Skip to main content

TIA1 Antibody (OTI1D7)

Novus Biologicals, part of Bio-Techne | Catalog # NBP2-46132

Novus Biologicals, part of Bio-Techne
Catalog #
Availability
Size / Price
Qty
Loading...
NBP2-46132

Key Product Details

Species Reactivity

Human, Mouse, Rat

Applications

Immunohistochemistry, Immunohistochemistry-Paraffin, Western Blot

Label

Unconjugated

Antibody Source

Monoclonal Mouse IgG2B Clone # OTI1D7

Concentration

1 mg/ml

Product Specifications

Immunogen

Full length human recombinant protein of human TIA1 (NP_071505) produced in HEK293T cell.

Reactivity Notes

Please note that this antibody is reactive to Mouse and derived from the same host, Mouse. Mouse-On-Mouse blocking reagent may be needed for IHC and ICC experiments to reduce high background signal. You can find these reagents under catalog numbers PK-2200-NB and MP-2400-NB. Please contact Technical Support if you have any questions.

Clonality

Monoclonal

Host

Mouse

Isotype

IgG2B

Theoretical MW

42.8 kDa.
Disclaimer note: The observed molecular weight of the protein may vary from the listed predicted molecular weight due to post translational modifications, post translation cleavages, relative charges, and other experimental factors.

Description

Novus Biologicals Mouse TIA1 Antibody (OTI1D7) (NBP2-46132) is a monoclonal antibody validated for use in IHC and WB. All Novus Biologicals antibodies are covered by our 100% guarantee.

Scientific Data Images for TIA1 Antibody (OTI1D7)

Western Blot: TIA1 Antibody (OTI1D7) [NBP2-46132]

Western Blot: TIA1 Antibody (OTI1D7) [NBP2-46132]

Western Blot: TIA1 Antibody (1D7) [NBP2-46132] - Analysis of HEK293T cells were transfected with the pCMV6-ENTRY control (Left lane) or pCMV6-ENTRY TIA1.
Immunohistochemistry: TIA1 Antibody (OTI1D7) [NBP2-46132]

Immunohistochemistry: TIA1 Antibody (OTI1D7) [NBP2-46132]

Immunohistochemistry: TIA1 Antibody (1D7) [NBP2-46132] - Analysis of Adenocarcinoma of Human colon tissue. (Heat-induced epitope retrieval by 10mM citric buffer, pH6.0, 120C for 3min)
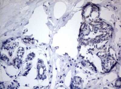
Immunohistochemistry: TIA1 Antibody (OTI1D7) [NBP2-46132]

Immunohistochemistry: TIA1 Antibody (OTI1D7) [NBP2-46132]

Immunohistochemistry: TIA1 Antibody (1D7) [NBP2-46132] - Analysis of Human prostate tissue. (Heat-induced epitope retrieval by 10mM citric buffer, pH6.0, 120C for 3min)

Applications for TIA1 Antibody (OTI1D7)

Application
Recommended Usage

Immunohistochemistry

1:150

Immunohistochemistry-Paraffin

1:150

Western Blot

1:2000

Formulation, Preparation, and Storage

Purification

Immunogen affinity purified

Formulation

PBS (pH 7.3), 1.0% BSA and 50% Glycerol

Preservative

0.02% Sodium Azide

Concentration

1 mg/ml

Shipping

The product is shipped with polar packs. Upon receipt, store it immediately at the temperature recommended below.

Stability & Storage

Store at -20C. Avoid freeze-thaw cycles.

Background: TIA1

The product encoded by this gene is a member of a RNA-binding protein family and possesses nucleolytic activity against cytotoxic lymphocyte (CTL) target cells. It has been suggested that this protein may be involved in the induction of apoptosis as it preferentially recognizes poly(A) homopolymers and induces DNA fragmentation in CTL targets. The major granule-associated species is a 15-kDa protein that is thought to be derived from the carboxyl terminus of the 40-kDa product by proteolytic processing. Alternative splicing resulting in different isoforms of this gene product has been described in the literature.

Alternate Names

cytotoxic granule-associated RNA-binding protein, nucleolysin TIA-1 isoform p40, p40-TIA-1, p40-TIA-1 (containing p15-TIA-1), RNA-binding protein TIA-1, T-cell-restricted intracellular antigen-1, TIA-1, TIA1 cytotoxic granule-associated RNA binding protein, TIA1 cytotoxic granule-associated RNA-binding protein

Gene Symbol

TIA1

Additional TIA1 Products

Product Documents for TIA1 Antibody (OTI1D7)

Certificate of Analysis

To download a Certificate of Analysis, please enter a lot number in the search box below.

Product Specific Notices for TIA1 Antibody (OTI1D7)

This product is for research use only and is not approved for use in humans or in clinical diagnosis. Primary Antibodies are guaranteed for 1 year from date of receipt.

Loading...
Loading...
Loading...
Loading...