Skip to main content

SSRP1 Antibody - BSA Free

Novus Biologicals, part of Bio-Techne | Catalog # NBP2-93977

Novus Biologicals, part of Bio-Techne
Catalog #
Availability
Size / Price
Qty
Loading...
NBP2-93977-0.02ml
NBP2-93977-0.1ml

Key Product Details

Species Reactivity

Human, Mouse

Applications

ELISA, Immunocytochemistry/ Immunofluorescence, Immunohistochemistry, Immunohistochemistry-Paraffin, Western Blot

Label

Unconjugated

Antibody Source

Polyclonal Rabbit IgG

Format

BSA Free

Concentration

Please see the vial label for concentration. If unlisted please contact technical services.

Product Specifications

Immunogen

Recombinant fusion protein containing a sequence corresponding to amino acids 1-300 of human SSRP1 (NP_003137.1). MAETLEFNDVYQEVKGSMNDGRLRLSRQGIIFKNSKTGKVDNIQAGELTEGIWRRVALGHGLKLLTKNGHVYKYDGFRESEFEKLSDFFKTHYRLELMEKDLCVKGWNWGTVKFGGQLLSFDIGDQPVFEIPLSNVSQCTTGKNEVTLEFHQNDDAEVSLMEVRFYVPPTQEDGVDPVEAFAQNVLSKADVIQATGDAICIFRELQCLTPRGRYDIRIYPTFLHLHGKTFDYKIPYTTVLRLFLLPHKDQRQMFFVISLDPPIKQGQTRYHFLILLFSKDEDISLTLNMNEEEVEKRFEG

Clonality

Polyclonal

Host

Rabbit

Isotype

IgG

Theoretical MW

81 kDa.
Disclaimer note: The observed molecular weight of the protein may vary from the listed predicted molecular weight due to post translational modifications, post translation cleavages, relative charges, and other experimental factors.

Description

Novus Biologicals Rabbit SSRP1 Antibody - BSA Free (NBP2-93977) is a polyclonal antibody validated for use in IHC, WB, ELISA and ICC/IF. All Novus Biologicals antibodies are covered by our 100% guarantee.

Scientific Data Images for SSRP1 Antibody - BSA Free

SSRP1 Antibody - Azide and BSA Free

Western Blot: SSRP1 Antibody - Azide and BSA Free [SSRP1] -

Western Blot: SSRP1 Antibody - Azide and BSA Free [SSRP1] - Western blot analysis of lysates from Mouse brain, using SSRP1 Rabbit pAb at 1:500 dilution.
Secondary antibody: HRP-conjugated Goat anti-Rabbit IgG (H+L) at 1:10000 dilution.
Lysates/proteins: 25ug per lane.
Blocking buffer: 3% nonfat dry milk in TBST.
Detection: ECL Basic Kit .
Exposure time: 5s.
Immunocytochemistry/ Immunofluorescence: SSRP1 Antibody - Azide and BSA Free [NBP2-93977]

Immunocytochemistry/ Immunofluorescence: SSRP1 Antibody - Azide and BSA Free [NBP2-93977]

Immunocytochemistry/Immunofluorescence: SSRP1 Antibody [NBP2-93977] - Analysis of U2OS cells using SSRP1 .
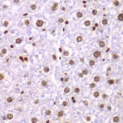
Immunohistochemistry-Paraffin: SSRP1 Antibody - Azide and BSA Free [NBP2-93977]

Immunohistochemistry-Paraffin: SSRP1 Antibody - Azide and BSA Free [NBP2-93977]

Immunohistochemistry-Paraffin: SSRP1 Antibody [NBP2-93977] - Paraffin-embedded mouse liver using SSRP1 .

Applications for SSRP1 Antibody - BSA Free

Application
Recommended Usage

Immunocytochemistry/ Immunofluorescence

1:10-1:100

Immunohistochemistry

1:50-1:200

Western Blot

1:100 - 1:500

Formulation, Preparation, and Storage

Purification

Affinity purified

Formulation

PBS (pH 7.3), 50% glycerol

Format

BSA Free

Preservative

0.02% Sodium Azide

Concentration

Please see the vial label for concentration. If unlisted please contact technical services.

Shipping

The product is shipped with polar packs. Upon receipt, store it immediately at the temperature recommended below.

Stability & Storage

Store at -20C. Avoid freeze-thaw cycles.

Background: SSRP1

SSRP1 is a nuclear protein and a component of the FACT complex (facilitates chromatin transcription). The FACT complex is composed of the SUPT16H (FACT140) and the SSRP1 FACTp80 proteins. This complex interacts with nucleosomes and histone H2A/H2B dimers to promote nucleosome disassembly and allow transcription elongation. This protein interacts with dsDNA. The SSRP1 protein has been shown to be modified by cisplatin and may protect DNA from repair and block DNA replication. The 10D7 monoclonal antibody recognizes the human SSRP1 protein and has been shown to be useful for Western blotting.

Alternate Names

Chromatin-specific transcription elongation factor 80 kDa subunit, cisplatin-DNA SSRP, facilitates chromatin remodeling 80 kDa subunit, Facilitates chromatin transcription complex 80 kDa subunit, Facilitates chromatin transcription complex subunit SSRP1, FACT, FACT complex subunit SSRP1, FACT80FACT 80 kDa subunit, FACTp80, high mobility group box, hSSRP1, Recombination signal sequence recognition protein 1, structure specific recognition protein 1, Structure-specific recognition protein 1, T160

Gene Symbol

SSRP1

Additional SSRP1 Products

Product Documents for SSRP1 Antibody - BSA Free

Certificate of Analysis

To download a Certificate of Analysis, please enter a lot number in the search box below.

Product Specific Notices for SSRP1 Antibody - BSA Free

This product is for research use only and is not approved for use in humans or in clinical diagnosis. Primary Antibodies are guaranteed for 1 year from date of receipt.

Loading...
Loading...
Loading...
Loading...