TREH Antibody - BSA Free
Novus Biologicals, part of Bio-Techne | Catalog # NBP1-82756
Key Product Details
Validated by
Orthogonal Validation, Independent Antibodies
Species Reactivity
Human
Applications
Immunohistochemistry, Immunohistochemistry-Paraffin
Label
Unconjugated
Antibody Source
Polyclonal Rabbit IgG
Format
BSA Free
Concentration
Concentrations vary lot to lot. See vial label for concentration. If unlisted please contact technical services.
Product Specifications
Immunogen
This antibody was developed against Recombinant Protein corresponding to amino acids: LYQDDKQFVDMPLSIAPEQVLQTFTELSRDHNHSIPREQLQAFVHEHFQAKGQELQPWTPADWKDSPQFLQKISDAKLRAWAGQLHQLWKKLGKK
Clonality
Polyclonal
Host
Rabbit
Isotype
IgG
Scientific Data Images for TREH Antibody - BSA Free
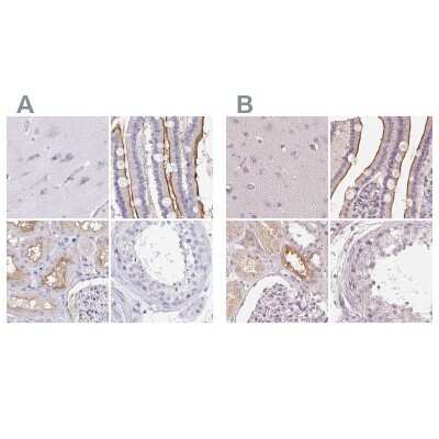
Immunohistochemistry-Paraffin: TREH Antibody [NBP1-82756]
Immunohistochemistry-Paraffin: TREH Antibody [NBP1-82756] - Staining of human cerebral cortex.Immunohistochemistry-Paraffin: TREH Antibody [NBP1-82756]
Immunohistochemistry-Paraffin: TREH Antibody [NBP1-82756] - Staining of human liver shows low expression as expected.Immunohistochemistry-Paraffin: TREH Antibody [NBP1-82756]
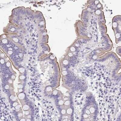
Immunohistochemistry-Paraffin: TREH Antibody [NBP1-82756] - Staining of human small intestine shows high expression.Applications for TREH Antibody - BSA Free
Application
Recommended Usage
Immunohistochemistry
1:2500 - 1:5000
Immunohistochemistry-Paraffin
1:2500 - 1:5000
Application Notes
For IHC-Paraffin, HIER pH 6 retrieval is recommended.
Formulation, Preparation, and Storage
Purification
Affinity purified
Formulation
PBS (pH 7.2) and 40% Glycerol
Format
BSA Free
Preservative
0.02% Sodium Azide
Concentration
Concentrations vary lot to lot. See vial label for concentration. If unlisted please contact technical services.
Shipping
The product is shipped with polar packs. Upon receipt, store it immediately at the temperature recommended below.
Stability & Storage
Store at 4C short term. Aliquot and store at -20C long term. Avoid freeze-thaw cycles.
Background: TREH
Alternate Names
Alpha, alpha-trehalase, alpha-trehalose glucohydrolase, MGC129621, TRE, TREAEC 3.2.1.28, trehalase, trehalase (brush-border membrane glycoprotein)
Gene Symbol
TREH
Additional TREH Products
Product Documents for TREH Antibody - BSA Free
Product Specific Notices for TREH Antibody - BSA Free
This product is for research use only and is not approved for use in humans or in clinical diagnosis. Primary Antibodies are guaranteed for 1 year from date of receipt.
Loading...
Loading...
Loading...
Loading...