Skip to main content

Thioredoxin-2 Antibody - Azide and BSA Free

Novus Biologicals, part of Bio-Techne | Catalog # NBP3-00013

Novus Biologicals, part of Bio-Techne

Key Product Details

Species Reactivity

Human

Applications

Immunohistochemistry, Immunohistochemistry-Paraffin, Western Blot, ELISA, Immunocytochemistry/ Immunofluorescence, Immunoprecipitation

Label

Unconjugated

Antibody Source

Polyclonal Rabbit IgG

Format

Azide and BSA Free

Concentration

Please see the vial label for concentration. If unlisted please contact technical services.

Product Specifications

Immunogen

Produced in rabbits immunized with purified, recombinant Human Thioredoxin-2 (Uniprot#: Q99757; Thr60-Gly166)

Clonality

Polyclonal

Host

Rabbit

Isotype

IgG

Description

This antibody can be stored at 2C to 8C for one month without detectable loss of activity. Antibody products are stable for twelve months from date of receipt when stored at -20C to -80C. Avoid repeated freeze-thaw cycles.

Scientific Data Images for Thioredoxin-2 Antibody - Azide and BSA Free

Western Blot: Thioredoxin-2 Antibody [NBP3-00013]

Western Blot: Thioredoxin-2 Antibody [NBP3-00013]

Western Blot: Thioredoxin-2 Antibody [NBP3-00013] - Anti-Thioredoxin-2 rabbit polyclonal antibody at 1:500 dilution. Lane A: HeLa Whole Cell Lysate. Lane B: 293 Whole Cell Lysate. Lysates/proteins at 30 ug per lane. Secondary Goat Anti-Rabbit IgG (H+L)/HRP at 1/10000 dilution. Developed using the ECL technique. Performed under reducing conditions. Predicted band size: 18 kDa
Immunohistochemistry-Paraffin: Thioredoxin-2 Antibody [NBP3-00013]

Immunohistochemistry-Paraffin: Thioredoxin-2 Antibody [NBP3-00013]

Immunohistochemistry-Paraffin: Thioredoxin-2 Antibody [NBP3-00013] - Immunochemical staining of human Thioredoxin-2 in human small intestine with rabbit polyclonal antibody at 1:1000 dilution, formalin-fixed paraffin embedded sections.
Immunohistochemistry-Paraffin: Thioredoxin-2 Antibody [NBP3-00013]

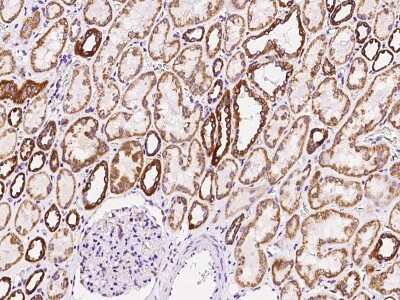
Immunohistochemistry-Paraffin: Thioredoxin-2 Antibody [NBP3-00013]

Immunohistochemistry-Paraffin: Thioredoxin-2 Antibody [NBP3-00013] - Immunochemical staining of human Thioredoxin-2 in human kidney with rabbit polyclonal antibody at 1:1000 dilution, formalin-fixed paraffin embedded sections.

Applications for Thioredoxin-2 Antibody - Azide and BSA Free

Application
Recommended Usage

ELISA

1:5000-1:10000

Immunocytochemistry/ Immunofluorescence

1:300-1:10000

Immunohistochemistry-Paraffin

1:500-1:2000

Immunoprecipitation

5-10 uL/mg of lysate

Western Blot

1:500-1:2000

Formulation, Preparation, and Storage

Purification

Antigen and protein A Affinity-purified

Formulation

0.2 um filtered solution in PBS

Format

Azide and BSA Free

Preservative

No Preservative

Concentration

Please see the vial label for concentration. If unlisted please contact technical services.

Shipping

The product is shipped with polar packs. Upon receipt, store it immediately at the temperature recommended below.

Stability & Storage

Store at 4C short term. Aliquot and store at -20C long term. Avoid freeze-thaw cycles.

Background: Thioredoxin-2

This nuclear gene encodes a mitochondrial member of the thioredoxin family, a group of small multifunctional redox-active proteins. The encoded protein may play important roles in the regulation of the mitochondrial membrane potential and in protection against oxidant-induced apoptosis. (provided by RefSeq)

Alternate Names

MT-TRX, Thioredoxin2, Trx2, TXN2

Gene Symbol

TXN2

Additional Thioredoxin-2 Products

Product Documents for Thioredoxin-2 Antibody - Azide and BSA Free

Certificate of Analysis

To download a Certificate of Analysis, please enter a lot number in the search box below.

Product Specific Notices for Thioredoxin-2 Antibody - Azide and BSA Free

This product is for research use only and is not approved for use in humans or in clinical diagnosis. Primary Antibodies are guaranteed for 1 year from date of receipt.

Loading...
Loading...
Loading...
Loading...