Skip to main content

TST Antibody - BSA Free

Novus Biologicals, part of Bio-Techne | Catalog # NBP1-33771

Novus Biologicals, part of Bio-Techne
Catalog #
Availability
Size / Price
Qty
Loading...
NBP1-33771

Key Product Details

Species Reactivity

Validated:

Human, Mouse, Rat

Predicted:

Bovine (91%), Rhesus Macaque (97%). Backed by our 100% Guarantee.

Applications

Immunohistochemistry, Immunohistochemistry-Paraffin, Western Blot

Label

Unconjugated

Antibody Source

Polyclonal Rabbit IgG

Format

BSA Free

Concentration

Concentrations vary lot to lot. See vial label for concentration. If unlisted please contact technical services.

Product Specifications

Immunogen

Recombinant protein encompassing a sequence within the center region of human TST. The exact sequence is proprietary.

Localization

Mitochondrion matrix

Clonality

Polyclonal

Host

Rabbit

Isotype

IgG

Theoretical MW

33 kDa.
Disclaimer note: The observed molecular weight of the protein may vary from the listed predicted molecular weight due to post translational modifications, post translation cleavages, relative charges, and other experimental factors.

Description

Novus Biologicals Rabbit TST Antibody - BSA Free (NBP1-33771) is a polyclonal antibody validated for use in IHC and WB. All Novus Biologicals antibodies are covered by our 100% guarantee.

Scientific Data Images for TST Antibody - BSA Free

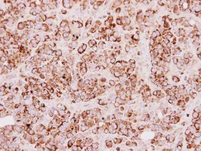
Immunohistochemistry-Paraffin: TST Antibody [NBP1-33771]

Immunohistochemistry-Paraffin: TST Antibody [NBP1-33771]

Immunohistochemistry-Paraffin: TST Antibody [NBP1-33771] - Paraffin-embedded mouse kidney. TST antibody dilution: 1:500.
Immunohistochemistry-Paraffin: TST Antibody [NBP1-33771]

Immunohistochemistry-Paraffin: TST Antibody [NBP1-33771]

Immunohistochemistry-Paraffin: TST Antibody [NBP1-33771] - Paraffin-embedded MCF7 xenograft, using antibody at 1:250 dilution.
TST Antibody

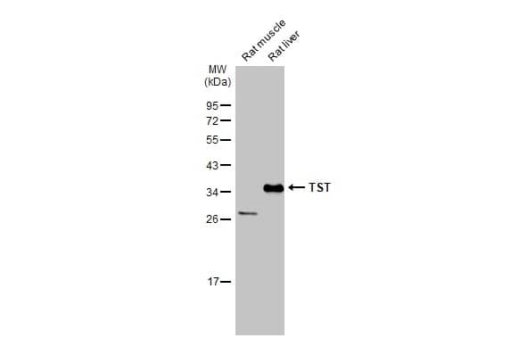
Western Blot: TST Antibody [NBP1-33771] -

Western Blot: TST Antibody [NBP1-33771] - Human tissue extract (50 ug) was separated by 12% SDS-PAGE, and the membrane was blotted with TST antibody (NBP1-33771) diluted at 1:3000. The HRP-conjugated anti-rabbit IgG antibody was used to detect the primary antibody.

Applications for TST Antibody - BSA Free

Application
Recommended Usage

Immunohistochemistry

1:100-1:1000

Immunohistochemistry-Paraffin

1:100-1:1000

Western Blot

1:500-1:3000

Formulation, Preparation, and Storage

Purification

Antigen Affinity-purified

Formulation

0.1M Tris, 0.1M Glycine, 10% Glycerol

Format

BSA Free

Preservative

0.01% Thimerosal

Concentration

Concentrations vary lot to lot. See vial label for concentration. If unlisted please contact technical services.

Shipping

The product is shipped with polar packs. Upon receipt, store it immediately at the temperature recommended below.

Stability & Storage

Aliquot and store at -20C or -80C. Avoid freeze-thaw cycles.

Background: TST

The product of this gene is a mitochondrial matrix enzyme that is encoded by the nucleus. It may play roles in cyanide detoxification, the formation of iron-sulfur proteins, and the modification of sulfur-containing enzymes. The gene product contains two highly conservative domains (rhodanese homology domains), suggesting these domains have a common evolutionary origin.

Alternate Names

EC 2.8.1, EC 2.8.1.1, MGC19578, RDSRhodanese, thiosulfate sulfurtransferase, thiosulfate sulfurtransferase (rhodanese)

Gene Symbol

TST

Additional TST Products

Product Documents for TST Antibody - BSA Free

Certificate of Analysis

To download a Certificate of Analysis, please enter a lot number in the search box below.

Product Specific Notices for TST Antibody - BSA Free

This product is for research use only and is not approved for use in humans or in clinical diagnosis. Primary Antibodies are guaranteed for 1 year from date of receipt.

Loading...
Loading...
Loading...
Loading...

⚠ WARNING: This product can expose you to chemicals including mercury, which is known to the State of California to cause reproductive toxicity with developmental effects.  For more information go to www.P65Warnings.ca.gov.