPs ligands toNKG2D induces calcium mobilization and activation of the JAK2, STAT5, ERK and PI3K kinase/Akt signal transductionpathway. In CMV infected cells, interacts with soluble CMV glycoprotein UL16. The interaction with UL16 blocked theinteraction with the NKG2D receptor, providing a mechanism by which CMV infected cells might escape the immune system.UL16 also causes ULBP1 to be retained in the ER and cis-Golgi apparatus so that it does not reach the cell surface

Long Name

UL16 Binding Protein-1

Alternate Names

ALCAN-beta, MULT-1, NKG2DL, NKG2DL1, RAET1I, ULBP1

Gene Symbol

ULBP1

UniProt

Additional ULBP-1 Products

Product Documents for ULBP-1 Antibody

Certificate of Analysis

To download a Certificate of Analysis, please enter a lot number in the search box below.

Product Specific Notices for ULBP-1 Antibody

This product is for research use only and is not approved for use in humans or in clinical diagnosis. Primary Antibodies are guaranteed for 1 year from date of receipt.

Loading...
Loading...
Loading...
Loading...
Loading...

⚠ WARNING: This product can expose you to chemicals including mercury, which is known to the State of California to cause reproductive toxicity with developmental effects.  For more information go to www.P65Warnings.ca.gov.