Skip to main content

TXNDC12 Antibody - BSA Free

Novus Biologicals, part of Bio-Techne | Catalog # NBP3-46551

Novus Biologicals, part of Bio-Techne
Catalog #
Availability
Size / Price
Qty
Loading...
NBP3-46551

Key Product Details

Species Reactivity

Human, Mouse, Rat

Applications

ELISA, Immunohistochemistry, Western Blot

Label

Unconjugated

Antibody Source

Polyclonal Rabbit IgG

Format

BSA Free

Concentration

Please see the vial label for concentration. If unlisted please contact technical services.

Product Specifications

Immunogen

thioredoxin domain containing 12(endoplasmic reticulum). (Uniprot# O95881)

Clonality

Polyclonal

Host

Rabbit

Isotype

IgG

Description

Novus Biologicals Rabbit TXNDC12 Antibody - BSA Free (NBP3-46551) is a polyclonal antibody validated for use in IHC, WB and ELISA. All Novus Biologicals antibodies are covered by our 100% guarantee.

Scientific Data Images for TXNDC12 Antibody - BSA Free

TXNDC12 Antibody - BSA Free

Western Blot: TXNDC12 Antibody - BSA Free [NBP3-46551] -

Western Blot: TXNDC12 Antibody - BSA Free [NBP3-46551] - Human brain tissue were subjected to SDS PAGE followed by western blot with (TXNDC12 antibody) at dilution of 1:500
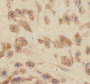
TXNDC12 Antibody - BSA Free

Immunohistochemistry: TXNDC12 Antibody - BSA Free [NBP3-46551] -

Immunohistochemistry: TXNDC12 Antibody - BSA Free [NBP3-46551] - Immunohistochemistry of paraffin-embedded human placenta using (TXNDC12 antibody) at dilution of 1:50

Applications for TXNDC12 Antibody - BSA Free

Application
Recommended Usage

Immunohistochemistry

1:20-1:200

Western Blot

1:500-1:2000
Application Notes
Theoretical Molecular Weight is 20 kDa, 40 kDa

Formulation, Preparation, and Storage

Purification

Immunogen affinity purified

Formulation

PBS, 50% Glycerol, pH (7.3)

Format

BSA Free

Preservative

0.02% Sodium Azide

Concentration

Please see the vial label for concentration. If unlisted please contact technical services.

Shipping

The product is shipped with polar packs. Upon receipt, store it immediately at the temperature recommended below.

Stability & Storage

Store at -20C. Avoid freeze-thaw cycles.

Background: TXNDC12

TXNDC12 belongs to the thioredoxin superfamily (see TXN; MIM 187700). Members of this superfamily possess a thioredoxin fold with a consensus active-site sequence (CxxC) and have roles in redox regulation, defense against oxidative stress, refolding of disulfide-containing proteins, and regulation of transcription factors (Liu et al., 2003 (PubMed 14557066)).(supplied by OMIM)

Alternate Names

AG1, AGR1, anterior gradient homolog 1, EC 1.8.4.2, endoplasmic reticulum protein ERp19, Endoplasmic reticulum resident protein 18, Endoplasmic reticulum resident protein 19, endoplasmic reticulum thioredoxin superfamily member, 18 kDa, ER protein 18, ER protein 19, ERP16, ERp18, ERP18AG1, ERP19, hAG-1, hTLP19, PDIA16, protein disulfide isomerase family A, member 16, thioredoxin domain containing 12 (endoplasmic reticulum), thioredoxin domain-containing protein 12, Thioredoxin-like protein p19, TLP19, TLP19hTLP19, TXNDC12 thioredoxin domain containing 12 (endoplasmic reticulum)

Gene Symbol

TXNDC12

Additional TXNDC12 Products

Product Documents for TXNDC12 Antibody - BSA Free

Certificate of Analysis

To download a Certificate of Analysis, please enter a lot number in the search box below.

Product Specific Notices for TXNDC12 Antibody - BSA Free

This product is for research use only and is not approved for use in humans or in clinical diagnosis. Primary Antibodies are guaranteed for 1 year from date of receipt.

Loading...
Loading...
Loading...
Loading...