Skip to main content

TMEM182 Antibody - BSA Free

Novus Biologicals, part of Bio-Techne | Catalog # NBP3-45207

Novus Biologicals, part of Bio-Techne
Catalog #
Availability
Size / Price
Qty
Loading...
NBP3-45207

Key Product Details

Species Reactivity

Human, Mouse

Applications

Immunohistochemistry, Western Blot, ELISA

Label

Unconjugated

Antibody Source

Polyclonal Rabbit IgG

Format

BSA Free

Concentration

Please see the vial label for concentration. If unlisted please contact technical services.

Product Specifications

Immunogen

transmembrane protein 182. (Uniprot# Q6ZP80)

Clonality

Polyclonal

Host

Rabbit

Isotype

IgG

Description

Novus Biologicals Rabbit TMEM182 Antibody - BSA Free (NBP3-45207) is a polyclonal antibody validated for use in IHC, WB and ELISA. All Novus Biologicals antibodies are covered by our 100% guarantee.

Scientific Data Images for TMEM182 Antibody - BSA Free

TMEM182 Antibody - BSA Free

Western Blot: TMEM182 Antibody - BSA Free [NBP3-45207] -

Western Blot: TMEM182 Antibody - BSA Free [NBP3-45207] - Mouse skeletal muscle tissue were subjected to SDS PAGE followed by western blot with (TMEM182 Antibody) at dilution of 1:300
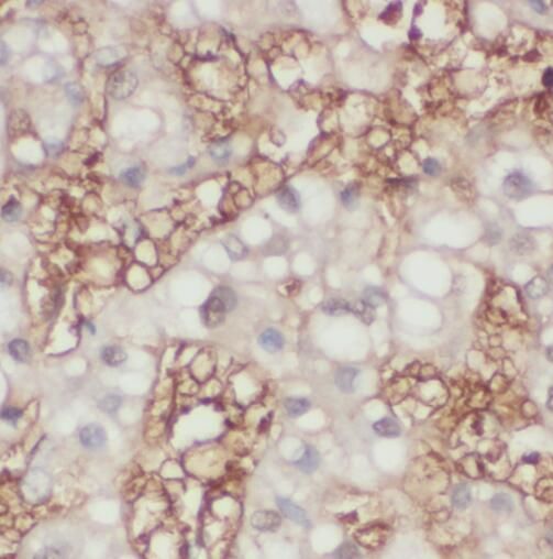
TMEM182 Antibody - BSA Free

Immunohistochemistry: TMEM182 Antibody - BSA Free [NBP3-45207] -

Immunohistochemistry: TMEM182 Antibody - BSA Free [NBP3-45207] - Immunohistochemistry of paraffin-embedded human liver cancer tissue slide using (TMEM182 Antibody) at dilution of 1:50

Applications for TMEM182 Antibody - BSA Free

Application
Recommended Usage

Immunohistochemistry

1:20-1:200

Western Blot

1:500-1:2000
Application Notes
Theoretical Molecular Weight is 15 kDa, 26 kDa

Formulation, Preparation, and Storage

Purification

Immunogen affinity purified

Formulation

PBS, 50% Glycerol, pH (7.3)

Format

BSA Free

Preservative

0.02% Sodium Azide

Concentration

Please see the vial label for concentration. If unlisted please contact technical services.

Shipping

The product is shipped with polar packs. Upon receipt, store it immediately at the temperature recommended below.

Stability & Storage

Store at -20C. Avoid freeze-thaw cycles.

Background: TMEM182

Alternate Names

FLJ30294, Transmembrane Protein 182

Gene Symbol

TMEM182

Additional TMEM182 Products

Product Documents for TMEM182 Antibody - BSA Free

Certificate of Analysis

To download a Certificate of Analysis, please enter a lot number in the search box below.

Product Specific Notices for TMEM182 Antibody - BSA Free

This product is for research use only and is not approved for use in humans or in clinical diagnosis. Primary Antibodies are guaranteed for 1 year from date of receipt.

Loading...
Loading...
Loading...
Loading...