Skip to main content

TREH Antibody - BSA Free

Novus Biologicals, part of Bio-Techne | Catalog # NBP2-48756

Novus Biologicals, part of Bio-Techne
Catalog #
Availability
Size / Price
Qty
Loading...
NBP2-48756
NBP2-48756-25ul

Key Product Details

Validated by

Independent Antibodies

Species Reactivity

Human

Applications

Immunohistochemistry, Immunohistochemistry-Paraffin

Label

Unconjugated

Antibody Source

Polyclonal Rabbit IgG

Format

BSA Free

Concentration

Concentrations vary lot to lot. See vial label for concentration. If unlisted please contact technical services.

Product Specifications

Immunogen

This antibody was developed against a recombinant protein corresponding to amino acids: ALNTVLWDEQTGAWFDYDLEKKKKNREFYPSNLTPLWAGCFSDPGVADKALKYLEDNRILTYQYGIPTSLQKTGQQWDFPNAWAPLQDLVIR

Reactivity Notes

Mouse (87%), Rat (87%)

Clonality

Polyclonal

Host

Rabbit

Isotype

IgG

Description

Novus Biologicals Rabbit TREH Antibody - BSA Free (NBP2-48756) is a polyclonal antibody validated for use in IHC. All Novus Biologicals antibodies are covered by our 100% guarantee.

Scientific Data Images for TREH Antibody - BSA Free

Immunohistochemistry-Paraffin: TREH Antibody [NBP2-48756]

Immunohistochemistry-Paraffin: TREH Antibody [NBP2-48756]

Immunohistochemistry-Paraffin: TREH Antibody [NBP2-48756] - Staining of human testis.
Immunohistochemistry-Paraffin: TREH Antibody [NBP2-48756]

Immunohistochemistry-Paraffin: TREH Antibody [NBP2-48756]

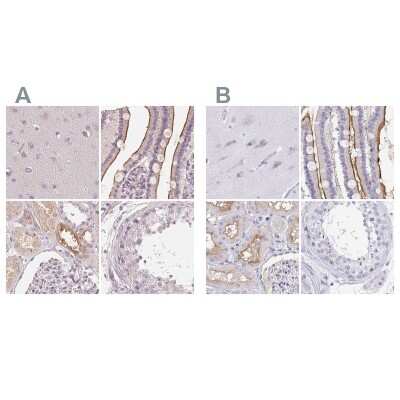
Immunohistochemistry-Paraffin: TREH Antibody [NBP2-48756] - Staining of human cerebral cortex, duodenum, kidney and testis using Anti-TREH antibody NBP2-48756 (A) shows similar protein distribution across tissues to independent antibody NBP1-82756 (B).
Immunohistochemistry-Paraffin: TREH Antibody [NBP2-48756]

Immunohistochemistry-Paraffin: TREH Antibody [NBP2-48756]

Immunohistochemistry-Paraffin: TREH Antibody [NBP2-48756] - Staining of human kidney.

Applications for TREH Antibody - BSA Free

Application
Recommended Usage

Immunohistochemistry

1:500 - 1:1000

Immunohistochemistry-Paraffin

1:500 - 1:1000
Application Notes
For IHC-Paraffin, HIER pH 6 retrieval is recommended.

Formulation, Preparation, and Storage

Purification

Affinity purified

Formulation

PBS (pH 7.2) and 40% Glycerol

Format

BSA Free

Preservative

0.02% Sodium Azide

Concentration

Concentrations vary lot to lot. See vial label for concentration. If unlisted please contact technical services.

Shipping

The product is shipped with polar packs. Upon receipt, store it immediately at the temperature recommended below.

Stability & Storage

Store at 4C short term. Aliquot and store at -20C long term. Avoid freeze-thaw cycles.

Background: TREH

The TREH gene encodes an enzyme that hydrolyses trehalose, a disaccharide formed from two glucose molecules found mainly in fungi, plants, and insects. A partial duplication of this gene is located adjacent to this locus on chromosome 11. [provided by RefSeq]

Alternate Names

Alpha, alpha-trehalase, alpha-trehalose glucohydrolase, MGC129621, TRE, TREAEC 3.2.1.28, trehalase, trehalase (brush-border membrane glycoprotein)

Gene Symbol

TREH

Additional TREH Products

Product Documents for TREH Antibody - BSA Free

Certificate of Analysis

To download a Certificate of Analysis, please enter a lot number in the search box below.

Product Specific Notices for TREH Antibody - BSA Free

This product is for research use only and is not approved for use in humans or in clinical diagnosis. Primary Antibodies are guaranteed for 1 year from date of receipt.

Loading...
Loading...
Loading...
Loading...