Skip to main content

TRIM5 delta Antibody - BSA Free

Novus Biologicals, part of Bio-Techne | Catalog # NBP1-76603

Novus Biologicals, part of Bio-Techne

Key Product Details

Species Reactivity

Human

Applications

Immunohistochemistry, Immunohistochemistry-Paraffin, Western Blot, ELISA, Immunocytochemistry/ Immunofluorescence

Label

Unconjugated

Antibody Source

Polyclonal Rabbit IgG

Format

BSA Free

Concentration

1 mg/ml

Product Specifications

Immunogen

Antibody was raised against a synthetic peptide corresponding to 13 amino acids near the carboxy terminus of human TRIM5 delta. The immunogen is located within the last 50 amino acids of TRIM5 delta. Amino Acid Squence: SAMARSRFTATSTS

Clonality

Polyclonal

Host

Rabbit

Isotype

IgG

Theoretical MW

33 kDa.
Disclaimer note: The observed molecular weight of the protein may vary from the listed predicted molecular weight due to post translational modifications, post translation cleavages, relative charges, and other experimental factors.

Description

Novus Biologicals Rabbit TRIM5 delta Antibody - BSA Free (NBP1-76603) is a polyclonal antibody validated for use in IHC, WB, ELISA and ICC/IF. All Novus Biologicals antibodies are covered by our 100% guarantee.

Scientific Data Images for TRIM5 delta Antibody - BSA Free

Western Blot: TRIM5 delta AntibodyBSA Free [NBP1-76603]

Western Blot: TRIM5 delta AntibodyBSA Free [NBP1-76603]

Western Blot: TRIM5 delta Antibody [NBP1-76603] - Analysis of TRIM5 delta in human kidney tissue lysate with TRIM5 delta antibody at 1 ug/ml in (A) the absence and (B) the presence of blocking peptide.
TRIM5 delta Antibody - BSA Free

Immunocytochemistry/ Immunofluorescence: TRIM5 delta Antibody - BSA Free [NBP1-76603] -

Immunocytochemistry/ Immunofluorescence: TRIM5 delta Antibody - BSA Free [NBP1-76603] - Immunofluorescence of TRIM5 delta in mouse brain tissue with TRIM5 delta antibody at 10 u/mL.
TRIM5 delta Antibody - BSA Free

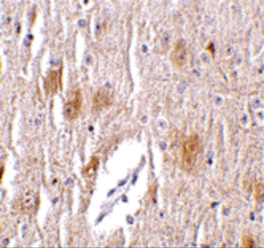
Immunohistochemistry: TRIM5 delta Antibody - BSA Free [NBP1-76603] -

Immunohistochemistry: TRIM5 delta Antibody - BSA Free [NBP1-76603] - Immunohistochemistry of TRIM5 delta in mouse brain tissue with TRIM5 delta antibody at 1 ug/mL.

Applications for TRIM5 delta Antibody - BSA Free

Application
Recommended Usage

ELISA

1:100-1:2000

Immunocytochemistry/ Immunofluorescence

10 ug/ml

Immunohistochemistry

1 ug/ml

Immunohistochemistry-Paraffin

1 ug/ml

Western Blot

2 ug/ml
Application Notes
A band at approximately 25 kDa can be detected in Western Blot.

Formulation, Preparation, and Storage

Purification

Peptide affinity purified

Formulation

PBS

Format

BSA Free

Preservative

0.02% Sodium Azide

Concentration

1 mg/ml

Shipping

The product is shipped with polar packs. Upon receipt, store it immediately at the temperature recommended below.

Stability & Storage

Store at 4C short term. Aliquot and store at -20C long term. Avoid freeze-thaw cycles.

Background: TRIM5 delta

TRIM5 is a member of a broad family of otherwise unrelated proteins defined by the presence of a tripartite motif containing a RING domain, a B-box type 1, and a B-box type 2, followed by a coiled-coil region. TRIM5 has five alternately spliced isoforms, the longest of which is the alpha variant which also contains a carboxy-terminal B30.2 (SPRY) domain. Expression of TRIM5alpha variants from humans, rhesus monkeys, and African green monkeys enabled resistance to infection by various retroviruses including HIV-1 , albeit at differing efficiencies. The TRIM5delta isoform has been shown to colocalize with the topoisomerase I-interacting proteins BTBD1 and BTBD2 in punctate or elongated cytoplasmic bodies in several mouse and human cells where it appears to serve as a scaffold for the assembly of endogenous BTBD proteins. TRIM5delta also exhibits autoubiquitination activity in a RING finger- and UbcH5B-dependent manner.

Alternate Names

EC 6.3.2, EC 6.3.2.-, RING finger protein 88, RNF88tripartite motif protein TRIM, TRIM5alpha, tripartite motif containing 5, tripartite motif protein TRIM5, tripartite motif-containing 5, tripartite motif-containing protein 5

Gene Symbol

TRIM5

Additional TRIM5 delta Products

Product Documents for TRIM5 delta Antibody - BSA Free

Certificate of Analysis

To download a Certificate of Analysis, please enter a lot number in the search box below.

Product Specific Notices for TRIM5 delta Antibody - BSA Free

This product is for research use only and is not approved for use in humans or in clinical diagnosis. Primary Antibodies are guaranteed for 1 year from date of receipt.

Loading...
Loading...
Loading...
Loading...