Skip to main content

TIA1 Antibody

Novus Biologicals, part of Bio-Techne | Catalog # NB100-60555

Novus Biologicals, part of Bio-Techne
Catalog #
Availability
Size / Price
Qty
Loading...
NB100-60555

Key Product Details

Species Reactivity

Validated:

Human

Predicted:

Canine (100%), Mouse (100%), Rat (100%). Backed by our 100% Guarantee.

Applications

Immunohistochemistry, Immunohistochemistry-Paraffin, Western Blot, Peptide ELISA, Immunocytochemistry/ Immunofluorescence

Label

Unconjugated

Antibody Source

Polyclonal Goat IgG

Concentration

0.5 mg/ml

Product Specifications

Immunogen

Peptide with sequence C-PKSTYESNTKQ corresponding to internal region according to NP_071505.1.

Epitope

PKSTYESNTKQ

Reactivity Notes

Predicted cross-reactivity based on sequence identity: Mouse, Rat, Canine.

Specificity

This antibody is expected to recognise both reported isoforms (NP_071320.1 and NP_071505.1).

Clonality

Polyclonal

Host

Goat

Isotype

IgG

Description

Novus Biologicals Goat TIA1 Antibody (NB100-60555) is a polyclonal antibody validated for use in IHC, WB, ELISA and ICC/IF. Anti-TIA1 Antibody: Cited in 1 publication. All Novus Biologicals antibodies are covered by our 100% guarantee.

Scientific Data Images for TIA1 Antibody

Western Blot: TIA1 Antibody [NB100-60555]

Western Blot: TIA1 Antibody [NB100-60555]

Western Blot: TIA1 Antibody [NB100-60555] - (0.1ug/ml) staining of Jurkat cell lysate (35ug protein in RIPA buffer). Primary incubation was 1 hour. Detected by chemiluminescence.
Immunocytochemistry/ Immunofluorescence: TIA1 Antibody [NB100-60555]

Immunocytochemistry/ Immunofluorescence: TIA1 Antibody [NB100-60555]

Immunocytochemistry/Immunofluorescence: TIA1 Antibody [NB100-60555] - analysis of paraformaldehyde fixed HeLa cells, permeabilized with 0.15% Triton. Primary incubation 1hr (5ug/ml) followed by Alexa Fluor 488 secondary antibody (2ug/ml), showing nuclear and some cytoplasmic staining. The nuclear
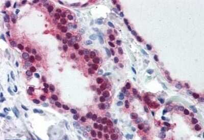
Immunohistochemistry-Paraffin: TIA1 Antibody [NB100-60555]

Immunohistochemistry-Paraffin: TIA1 Antibody [NB100-60555]

Immunohistochemistry-Paraffin: TIA1 Antibody [NB100-60555] - (3.75ug/ml) staining of paraffin embedded Human Thyroid. Steamed antigen retrieval with citrate buffer pH 6, AP-staining.

Applications for TIA1 Antibody

Application
Recommended Usage

Immunocytochemistry/ Immunofluorescence

5 ug/ml

Immunohistochemistry-Paraffin

3.75 ug/ml

Peptide ELISA

Detection limit 1:128000

Western Blot

0.1-0.3 ug/ml
Application Notes
WB: Approx. 40 kDa band observed in Jurkat lysates (calculated MW of 41.8 kDa band according to NP_071320.1). An additional band at 80 kDa band and a very strong 26 kDa band is also observed. These bands were successfully blocked by incubation with the immunizing peptide.

Formulation, Preparation, and Storage

Purification

Immunogen affinity purified

Formulation

Tris saline (20 mM Tris pH 7.3, 150 mM NaCl), 0.5% BSA

Preservative

0.02% Sodium Azide

Concentration

0.5 mg/ml

Shipping

The product is shipped with polar packs. Upon receipt, store it immediately at the temperature recommended below.

Stability & Storage

Store at -20C. Avoid freeze-thaw cycles.

Background: TIA1

The product encoded by this gene is a member of a RNA-binding protein family and possesses nucleolytic activity against cytotoxic lymphocyte (CTL) target cells. It has been suggested that this protein may be involved in the induction of apoptosis as it preferentially recognizes poly(A) homopolymers and induces DNA fragmentation in CTL targets. The major granule-associated species is a 15-kDa protein that is thought to be derived from the carboxyl terminus of the 40-kDa product by proteolytic processing. Alternative splicing resulting in different isoforms of this gene product has been described in the literature.

Alternate Names

cytotoxic granule-associated RNA-binding protein, nucleolysin TIA-1 isoform p40, p40-TIA-1, p40-TIA-1 (containing p15-TIA-1), RNA-binding protein TIA-1, T-cell-restricted intracellular antigen-1, TIA-1, TIA1 cytotoxic granule-associated RNA binding protein, TIA1 cytotoxic granule-associated RNA-binding protein

Entrez Gene IDs

7072 (Human); 21841 (Mouse); 312510 (Rat)

Gene Symbol

TIA1

Additional TIA1 Products

Product Documents for TIA1 Antibody

Certificate of Analysis

To download a Certificate of Analysis, please enter a lot number in the search box below.

Product Specific Notices for TIA1 Antibody

This product is for research use only and is not approved for use in humans or in clinical diagnosis. Primary Antibodies are guaranteed for 1 year from date of receipt.

Loading...
Loading...
Loading...
Loading...