Skip to main content

TTF-1 / NKX2-1 Antibody (8G7G3/1 + NX2.1/690) - Azide and BSA Free

Novus Biologicals, part of Bio-Techne | Catalog # NBP2-47773

Novus Biologicals, part of Bio-Techne
Catalog #
Availability
Size / Price
Qty
Loading...
NBP2-47773-0.1mg

Key Product Details

Species Reactivity

Human, Mouse, Rat

Applications

Immunohistochemistry, Immunohistochemistry-Paraffin, Flow Cytometry, Immunofluorescence, Immunocytochemistry/ Immunofluorescence, CyTOF-ready

Label

Unconjugated

Antibody Source

Monoclonal Mouse IgG1 Kappa/IgG1 Kappa Clone # 8G7G3/1 + NX2.1/690

Format

Azide and BSA Free

Concentration

1.0 mg/ml

Product Specifications

Immunogen

Rat full length TTF-1 / NKX2-1 recombinant protein (8G7G3/1); Recombinant TTF-1 / NKX2-1 protein (NX2.1/690) (Uniprot: P23441)

Localization

Nuclear

Marker

Thyroid & Lung Epithelial Marker

Clonality

Monoclonal

Host

Mouse

Isotype

IgG1 Kappa/IgG1 Kappa

Theoretical MW

40 kDa.
Disclaimer note: The observed molecular weight of the protein may vary from the listed predicted molecular weight due to post translational modifications, post translation cleavages, relative charges, and other experimental factors.

Description

1.0 mg/ml of antibody purified from Bioreactor Concentrate by Protein A/G. Prepared in 10mM PBS WITHOUT BSA & azide. Also available at 200 ug/ml WITH BSA & azide (NBP2-44501).

Antibody with azide - store at 2 to 8C. Antibody without azide - store at -20 to -80C.

Scientific Data Images for TTF-1 / NKX2-1 Antibody (8G7G3/1 + NX2.1/690) - Azide and BSA Free

Immunocytochemistry/ Immunofluorescence: TTF-1 / NKX2-1 Antibody (8G7G3/1 + NX2.1/690) - Azide and BSA Free [NBP2-47773]

Immunocytochemistry/ Immunofluorescence: TTF-1 / NKX2-1 Antibody (8G7G3/1 + NX2.1/690) - Azide and BSA Free [NBP2-47773]

Immunocytochemistry/Immunofluorescence: TTF-1 / NKX2-1 Antibody (8G7G3/1 + NX2.1/690) - Azide and BSA Free [NBP2-47773] - TTF1 staining in thyroid tissue of wild-type C57 mouse (red). Dilution is 1:100. Image from a verified customer review.
Immunohistochemistry-Paraffin: TTF-1 / NKX2-1 Antibody (8G7G3/1 + NX2.1/690) - Azide and BSA Free [NBP2-47773]

Immunohistochemistry-Paraffin: TTF-1 / NKX2-1 Antibody (8G7G3/1 + NX2.1/690) - Azide and BSA Free [NBP2-47773]

Immunohistochemistry-Paraffin: TTF-1 / NKX2-1 Antibody (8G7G3/1 + NX2.1/690) - Azide and BSA Free [NBP2-47773] - Human Lung Carcinoma stained with TTF-1 Monoclonal Antibody (8G7G3/1 + NX2.1/690)
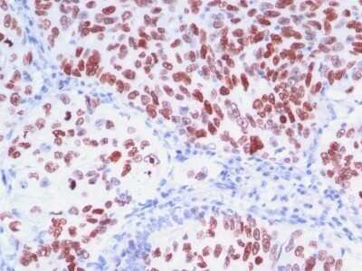
Immunohistochemistry-Paraffin: TTF-1 / NKX2-1 Antibody (8G7G3/1 + NX2.1/690) - Azide and BSA Free [NBP2-47773]

Immunohistochemistry-Paraffin: TTF-1 / NKX2-1 Antibody (8G7G3/1 + NX2.1/690) - Azide and BSA Free [NBP2-47773]

Immunohistochemistry-Paraffin: TTF-1 / NKX2-1 Antibody (8G7G3/1 + NX2.1/690) - Azide and BSA Free [NBP2-47773] - Human Thyroid stained with TTF-1 Monoclonal Antibody (8G7G3/1 + NX2.1/690)

Applications for TTF-1 / NKX2-1 Antibody (8G7G3/1 + NX2.1/690) - Azide and BSA Free

Application
Recommended Usage

Flow Cytometry

0.5 - 1 ug/million cells in 0.1 ml

Immunofluorescence

0.5 - 1.0 ug/ml

Immunohistochemistry-Paraffin

0.5 - 1.0 ug/ml
Application Notes
Immunohistochemistry (Formalin-fixed): 1-2ug/ml for 30 minutes at RT. Staining of formalin-fixed tissues requires heating tissue sections in 10mM Tris with 1mM EDTA, pH 9.0, for 45 min at 95C followed by cooling at RT for 20 minutes.
Optimal dilution for a specific application should be determined.

Formulation, Preparation, and Storage

Purification

Protein A or G purified

Formulation

10 mM PBS

Format

Azide and BSA Free

Preservative

No Preservative

Concentration

1.0 mg/ml

Shipping

The product is shipped with polar packs. Upon receipt, store it immediately at the temperature recommended below.

Stability & Storage

Store at -20 to -80C. Avoid freeze-thaw cycles.

Background: TTF-1/NKX2-1

The thyroid transcription factor 1 (TTF-1) is a homeodomain-containing transcription factor that activates the transcriptional activity of thyroid-specific gene promoters by binding to them. Hence, TTF-1 is crucial in the maintenance of the thyroid differentiation phenotype (1). Thyroid dysgenesis (TD) is responsible for most cases of congenital hypothyroidism, a condition that affects about one in 4000 newborns. Mutations in PAX8, TTF1, or FOXE1 may account for congenital hypothyroidism in patients with either isolated TD or TD with associated malformations involving kidney, lung, forebrain, and palate (2). In addition to its presence in thyroid gland epithelium, the human TTF-1 protein was detected by immunohistochemistry in human fetal lung as early as 11 weeks of gestation, being localized in the nuclei of epithelial cells of the developing airways. After birth, TTF-1 was selectively expressed in Type II epithelial cells in the alveoli and in subsets of bronchiolar epithelial cells in the conducting regions of the lung (3).

Long Name

NK2 Homeobox 1

Alternate Names

BCH, BHC, NKX2-1, NKX2.1, NKX2A, T/EBP, TITF1, TTF1

Gene Symbol

NKX2-1

Additional TTF-1/NKX2-1 Products

Product Documents for TTF-1 / NKX2-1 Antibody (8G7G3/1 + NX2.1/690) - Azide and BSA Free

Certificate of Analysis

To download a Certificate of Analysis, please enter a lot number in the search box below.

Product Specific Notices for TTF-1 / NKX2-1 Antibody (8G7G3/1 + NX2.1/690) - Azide and BSA Free

This product is for research use only and is not approved for use in humans or in clinical diagnosis. Primary Antibodies are guaranteed for 1 year from date of receipt.

Loading...
Loading...
Loading...
Loading...
Loading...