Skip to main content

UCKL1 Antibody - BSA Free

Novus Biologicals, part of Bio-Techne | Catalog # NBP1-83649

Novus Biologicals, part of Bio-Techne
Catalog #
Availability
Size / Price
Qty
Loading...
NBP1-83649
NBP1-83649-25ul

Key Product Details

Species Reactivity

Validated:

Human

Predicted:

Mouse (97%), Rat (96%). Backed by our 100% Guarantee.

Applications

Immunohistochemistry, Immunohistochemistry-Paraffin, Western Blot

Label

Unconjugated

Antibody Source

Polyclonal Rabbit IgG

Format

BSA Free

Concentration

Concentrations vary lot to lot. See vial label for concentration. If unlisted please contact technical services.

Product Specifications

Immunogen

This antibody was developed against Recombinant Protein corresponding to amino acids: PWYNEHGTQSKEAFAIGLGGGSASGKTTVARMIIEALDVPWVVLLSMDSFYKVLTEQQQEQAAHNNFNFDHPDAFDFDLIISTLKKLKQGKSVKVPIYDFTTHSRKKDWKTLYGANVI

Clonality

Polyclonal

Host

Rabbit

Isotype

IgG

Scientific Data Images for UCKL1 Antibody - BSA Free

Immunohistochemistry-Paraffin: UCKL1 Antibody [NBP1-83649]

Immunohistochemistry-Paraffin: UCKL1 Antibody [NBP1-83649]

Immunohistochemistry-Paraffin: UCKL1 Antibody [NBP1-83649] - Staining of human small intestine shows moderate cytoplasmic positivity in lymphoid cells.
Immunohistochemistry-Paraffin: UCKL1 Antibody [NBP1-83649]

Immunohistochemistry-Paraffin: UCKL1 Antibody [NBP1-83649]

Immunohistochemistry-Paraffin: UCKL1 Antibody [NBP1-83649] - Staining of human pancreas shows low positivity in exocrine glandular cells as expected.
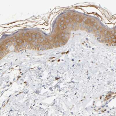
Immunohistochemistry-Paraffin: UCKL1 Antibody [NBP1-83649]

Immunohistochemistry-Paraffin: UCKL1 Antibody [NBP1-83649]

Immunohistochemistry-Paraffin: UCKL1 Antibody [NBP1-83649] - Staining of human skin shows weak cytoplasmic positivity in squamous epithelial cells.

Applications for UCKL1 Antibody - BSA Free

Application
Recommended Usage

Immunohistochemistry

1:50 - 1:200

Immunohistochemistry-Paraffin

1:50 - 1:200

Western Blot

0.04-0.4 ug/ml
Application Notes
For IHC-Paraffin, HIER pH 6 retrieval is recommended.

Formulation, Preparation, and Storage

Purification

Affinity purified

Formulation

PBS (pH 7.2) and 40% Glycerol

Format

BSA Free

Preservative

0.02% Sodium Azide

Concentration

Concentrations vary lot to lot. See vial label for concentration. If unlisted please contact technical services.

Shipping

The product is shipped with polar packs. Upon receipt, store it immediately at the temperature recommended below.

Stability & Storage

Store at 4C short term. Aliquot and store at -20C long term. Avoid freeze-thaw cycles.

Background: UCKL1

UCKL1 (Uridine-cytidine kinase 1-like 1) belongs to the uridine kinase family. It is part of the ribonucleotide salvage pathway and may contribute to the UTP accumulation needed for blast transformation and proliferation.

Alternate Names

EC 2.7.1.48, UCK1L, UCK1-LIKE, uridine kinase-like 1, uridine-cytidine kinase 1-like 1, uridine-cytidine kinase-like 1, URKL1FLJ20517

Gene Symbol

UCKL1

Additional UCKL1 Products

Product Documents for UCKL1 Antibody - BSA Free

Certificate of Analysis

To download a Certificate of Analysis, please enter a lot number in the search box below.

Product Specific Notices for UCKL1 Antibody - BSA Free

This product is for research use only and is not approved for use in humans or in clinical diagnosis. Primary Antibodies are guaranteed for 1 year from date of receipt.

Loading...
Loading...
Loading...
Loading...