Skip to main content

TRAF-1 Antibody - BSA Free

Novus Biologicals, part of Bio-Techne | Catalog # NBP1-84920

Novus Biologicals, part of Bio-Techne
Catalog #
Availability
Size / Price
Qty
Loading...
NBP1-84920-25ul
NBP1-84920

Key Product Details

Species Reactivity

Human

Applications

Immunohistochemistry, Immunohistochemistry-Paraffin, Western Blot

Label

Unconjugated

Antibody Source

Polyclonal Rabbit IgG

Format

BSA Free

Concentration

Concentrations vary lot to lot. See vial label for concentration. If unlisted please contact technical services.

Product Specifications

Immunogen

This antibody was developed against Recombinant Protein corresponding to amino acids: TQEKAHPEVAEAGIGCPFAGVGCSFKGSPQSVQEHEVTSQTSHLNLLLGFMKQWKARLGCGLESGPMALEQNLSDLQLQAAVEVAGDLEVDCYRAPCSESQEELALQHFMKEKLLAELEGKLRVFENIVAVLNKEVEASHLALATSI

Reactivity Notes

Rat (82%).

Clonality

Polyclonal

Host

Rabbit

Isotype

IgG

Description

Novus Biologicals Rabbit TRAF-1 Antibody - BSA Free (NBP1-84920) is a polyclonal antibody validated for use in IHC and WB. Anti-TRAF-1 Antibody: Cited in 1 publication. All Novus Biologicals antibodies are covered by our 100% guarantee.

Scientific Data Images for TRAF-1 Antibody - BSA Free

Western Blot: TRAF-1 Antibody [NBP1-84920]

Western Blot: TRAF-1 Antibody [NBP1-84920]

Western Blot: TRAF1 Antibody [NBP1-84920] - Lane 1: Marker [kDa] 229, 112, 84, 48, 32, 27, 17. Lane 2: Human cell line RT-4. Lane 3: Human cell line U-251MG sp. Lane 4: Human plasma (IgG/HSA depleted). Lane 5: Human liver tissue. Lane 6: Human tonsil tissue
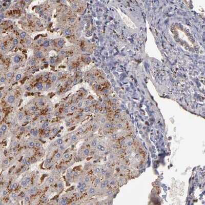
Immunohistochemistry-Paraffin: TRAF-1 Antibody [NBP1-84920]

Immunohistochemistry-Paraffin: TRAF-1 Antibody [NBP1-84920]

Immunohistochemistry-Paraffin: TRAF1 Antibody [NBP1-84920] - Staining of human liver shows strong granular cytoplasmic positivity in hepatocytes.

Applications for TRAF-1 Antibody - BSA Free

Application
Recommended Usage

Immunohistochemistry

1:50 - 1:200

Immunohistochemistry-Paraffin

1:50 - 1:200

Western Blot

0.04-0.4 ug/ml
Application Notes
For IHC-Paraffin, HIER pH 6 retrieval is recommended.

Formulation, Preparation, and Storage

Purification

Affinity purified

Formulation

PBS (pH 7.2) and 40% Glycerol

Format

BSA Free

Preservative

0.02% Sodium Azide

Concentration

Concentrations vary lot to lot. See vial label for concentration. If unlisted please contact technical services.

Shipping

The product is shipped with polar packs. Upon receipt, store it immediately at the temperature recommended below.

Stability & Storage

Store at 4C short term. Aliquot and store at -20C long term. Avoid freeze-thaw cycles.

Background: TRAF-1

The TRAF (TNF receptor-associated factor) family is a group of adapter proteins (TRAFs 1-6) that link a wide variety of cell surface receptors to diverse signaling cascades leading to the activation of NF-kB and mitogen-activated protein kinases (reviewed in Chung et al, 2002). TRAFs are major signal transducers for both the TNF and IL- 1/TLR receptor superfamilies and collectively play important functions in both adaptive and innate immunity. The carboxy-terminal region of TRAFs is required for self-association and interaction with receptor cytoplasmic domains following ligand-induced oligomerization. TRAFs interact with a variety of proteins that regulate receptor-induced cell death or survival, and TRAF-mediated signaling can promote cell survival or interfere with death receptor-induced apoptosis. This antibody recognizes TRAF1; human TRAF1 is a 416 amino acid protein.

Long Name

TNF Receptor-Associated Factor 1

Alternate Names

EBI6, TRAF1

Gene Symbol

TRAF1

Additional TRAF-1 Products

Product Documents for TRAF-1 Antibody - BSA Free

Certificate of Analysis

To download a Certificate of Analysis, please enter a lot number in the search box below.

Product Specific Notices for TRAF-1 Antibody - BSA Free

This product is for research use only and is not approved for use in humans or in clinical diagnosis. Primary Antibodies are guaranteed for 1 year from date of receipt.

Loading...
Loading...
Loading...
Loading...