Skip to main content

TTC32 Antibody (OTI1F7)

Novus Biologicals, part of Bio-Techne | Catalog # NBP2-02691

Novus Biologicals, part of Bio-Techne
Catalog #
Availability
Size / Price
Qty
Loading...
NBP2-02691

Key Product Details

Species Reactivity

Human

Applications

Immunohistochemistry, Immunohistochemistry-Paraffin, Western Blot, Flow Cytometry, Immunocytochemistry/ Immunofluorescence

Label

Unconjugated

Antibody Source

Monoclonal Mouse IgG1 Clone # OTI1F7

Concentration

0.63 mg/ml

Product Specifications

Immunogen

Full length human recombinant protein of human TTC32(NP_001008238) produced in HEK293T cell.

Clonality

Monoclonal

Host

Mouse

Isotype

IgG1

Theoretical MW

17.1 kDa.
Disclaimer note: The observed molecular weight of the protein may vary from the listed predicted molecular weight due to post translational modifications, post translation cleavages, relative charges, and other experimental factors.

Description

Novus Biologicals Mouse TTC32 Antibody (OTI1F7) (NBP2-02691) is a monoclonal antibody validated for use in IHC, WB, Flow and ICC/IF. All Novus Biologicals antibodies are covered by our 100% guarantee.

Scientific Data Images for TTC32 Antibody (OTI1F7)

Western Blot: TTC32 Antibody (OTI1F7) [NBP2-02691]

Western Blot: TTC32 Antibody (OTI1F7) [NBP2-02691]

Western Blot: TTC32 Antibody (1F7) [NBP2-02691] - HEK293T cells were transfected with the pCMV6-ENTRY control (Left lane) or pCMV6-ENTRY TTC32 (Right lane) cDNA for 48 hrs and lysed. Equivalent amounts of cell lysates (5 ug per lane) were separated by SDS-PAGE and immunoblotted with anti-TTC32.
Immunocytochemistry/Immunofluorescence: TTC32 Antibody (1F7) [NBP2-02691] Staining of COS7 cells transiently transfected by pCMV6-ENTRY TTC32.
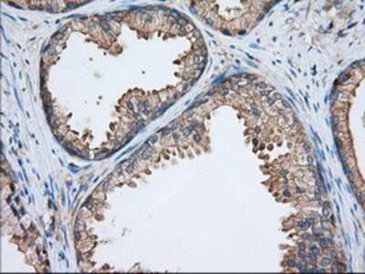
Immunohistochemistry-Paraffin: TTC32 Antibody (OTI1F7) [NBP2-02691]

Immunohistochemistry-Paraffin: TTC32 Antibody (OTI1F7) [NBP2-02691]

Immunohistochemistry-Paraffin: TTC32 Antibody (1F7) [NBP2-02691] - Staining of paraffin-embedded Human prostate tissue using anti-TTC32 mouse monoclonal antibody.

Applications for TTC32 Antibody (OTI1F7)

Application
Recommended Usage

Flow Cytometry

1:100

Immunocytochemistry/ Immunofluorescence

1:100

Immunohistochemistry

1:50

Immunohistochemistry-Paraffin

1:50

Western Blot

1:1000

Formulation, Preparation, and Storage

Purification

Immunogen affinity purified

Formulation

PBS (pH 7.3), 1.0% BSA and 50% Glycerol

Preservative

0.02% Sodium Azide

Concentration

0.63 mg/ml

Shipping

The product is shipped with polar packs. Upon receipt, store it immediately at the temperature recommended below.

Stability & Storage

Store at -20C. Avoid freeze-thaw cycles.

Background: TTC32

Alternate Names

tetratricopeptide repeat domain 32, tetratricopeptide repeat protein 32, TPR repeat protein 32

Entrez Gene IDs

130502 (Human)

Gene Symbol

TTC32

Additional TTC32 Products

Product Documents for TTC32 Antibody (OTI1F7)

Certificate of Analysis

To download a Certificate of Analysis, please enter a lot number in the search box below.

Product Specific Notices for TTC32 Antibody (OTI1F7)

This product is for research use only and is not approved for use in humans or in clinical diagnosis. Primary Antibodies are guaranteed for 1 year from date of receipt.

Loading...
Loading...
Loading...
Loading...
Loading...