Skip to main content

Twist-1 Antibody - BSA Free

Novus Biologicals, part of Bio-Techne | Catalog # NB120-49254

Novus Biologicals, part of Bio-Techne
Catalog #
Availability
Size / Price
Qty
Loading...
NB120-49254

Key Product Details

Species Reactivity

Validated:

Human, Rat

Cited:

Rat

Applications

Validated:

Immunohistochemistry, Immunohistochemistry-Paraffin, Western Blot

Cited:

Western Blot

Label

Unconjugated

Antibody Source

Polyclonal Rabbit IgG

Format

BSA Free

Concentration

1 mg/ml

Product Specifications

Immunogen

The immunogen is a synthetic peptide directed towards the C terminal region of human Twist-1. Peptide Sequence DKLSKIQTLKLAARYIDFLYQVLQSDELDSKMASCSYVAHERLSYAFSVW. The peptide sequence for this immunogen was taken from within the described region.

Reactivity Notes

Rat reactivity reported in scientific literature (PMID: 26825317).

Clonality

Polyclonal

Host

Rabbit

Isotype

IgG

Theoretical MW

21 kDa.
Disclaimer note: The observed molecular weight of the protein may vary from the listed predicted molecular weight due to post translational modifications, post translation cleavages, relative charges, and other experimental factors.

Description

The addition of 50% glycerol is optional for those storing this antibody at -20C and not aliquoting smaller units. However, please note that glycerol may interrupt some downstream antibody applications and should be added with caution.

Scientific Data Images for Twist-1 Antibody - BSA Free

Western Blot: Twist-1 Antibody [NB120-49254]

Western Blot: Twist-1 Antibody [NB120-49254]

Western Blot: Twist-1 Antibody [NB120-49254] - Sample Tissue: Jurkat, Lane A: Primary Antibody, Lane B: Primary Antibody + Blocking Peptide, Primary Antibody Concentration: 2.5ug/mL, Peptide Concentration: 2.0ug/mL, Lysate Quantity: 25ug/lane, Gel Concentration: 12%
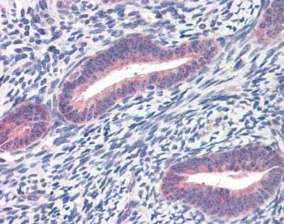
Immunohistochemistry-Paraffin: Twist-1 Antibody [NB120-49254]

Immunohistochemistry-Paraffin: Twist-1 Antibody [NB120-49254]

Immunohistochemistry-Paraffin: Twist-1 Antibody [NB120-49254] - Human Uterus Tissue, 4-8ug/ml.
Western Blot: Twist-1 Antibody [NB120-49254]

Western Blot: Twist-1 Antibody [NB120-49254]

Western Blot: Twist-1 Antibody [NB120-49254] - Jurkat cell lysate, Antibody Titration: 2.5ug/ml

Applications for Twist-1 Antibody - BSA Free

Application
Recommended Usage

Immunohistochemistry

1:10-1:500

Immunohistochemistry-Paraffin

1:10-1:500

Western Blot

1.0 ug/ml

Formulation, Preparation, and Storage

Purification

Protein A purified

Formulation

PBS, 2% Sucrose

Format

BSA Free

Preservative

0.09% Sodium Azide

Concentration

1 mg/ml

Shipping

The product is shipped with polar packs. Upon receipt, store it immediately at the temperature recommended below.

Stability & Storage

Store at 4C short term. Aliquot and store at -20C long term. Avoid freeze-thaw cycles.

Background: Twist-1

Basic helix-loop-helix (bHLH) transcription factors have been implicated in cell lineage determination and differentiation. TWIST1 is a bHLH transcription factor and shares similarity with another bHLH transcription factor, Dermo1. The strongest expression of this mRNA is in placental tissue, in adults, mesodermally derived tissues express this mRNA preferentially. Mutations in this gene have been found in patients with Saethre-Chotzen syndrome.

Long Name

Twist Related Protein 1 [Drosophila]

Alternate Names

ACS3, BPES3, H-twist, Twist1

Entrez Gene IDs

7291 (Human)

Gene Symbol

TWIST1

Additional Twist-1 Products

Product Documents for Twist-1 Antibody - BSA Free

Certificate of Analysis

To download a Certificate of Analysis, please enter a lot number in the search box below.

Product Specific Notices for Twist-1 Antibody - BSA Free

This product is for research use only and is not approved for use in humans or in clinical diagnosis. Primary Antibodies are guaranteed for 1 year from date of receipt.

Loading...
Loading...
Loading...
Loading...