Skip to main content

TSPY3 Antibody - BSA Free

Novus Biologicals, part of Bio-Techne | Catalog # NBP3-45702

Novus Biologicals, part of Bio-Techne
Catalog #
Availability
Size / Price
Qty
Loading...
NBP3-45702

Key Product Details

Species Reactivity

Human

Applications

Immunohistochemistry, Western Blot, ELISA

Label

Unconjugated

Antibody Source

Polyclonal Rabbit IgG

Format

BSA Free

Concentration

Please see the vial label for concentration. If unlisted please contact technical services.

Product Specifications

Immunogen

testis specific protein, Y-linked 3. (Uniprot# P0CV98)

Clonality

Polyclonal

Host

Rabbit

Isotype

IgG

Theoretical MW

40 kDa.
Disclaimer note: The observed molecular weight of the protein may vary from the listed predicted molecular weight due to post translational modifications, post translation cleavages, relative charges, and other experimental factors.

Description

Novus Biologicals Rabbit TSPY3 Antibody - BSA Free (NBP3-45702) is a polyclonal antibody validated for use in IHC, WB and ELISA. All Novus Biologicals antibodies are covered by our 100% guarantee.

Scientific Data Images for TSPY3 Antibody - BSA Free

TSPY3 Antibody - BSA Free

Western Blot: TSPY3 Antibody - BSA Free [NBP3-45702] -

Western Blot: TSPY3 Antibody - BSA Free [NBP3-45702] - LNCaP cells were subjected to SDS PAGE followed by western blot with (TSPY3 antibody) at dilution of 1:2000
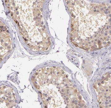
TSPY3 Antibody - BSA Free

Immunohistochemistry: TSPY3 Antibody - BSA Free [NBP3-45702] -

Immunohistochemistry: TSPY3 Antibody - BSA Free [NBP3-45702] - Immunohistochemistry of paraffin-embedded human testis using (TSPY3 antibody) at dilution of 1:100

Applications for TSPY3 Antibody - BSA Free

Application
Recommended Usage

Immunohistochemistry

1:20-1:200

Western Blot

1:1000-1:10000

Formulation, Preparation, and Storage

Purification

Immunogen affinity purified

Formulation

PBS, 50% Glycerol, pH (7.3)

Format

BSA Free

Preservative

0.02% Sodium Azide

Concentration

Please see the vial label for concentration. If unlisted please contact technical services.

Shipping

The product is shipped with polar packs. Upon receipt, store it immediately at the temperature recommended below.

Stability & Storage

Store at -20C. Avoid freeze-thaw cycles.

Background: TSPY3

TSPY3 may be involved in sperm differentiation and proliferation

Alternate Names

testis specific protein, Y-linked 3

Gene Symbol

TSPY3

Additional TSPY3 Products

Product Documents for TSPY3 Antibody - BSA Free

Certificate of Analysis

To download a Certificate of Analysis, please enter a lot number in the search box below.

Product Specific Notices for TSPY3 Antibody - BSA Free

This product is for research use only and is not approved for use in humans or in clinical diagnosis. Primary Antibodies are guaranteed for 1 year from date of receipt.

Loading...
Loading...
Loading...
Loading...