Skip to main content

SOX6 Antibody - BSA Free

Novus Biologicals, part of Bio-Techne | Catalog # NBP1-85811

Novus Biologicals, part of Bio-Techne
Catalog #
Availability
Size / Price
Qty
Loading...
NBP1-85811-25ul
NBP1-85811

Key Product Details

Validated by

Orthogonal Validation

Species Reactivity

Validated:

Human

Cited:

Human, Mouse

Predicted:

Mouse (96%), Rat (96%). Backed by our 100% Guarantee.

Applications

Validated:

Immunohistochemistry, Immunohistochemistry-Paraffin, Western Blot, Immunocytochemistry/ Immunofluorescence

Cited:

Immunohistochemistry-Frozen, Western Blot

Label

Unconjugated

Antibody Source

Polyclonal Rabbit IgG

Format

BSA Free

Concentration

Concentrations vary lot to lot. See vial label for concentration. If unlisted please contact technical services.

Product Specifications

Immunogen

This antibody was developed against Recombinant Protein corresponding to amino acids: TYKPGDNYPVQFIPSTMAAAAASGLSPLQLQQLYAAQLASMQVSPGAKMPSTPQPPNTAGTVSPTGIKNEKRGTSPVTQVKDEAAAQPLNLSSRPKTAEPVKSPTS

Clonality

Polyclonal

Host

Rabbit

Isotype

IgG

Scientific Data Images for SOX6 Antibody - BSA Free

Immunohistochemistry-Paraffin: SOX6 Antibody [NBP1-85811]

Immunohistochemistry-Paraffin: SOX6 Antibody [NBP1-85811]

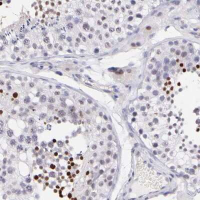
Immunohistochemistry-Paraffin: SOX6 Antibody [NBP1-85811] - Analysis in human testis and tonsil tissues using NBP1-85811 antibody. Corresponding SOX6 RNA-seq data are presented for the same tissues.
Immunohistochemistry-Paraffin: SOX6 Antibody [NBP1-85811]

Immunohistochemistry-Paraffin: SOX6 Antibody [NBP1-85811]

Immunohistochemistry-Paraffin: SOX6 Antibody [NBP1-85811] - Staining of human glioma shows moderate to strong nuclear positivity in tumor cells.
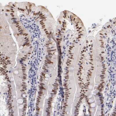
Immunohistochemistry-Paraffin: SOX6 Antibody [NBP1-85811]

Immunohistochemistry-Paraffin: SOX6 Antibody [NBP1-85811]

Immunohistochemistry-Paraffin: SOX6 Antibody [NBP1-85811] - Staining of human small intestine shows moderate nuclear positivity in glandular cells.

Applications for SOX6 Antibody - BSA Free

Application
Recommended Usage

Immunocytochemistry/ Immunofluorescence

0.25-2 ug/ml

Immunohistochemistry

1:200 - 1:500

Immunohistochemistry-Paraffin

1:200 - 1:500

Western Blot

Reported in scientific literature (PMID: 29855617)
Application Notes
For IHC-Paraffin, HIER pH 6 retrieval is recommended. ICC/IF Fixation Permeabilization: Use PFA/Triton X-100.

Formulation, Preparation, and Storage

Purification

Affinity purified

Formulation

PBS (pH 7.2) and 40% Glycerol

Format

BSA Free

Preservative

0.02% Sodium Azide

Concentration

Concentrations vary lot to lot. See vial label for concentration. If unlisted please contact technical services.

Shipping

The product is shipped with polar packs. Upon receipt, store it immediately at the temperature recommended below.

Stability & Storage

Store at 4C short term. Aliquot and store at -20C long term. Avoid freeze-thaw cycles.

Background: SOX6

Sox genes comprise a family of genes that are related to the mammalian sex determining gene SRY. These genes similarly contain sequences that encode for the HMG-box domain, which is responsible for the sequence-specific DNA-binding activity. Sox genes encode putative transcriptional regulators implicated in the decision of cell fates during development and the control of diverse developmental processes. The highly complex group of Sox genes cluster at a minimum of 40 different loci that rapidly diverged in various animal lineages. At present 30 Sox genes have been identified, and members of this family have been shown to be conserved during evolution and to play key roles during animal development. Some are involved in human diseases, including sex reversal.

Long Name

SRY-related HMG-box 6

Alternate Names

SOXD

Gene Symbol

SOX6

Additional SOX6 Products

Product Documents for SOX6 Antibody - BSA Free

Certificate of Analysis

To download a Certificate of Analysis, please enter a lot number in the search box below.

Product Specific Notices for SOX6 Antibody - BSA Free

This product is for research use only and is not approved for use in humans or in clinical diagnosis. Primary Antibodies are guaranteed for 1 year from date of receipt.

Loading...
Loading...
Loading...
Loading...