Skip to main content

TTF-1 / NKX2-1 Antibody (SPM150)

Novus Biologicals, part of Bio-Techne | Catalog # NBP2-32999

Novus Biologicals, part of Bio-Techne
Catalog #
Availability
Size / Price
Qty
Loading...
NBP2-32999-0.1mg
NBP2-32999-0.02mg

Key Product Details

Species Reactivity

Human, Mouse, Rat

Applications

Immunohistochemistry, Immunohistochemistry-Paraffin, Flow Cytometry, Immunocytochemistry/ Immunofluorescence

Label

Unconjugated

Antibody Source

Monoclonal Mouse IgG1 kappa Clone # SPM150

Concentration

0.2 mg/ml

Product Specifications

Immunogen

Rat full length TTF-1 / NKX2-1 recombinant protein (Uniprot: P43699)

Reactivity Notes

Shows broad species reactivity.

Localization

Nuclear

Marker

Thyroid & Lung Epithelial Marker

Clonality

Monoclonal

Host

Mouse

Isotype

IgG1 kappa

Theoretical MW

40 kDa.
Disclaimer note: The observed molecular weight of the protein may vary from the listed predicted molecular weight due to post translational modifications, post translation cleavages, relative charges, and other experimental factors.

Description

200ug/ml of antibody purified from Bioreactor Concentrate by Protein A or G. Prepared in 10 mM PBS with 0.05% BSA & 0.05% azide. Also available WITHOUT BSA & azide at 1.0 mg/ml. (NBP2-34742)

Antibody with azide - store at 2 to 8C. Antibody without azide - store at -20 to -80C.

Scientific Data Images for TTF-1 / NKX2-1 Antibody (SPM150)

Immunohistochemistry-Paraffin: TTF-1 / NKX2-1 Antibody (SPM150) [NBP2-32999]

Immunohistochemistry-Paraffin: TTF-1 / NKX2-1 Antibody (SPM150) [NBP2-32999]

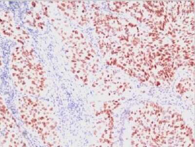
Immunohistochemistry-Paraffin: TTF-1 / NKX2-1 Antibody (SPM150) [NBP2-32999] - Analysis of human lung carcinoma using TTF-1 / NKX2-1 antibody. Incubated over night in 4C with the primary antibody, 1.0ug/ml. Image from verified customer review.
Immunohistochemistry-Paraffin: TTF-1 / NKX2-1 Antibody (SPM150) [NBP2-32999]

Immunohistochemistry-Paraffin: TTF-1 / NKX2-1 Antibody (SPM150) [NBP2-32999]

Immunohistochemistry-Paraffin: TTF-1 / NKX2-1 Antibody (SPM150) [NBP2-32999] - Human LUng Carcinoma

Applications for TTF-1 / NKX2-1 Antibody (SPM150)

Application
Recommended Usage

Flow Cytometry

1-2 ug/million cells

Immunocytochemistry/ Immunofluorescence

1-2 ug/ml

Immunohistochemistry-Paraffin

1-2 ug/ml
Application Notes
Immunohistochemistry (Formalin-fixed): 1-2ug/ml for 30 minutes at RT. Staining of formalin-fixed tissues requires heating tissue sections in 10mM Tris with 1mM EDTA, pH 9.0, for 45 min at 95C followed by cooling at RT for 20 minutes.
Optimal dilution for a specific application should be determined.

Reviewed Applications

Read 1 review rated 5 using NBP2-32999 in the following applications:

Formulation, Preparation, and Storage

Purification

Protein A or G purified

Formulation

10 mM PBS with 0.05% BSA

Preservative

0.05% Sodium Azide

Concentration

0.2 mg/ml

Shipping

The product is shipped with polar packs. Upon receipt, store it immediately at the temperature recommended below.

Stability & Storage

Store at 4C.

Background: TTF-1/NKX2-1

The thyroid transcription factor 1 (TTF-1) is a homeodomain-containing transcription factor that activates the transcriptional activity of thyroid-specific gene promoters by binding to them. Hence, TTF-1 is crucial in the maintenance of the thyroid differentiation phenotype (1). Thyroid dysgenesis (TD) is responsible for most cases of congenital hypothyroidism, a condition that affects about one in 4000 newborns. Mutations in PAX8, TTF1, or FOXE1 may account for congenital hypothyroidism in patients with either isolated TD or TD with associated malformations involving kidney, lung, forebrain, and palate (2). In addition to its presence in thyroid gland epithelium, the human TTF-1 protein was detected by immunohistochemistry in human fetal lung as early as 11 weeks of gestation, being localized in the nuclei of epithelial cells of the developing airways. After birth, TTF-1 was selectively expressed in Type II epithelial cells in the alveoli and in subsets of bronchiolar epithelial cells in the conducting regions of the lung (3).

Long Name

NK2 Homeobox 1

Alternate Names

BCH, BHC, NKX2-1, NKX2.1, NKX2A, T/EBP, TITF1, TTF1

Gene Symbol

NKX2-1

UniProt

Additional TTF-1/NKX2-1 Products

Product Documents for TTF-1 / NKX2-1 Antibody (SPM150)

Certificate of Analysis

To download a Certificate of Analysis, please enter a lot number in the search box below.

Product Specific Notices for TTF-1 / NKX2-1 Antibody (SPM150)

This product is for research use only and is not approved for use in humans or in clinical diagnosis. Primary Antibodies are guaranteed for 1 year from date of receipt.

Loading...
Loading...
Loading...
Loading...
Loading...