Skip to main content

TPRX1 Antibody - BSA Free

Novus Biologicals, part of Bio-Techne | Catalog # NBP2-98200

Novus Biologicals, part of Bio-Techne

Key Product Details

Species Reactivity

Human

Applications

Immunohistochemistry, Immunohistochemistry-Paraffin

Label

Unconjugated

Antibody Source

Polyclonal Rabbit IgG

Format

BSA Free

Concentration

Please see the vial label for concentration. If unlisted please contact technical services.

Product Specifications

Immunogen

Produced in rabbits immunized with E. coli-derived Human TPRX1 fragment.

Clonality

Polyclonal

Host

Rabbit

Isotype

IgG

Description

This antibody can be stored at 2C to 8C for one month without detectable loss of activity. Antibody products are stable for twelve months from date of receipt when stored at -20C to -80C. Avoid repeated freeze-thaw cycles.

Scientific Data Images for TPRX1 Antibody - BSA Free

Immunohistochemistry-Paraffin: TPRX1 Antibody [NBP2-98200]

Immunohistochemistry-Paraffin: TPRX1 Antibody [NBP2-98200]

Immunohistochemistry-Paraffin: TPRX1 Antibody [NBP2-98200] - Staining of human TPRX1 in human stomach with rabbit polyclonal antibody at 1:500 dilution.
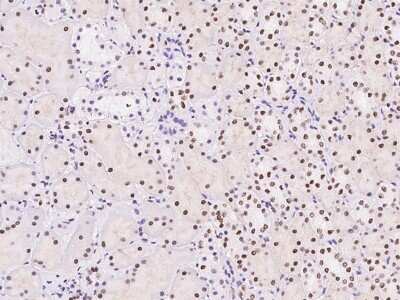
Immunohistochemistry-Paraffin: TPRX1 Antibody [NBP2-98200]

Immunohistochemistry-Paraffin: TPRX1 Antibody [NBP2-98200]

Immunohistochemistry-Paraffin: TPRX1 Antibody [NBP2-98200] - Staining of human TPRX1 in human kidney with rabbit polyclonal antibody at 1:500 dilution.

Applications for TPRX1 Antibody - BSA Free

Application
Recommended Usage

Immunohistochemistry

1:200-1:1000

Immunohistochemistry-Paraffin

1:200-1:1000

Formulation, Preparation, and Storage

Purification

Antigen and protein A Affinity-purified

Formulation

PBS

Format

BSA Free

Preservative

0.03% Proclin 300

Concentration

Please see the vial label for concentration. If unlisted please contact technical services.

Shipping

The product is shipped with polar packs. Upon receipt, store it immediately at the temperature recommended below.

Stability & Storage

Store at 4C short term. Aliquot and store at -20C long term. Avoid freeze-thaw cycles.

Background: TPRX1

Homeobox genes encode DNA-binding proteins, many of which are thought to be involved in early embryonic development. Homeobox genes encode a DNA-binding domain of 60 to 63 amino acids referred to as the homeodomain. This gene is a member of the TPRX homeobox gene family.

Alternate Names

CRX like homeobox 2, FLJ40321, tetra-peptide repeat homeobox 1, tetra-peptide repeat homeobox protein 1, TPRX

Gene Symbol

TPRX1

Additional TPRX1 Products

Product Documents for TPRX1 Antibody - BSA Free

Certificate of Analysis

To download a Certificate of Analysis, please enter a lot number in the search box below.

Product Specific Notices for TPRX1 Antibody - BSA Free

This product is for research use only and is not approved for use in humans or in clinical diagnosis. Primary Antibodies are guaranteed for 1 year from date of receipt.

Loading...
Loading...
Loading...
Loading...