Skip to main content

TCF-3/E2A Antibody - BSA Free

Novus Biologicals, part of Bio-Techne | Catalog # NBP1-77119

Novus Biologicals, part of Bio-Techne

Key Product Details

Species Reactivity

Human, Mouse, Rat

Applications

Immunohistochemistry, Immunohistochemistry-Paraffin, Western Blot, ELISA, Immunocytochemistry/ Immunofluorescence

Label

Unconjugated

Antibody Source

Polyclonal Rabbit IgG

Format

BSA Free

Concentration

1 mg/ml

Product Specifications

Immunogen

Antibody was raised against a 17 amino acid synthetic peptide near the amino terminus of human TCF3. The immunogen is located within amino acids 150 - 200 of TCF3. Amino Acid Squence: LDTQPKKVRKVPPGLPS

Reactivity Notes

Immunogen displays the following percentage of sequence identity for non-tested species: Chicken (86%)

Clonality

Polyclonal

Host

Rabbit

Isotype

IgG

Scientific Data Images for TCF-3/E2A Antibody - BSA Free

Western Blot: TCF-3/E2A AntibodyBSA Free [NBP1-77119]

Western Blot: TCF-3/E2A AntibodyBSA Free [NBP1-77119]

Western Blot: TCF-3/E2A Antibody [NBP1-77119] - Human brain tissue lysate with TCF3/E2A antibody at 1 ug/mL in (A) the absence and (B) presence of peptide blocking.
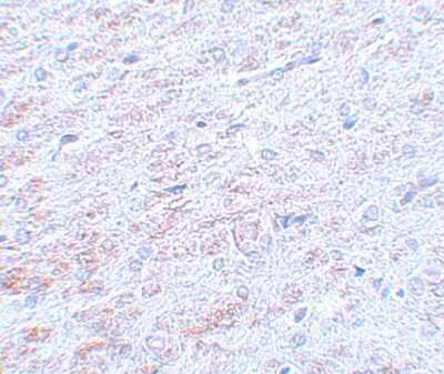
Immunohistochemistry-Paraffin: TCF-3/E2A Antibody - BSA Free [NBP1-77119]

Immunohistochemistry-Paraffin: TCF-3/E2A Antibody - BSA Free [NBP1-77119]

Immunohistochemistry-Paraffin: TCF-3/E2A Antibody [NBP1-77119] - Rat liver tissue with TCF3/E2A antibody at 5 ug/mL.
TCF-3/E2A Antibody - BSA Free

Immunocytochemistry/ Immunofluorescence: TCF-3/E2A Antibody - BSA Free [NBP1-77119] -

Immunocytochemistry/ Immunofluorescence: TCF-3/E2A Antibody - BSA Free [NBP1-77119] - Immunofluorescence of TCF-3/E2A in rat brain tissue with TCF-3/E2A antibody at 20 ug/mL.

Applications for TCF-3/E2A Antibody - BSA Free

Application
Recommended Usage

ELISA

1:100-1:2000

Immunocytochemistry/ Immunofluorescence

20 ug/mL

Immunohistochemistry

5 ug/ml

Immunohistochemistry-Paraffin

5 ug/ml

Western Blot

1 ug/ml

Formulation, Preparation, and Storage

Purification

Peptide affinity purified

Formulation

PBS

Format

BSA Free

Preservative

0.02% Sodium Azide

Concentration

1 mg/ml

Shipping

The product is shipped with polar packs. Upon receipt, store it immediately at the temperature recommended below.

Stability & Storage

Store at 4C short term. Aliquot and store at -20C long term. Avoid freeze-thaw cycles.

Background: TCF-3/E2A

The TCF3 gene, also called E2A, encodes two basic helix-loop-helix (bHLH) transcription factors, E12 and E47, through alternative splicing. These transcription factors are involved in mediating canonical Wnt signaling, which is very important in a diverse array of cellular functions such as stem cell proliferation, self-renewal, activation, fate determination, differentiation and aging and senescence. They bind beta-catenin and can act as transcriptional activators or repressors for Wnt target genes, and have been shown to regulate specific target genes during CNS development downstream of Wnt signaling. TCF3/Lef complexes are also known to play key roles in controlling cell fate lineages in multipotent skin stem cells.

Long Name

Transcription Factor 3/E2-alpha

Alternate Names

bHLHb21, E2A, ITF1, Kappa-E2-binding factor, Pan2, Tcfe2a, VDIR

Gene Symbol

TCF3

UniProt

Additional TCF-3/E2A Products

Product Documents for TCF-3/E2A Antibody - BSA Free

Certificate of Analysis

To download a Certificate of Analysis, please enter a lot number in the search box below.

Product Specific Notices for TCF-3/E2A Antibody - BSA Free

This product is for research use only and is not approved for use in humans or in clinical diagnosis. Primary Antibodies are guaranteed for 1 year from date of receipt.

Loading...
Loading...
Loading...
Loading...