Skip to main content

UBL5 Antibody - BSA Free

Novus Biologicals, part of Bio-Techne | Catalog # NB600-470

Novus Biologicals, part of Bio-Techne
Catalog #
Availability
Size / Price
Qty
Loading...
NB600-470

Key Product Details

Species Reactivity

Yeast

Applications

Western Blot, ELISA

Label

Unconjugated

Antibody Source

Polyclonal Rabbit IgG

Format

BSA Free

Concentration

LYOPH mg/ml

Product Specifications

Immunogen

This purified UBL5 Antibody was prepared from rabbit serum after repeated immunizations with recombinant yeast UBL5 protein. (Uniprot: Q6Q546)

Clonality

Polyclonal

Host

Rabbit

Isotype

IgG

Description

This product is an IgG fraction antibody purified from monospecific antiserum by a multi-step process which includes delipidation, salt fractionation and ion exchange chromatography followed by extensive dialysis against the buffer stated above. Assay by immunoelectrophoresis resulted in a single precipitin arc against anti-Rabbit Serum.

Store vial at 4C prior to restoration. For extended storage aliquot contents and freeze at -20C or below. Avoid cycles of freezing and thawing. Centrifuge product if not completely clear after standing at room temperature. This product is stable for several weeks at 4C as an undiluted liquid. Dilute only prior to immediate use.

Scientific Data Images for UBL5 Antibody - BSA Free

Western Blot: UBL5 Antibody [NB600-470]

Western Blot: UBL5 Antibody [NB600-470]

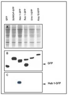
Western Blot: UBL5 Antibody [NB600-470] - Panel B shows positions of free GFP or GFP containing recombinant proteins present in each lysate preparation after reaction with a 1:1,000 dilution of anti-GFP followed by reaction with a 1:15,000 dilution of HRP Donkey-a-Goat IgG MX. Panel C shows specific reaction with Hub1 using a 1:500 dilution of IgG fraction of Rabbit-anti-Hub1 (Yeast) followed by reaction with a 1:15,000 dilution of HRP Goat-a-Rabbit IgG MX. All primary antibodies were diluted in TTBS buffer supplemented with 5% non-fat milk and incubated with the membranes overnight at 4 C. Yeast lysate proteins were separated by SDS-PAGE using a 15% gel. This data indicates that anti-Hub1 is highly specific and does not cross react with other UBLs.
Western Blot: UBL5 Antibody [NB600-470]

Western Blot: UBL5 Antibody [NB600-470]

Western Blot: UBL5 Antibody [NB600-470] - Anti-Hub1 raised from recombinant yeast Hub1. All UBLs possess limited homology to Ubiquitin & to each other; hence it is important to know degree of reactivity of each antibody against each UBL. Panel A shows total protein staining using ponceau. Panel B shows positions of free GFP or GFP containing recombinant proteins after reaction with 1:1,000 dilution of anti-GFP followed by reaction with 1:15,000 dilution of HRP Donkey-a-Goat IgG MX. Panel C shows specific reaction with Hub1 using 1:500 dilution of Rabbit-anti-Hub1 (Yeast) followed by reaction with 1:15,000 dilution of HRP Goat-a-Rabbit IgG MX. All primaries were diluted in TTBS buffer with 5% non-fat milk & incubated with membranes overnight at 4C. Yeast lysate proteins separated by SDS-PAGE using a 15% gel. Data indicates that anti-Hub1 is highly specific & does not cross react with other UBLs. A chemiluminescence system was used for signal detection (Roche).

Applications for UBL5 Antibody - BSA Free

Application
Recommended Usage

ELISA

1:1000-1:5000

Western Blot

1:500-1:2000
Application Notes
This purified polyclonal antibody reacts with yeast Hub1 by western blot and ELISA. Although not tested, this antibody is likely functional in immunohistochemistry and immunoprecipitation. This antibody using the specified conditions may recognize other prominent intrinsic bands (UBLs or conjugates). Other intrinsic bands are readily detectable at lower dilutions. For immunoblotting a 9.7 kDa band corresponding to yeast Hub1 is detected. Most yeast cell lysates can be used as a positive control without induction or stimulation.

Formulation, Preparation, and Storage

Purification

Multi-step

Reconstitution

Reconstitute with 100 ul deionized water (or equivalent)

Formulation

Lyophilized from 0.02 M Potassium Phosphate, 0.15 M Sodium Chloride, pH 7.2

Format

BSA Free

Preservative

0.01% Sodium Azide

Concentration

LYOPH mg/ml

Shipping

The product is shipped with polar packs. Upon receipt, store it immediately at the temperature recommended below.

Stability & Storage

Store lyophilized antibody at 4C. Aliquot reconstituted liquid and store at -20C. Avoid freeze-thaw cycles.

Background: UBL5

Ubiquitin-like proteins (UBLs) are thought to be reversible modulators of protein function rather than proteindegraders like ubiquitin (MIM 191339).(supplied by OMIM)

Alternate Names

FLJ46917, HUB1, MGC131795, ubiquitin-like 5, ubiquitin-like protein 5

Entrez Gene IDs

59286 (Human)

Gene Symbol

UBL5

UniProt

Additional UBL5 Products

Product Documents for UBL5 Antibody - BSA Free

Certificate of Analysis

To download a Certificate of Analysis, please enter a lot number in the search box below.

Product Specific Notices for UBL5 Antibody - BSA Free

This product is for research use only and is not approved for use in humans or in clinical diagnosis. Primary Antibodies are guaranteed for 1 year from date of receipt.

Loading...
Loading...
Loading...
Loading...
Loading...