Skip to main content

Syndecan-4 Antibody

Novus Biologicals, part of Bio-Techne | Catalog # NB110-41551

Novus Biologicals, part of Bio-Techne
Discontinued Product
NB110-41551 has been discontinued. View all Syndecan-4 products.

Key Product Details

Species Reactivity

Validated:

Human, Mouse, Rat, Chicken

Cited:

Human

Applications

Validated:

Immunohistochemistry, Immunohistochemistry-Paraffin, Immunohistochemistry-Frozen, Western Blot, Immunoprecipitation

Cited:

Western Blot

Label

Unconjugated

Antibody Source

Polyclonal Rabbit IgG

Concentration

0.5 mg/ml

Product Specifications

Immunogen

Synthetic peptide surrounding amino acid 184 of human Syndecan-4.

Marker

Plasma Membrane Marker

Clonality

Polyclonal

Host

Rabbit

Isotype

IgG

Theoretical MW

22 kDa.
Disclaimer note: The observed molecular weight of the protein may vary from the listed predicted molecular weight due to post translational modifications, post translation cleavages, relative charges, and other experimental factors.

Description

This product is manufactured by Abcam and distributed by Novus Biologicals. (Abcam Catalog Number: 3644-100)

Scientific Data Images for Syndecan-4 Antibody

Western Blot: Syndecan-4 Antibody [NB110-41551]

Western Blot: Syndecan-4 Antibody [NB110-41551]

Western Blot: Syndecan-4 Antibody [NB110-41551] - Analysis of Syndecan-4 with Jurkat cell lysate.
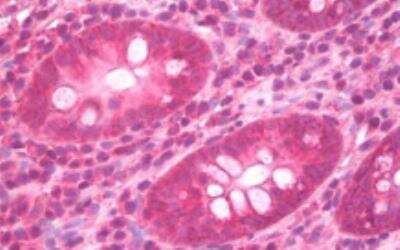
Immunohistochemistry-Paraffin: Syndecan-4 Antibody [NB110-41551]

Immunohistochemistry-Paraffin: Syndecan-4 Antibody [NB110-41551]

Immunohistochemistry-Paraffin: Syndecan-4 Antibody [NB110-41551] - FFPE tissue after heat-induced antigen retrieval. 5 ug/mL of antibody used for staining. After incubation with the primary antibody, slides were incubated with biotinylated secondary antibody, followed by alkaline phosphatase-streptavidin and chromogen.

Applications for Syndecan-4 Antibody

Application
Recommended Usage

Immunohistochemistry

5 ug/mL

Immunohistochemistry-Frozen

5 ug/mL

Immunohistochemistry-Paraffin

5 ug/mL

Immunoprecipitation

5 - 10 ug/mL

Western Blot

0.5 - 4 ug/mL

Reviewed Applications

Read 1 review rated 5 using NB110-41551 in the following applications:

Formulation, Preparation, and Storage

Purification

Affinity purified

Formulation

PBS (pH 7.2), 0.5% BSA, 30% Glycerol

Preservative

0.01% Thimerosal

Concentration

0.5 mg/ml

Shipping

The product is shipped with polar packs. Upon receipt, store it immediately at the temperature recommended below.

Stability & Storage

Store at -20 °C.

Background: Syndecan-4

Syndecans are type I integral membrane proteoglycans that are involved in cell-extracellular matrix adhesion and growth factor binding. Syndecan-1 is an matrix receptor which binds to Collagens, Fibronectin and Thrombospondin. Syndecan-1 and Syndecan-3 interact with MK (midkine), a growth/differentiation factor involved in embryogenesis. Syndecan-2 is highly expressed at areas of high morphogenetic activity, such as epithelial-mesenchymal interfaces and the prechondrogenic and preosteogenic mesenchymal condensations. Syndecan-4 functions cooperatively with integrins in the processes of cell spreading and focal adhesion assembly.

Alternate Names

Amphiglycan, Ryudocan, SDC4, Syndecan4

Entrez Gene IDs

6385 (Human); 20971 (Mouse); 24771 (Rat)

Gene Symbol

SDC4

UniProt

Additional Syndecan-4 Products

Product Documents for Syndecan-4 Antibody

Certificate of Analysis

To download a Certificate of Analysis, please enter a lot number in the search box below.

Product Specific Notices for Syndecan-4 Antibody

This product is for research use only and is not approved for use in humans or in clinical diagnosis. Primary Antibodies are guaranteed for 1 year from date of receipt.

Loading...
Loading...
Loading...
Loading...

⚠ WARNING: This product can expose you to chemicals including mercury, which is known to the State of California to cause reproductive toxicity with developmental effects.  For more information go to www.P65Warnings.ca.gov.