Skip to main content

SOX9 Antibody (SN74-09)

Novus Biologicals, part of Bio-Techne | Catalog # NBP2-67690

Recombinant Monoclonal Antibody
Novus Biologicals, part of Bio-Techne
Catalog #
Availability
Size / Price
Qty
Loading...
NBP2-67690

Key Product Details

Species Reactivity

Human, Mouse, Rat

Applications

Multiplex Immunofluorescence, Immunohistochemistry, Immunohistochemistry-Paraffin, Western Blot, Flow Cytometry, Immunocytochemistry/ Immunofluorescence, Immunoprecipitation, Chromatin Immunoprecipitation

Label

Unconjugated

Antibody Source

Recombinant Monoclonal Rabbit IgG Clone # SN74-09 expressed in HEK293

Concentration

1 mg/ml

Product Specifications

Immunogen

Recombinant protein within human SOX9 aa 140-340. (SwissProt: P48436 Human; SwissProt: Q04887 Mouse; SwissProt: F1LYL9 Rat)

Localization

Nucleus.

Clonality

Monoclonal

Host

Rabbit

Isotype

IgG

Description

Novus Biologicals Rabbit SOX9 Antibody (SN74-09) (NBP2-67690) is a recombinant monoclonal antibody validated for use in IHC, WB, Flow, ICC/IF, IP and ChIP. All Novus Biologicals antibodies are covered by our 100% guarantee.

Scientific Data Images for SOX9 Antibody (SN74-09)

Western Blot: SOX9 Antibody (SN74-09) [NBP2-67690]

Western Blot: SOX9 Antibody (SN74-09) [NBP2-67690]

Western Blot: SOX9 Antibody (SN74-09) [NBP2-67690] - Analysis of SOX9 on NIH/3T3 cell lysates with Rabbit anti-SOX9 antibody at 1/500 dilution. Lysates/proteins at 10 ug/Lane. Predicted band size: 56 kDa Observed band size: 70 kDa Exposure time: 30 seconds; 8% SDS-PAGE gel. Proteins were transferred to a PVDF membrane and blocked with 5% NFDM/TBST for 1 hour at room temperature. The primary antibody at 1/500 dilution was used in 5% NFDM/TBST at room temperature for 2 hours. Goat Anti-Rabbit IgG - HRP Secondary Antibody at 1:300,000 dilution was used for 1 hour at room temperature.
Immunocytochemistry/ Immunofluorescence: SOX9 Antibody (SN74-09) [NBP2-67690]

Immunocytochemistry/ Immunofluorescence: SOX9 Antibody (SN74-09) [NBP2-67690]

Immunocytochemistry/Immunofluorescence: SOX9 Antibody (SN74-09) [NBP2-67690] - Staining SOX9 in SW480 cells (green). The nuclear counter stain is DAPI (blue). Cells were fixed in paraformaldehyde, permeabilised with 0.25% Triton X100/PBS.
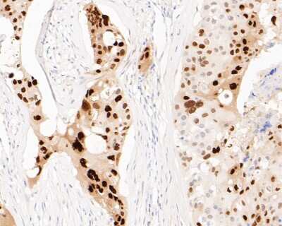
Immunohistochemistry-Paraffin: SOX9 Antibody (SN74-09) [NBP2-67690]

Immunohistochemistry-Paraffin: SOX9 Antibody (SN74-09) [NBP2-67690]

Immunohistochemistry-Paraffin: SOX9 Antibody (SN74-09) [NBP2-67690] - Analysis of paraffin-embedded human lung carcinoma tissue with Rabbit anti-SOX9 antibody washed with ddH2O and PBS, and then probed with the primary antibody at 1/200 dilution for 1 hour at room temperature. The detection was performed using an HRP conjugated compact polymer system. DAB was used as the chromogen. Tissues were counterstained with hematoxylin and mounted with DPX.

Applications for SOX9 Antibody (SN74-09)

Application
Recommended Usage

Chromatin Immunoprecipitation

Use 4 ug for 30 ug of chromatin.

Flow Cytometry

1:50-1:100

Immunocytochemistry/ Immunofluorescence

1:50-1:200

Immunohistochemistry-Paraffin

1:50-1:200

Western Blot

1:500-1:1000

Formulation, Preparation, and Storage

Purification

Protein A purified

Formulation

TBS (pH7.4), 0.05% BSA, 40% Glycerol

Preservative

0.05% Sodium Azide

Concentration

1 mg/ml

Shipping

The product is shipped with polar packs. Upon receipt, store it immediately at the temperature recommended below.

Stability & Storage

Store at 4C short term. Aliquot and store at -20C long term. Avoid freeze-thaw cycles.

Background: SOX9

SOX9 is a member of the family of SOX (Sry-type highmobility group box) genes that were first identified on the basis of region with high homology to that of Sry (Sex determining region Y). SOX9 is a transcription factor with a high mobility group DNA-binding domain that is expressed in all prechondrocytic and chondrocytic cells during embryonic development in a pattern that close parallels that of the gene for type II collagen. SOX9 is important in neural crest formation, and is involved in regulating subsequent epithelial-mesenchymal transition and migration.

Long Name

Transcription Factor SOX9

Alternate Names

campomelic dysplasia, autosomal sex-reversal, CMD 1, CMD1, CMPD1, SRA1SRY (sex-determining region Y)-box 9 protein, SRY (sex determining region Y)-box 9, SRY-related HMG-box, gene 9, transcription factor SOX-9

Gene Symbol

SOX9

Additional SOX9 Products

Product Documents for SOX9 Antibody (SN74-09)

Certificate of Analysis

To download a Certificate of Analysis, please enter a lot number in the search box below.

Product Specific Notices for SOX9 Antibody (SN74-09)

This product is for research use only and is not approved for use in humans or in clinical diagnosis. Primary Antibodies are guaranteed for 1 year from date of receipt.

Loading...
Loading...
Loading...
Loading...
Loading...