Skip to main content

TADA1L Antibody - BSA Free

Novus Biologicals, part of Bio-Techne | Catalog # NBP3-45301

Novus Biologicals, part of Bio-Techne
Catalog #
Availability
Size / Price
Qty
Loading...
NBP3-45301

Key Product Details

Species Reactivity

Human, Mouse

Applications

Immunohistochemistry, Western Blot, ELISA, Immunocytochemistry/ Immunofluorescence

Label

Unconjugated

Antibody Source

Polyclonal Rabbit IgG

Format

BSA Free

Concentration

Please see the vial label for concentration. If unlisted please contact technical services.

Product Specifications

Immunogen

transcriptional adaptor 1(HFI1 homolog, yeast)-like. (Uniprot# Q96BN2)

Clonality

Polyclonal

Host

Rabbit

Isotype

IgG

Theoretical MW

38 kDa.
Disclaimer note: The observed molecular weight of the protein may vary from the listed predicted molecular weight due to post translational modifications, post translation cleavages, relative charges, and other experimental factors.

Description

Novus Biologicals Rabbit TADA1L Antibody - BSA Free (NBP3-45301) is a polyclonal antibody validated for use in IHC, WB, ELISA and ICC/IF. All Novus Biologicals antibodies are covered by our 100% guarantee.

Scientific Data Images for TADA1L Antibody - BSA Free

TADA1L Antibody - BSA Free

Western Blot: TADA1L Antibody - BSA Free [NBP3-45301] -

Western Blot: TADA1L Antibody - BSA Free [NBP3-45301] - Mouse testis tissue were subjected to SDS PAGE followed by western blot with (TADA1L Antibody) at dilution of 1:300
TADA1L Antibody - BSA Free

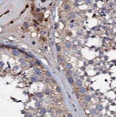
Immunohistochemistry: TADA1L Antibody - BSA Free [NBP3-45301] -

Immunohistochemistry: TADA1L Antibody - BSA Free [NBP3-45301] - Immunohistochemistry of paraffin-embedded human testis tissue slide using (TADA1L Antibody) at dilution of 1:50

Applications for TADA1L Antibody - BSA Free

Application
Recommended Usage

Immunocytochemistry/ Immunofluorescence

1:10-1:100

Immunohistochemistry

1:20-1:200

Western Blot

1:200-1:1000

Formulation, Preparation, and Storage

Purification

Immunogen affinity purified

Formulation

PBS, 50% Glycerol, pH (7.3)

Format

BSA Free

Preservative

0.02% Sodium Azide

Concentration

Please see the vial label for concentration. If unlisted please contact technical services.

Shipping

The product is shipped with polar packs. Upon receipt, store it immediately at the temperature recommended below.

Stability & Storage

Store at -20C. Avoid freeze-thaw cycles.

Background: TADA1L

TADA1L is a protein subunit of the human STAGA complex (SPT3; (MIM 602947)/TAF9 (MIM 600822)/GCN5 (MIM 602301)acetyltransferase complex), which is a chromatin-modifying multiprotein complex (Martinez et al., 2001 (PubMed11564863)).(supplied by OMIM)

Alternate Names

ADA1, hADA1, HFI1, SPT3-associated factor 42, SPT3-associated factor 42 (STAF42), STAF42transcriptional adaptor 1 (HFI1 homolog, yeast)-like, TADA1LRP1-9E21.4, transcriptional adapter 1, Transcriptional adapter 1-like protein, transcriptional adaptor 1, transcriptional adaptor 1 (HFI1 homolog, yeast)

Gene Symbol

TADA1

Additional TADA1L Products

Product Documents for TADA1L Antibody - BSA Free

Certificate of Analysis

To download a Certificate of Analysis, please enter a lot number in the search box below.

Product Specific Notices for TADA1L Antibody - BSA Free

This product is for research use only and is not approved for use in humans or in clinical diagnosis. Primary Antibodies are guaranteed for 1 year from date of receipt.

Loading...
Loading...
Loading...
Loading...