Skip to main content

SOX10 Antibody - BSA Free

Novus Biologicals, part of Bio-Techne | Catalog # NBP2-57023

Novus Biologicals, part of Bio-Techne
Catalog #
Availability
Size / Price
Qty
Loading...
NBP2-57023-25ul
NBP2-57023

Key Product Details

Validated by

Orthogonal Validation

Species Reactivity

Validated:

Human

Predicted:

Mouse (98%), Rat (98%). Backed by our 100% Guarantee.

Applications

Immunohistochemistry, Immunohistochemistry-Paraffin, Immunocytochemistry/ Immunofluorescence, Chromatin Immunoprecipitation-exo-Seq

Label

Unconjugated

Antibody Source

Polyclonal Rabbit IgG

Format

BSA Free

Concentration

Concentrations vary lot to lot. See vial label for concentration. If unlisted please contact technical services.

Product Specifications

Immunogen

This antibody was developed against a recombinant protein corresponding to the following amino acid sequence: PHYTDQPSTSQIAYTSLSLPHYGSAFPSISRPQFDYSDHQPSGPYYGHSG

Clonality

Polyclonal

Host

Rabbit

Isotype

IgG

Description

Novus Biologicals Rabbit SOX10 Antibody - BSA Free (NBP2-57023) is a polyclonal antibody validated for use in IHC and ICC/IF. All Novus Biologicals antibodies are covered by our 100% guarantee.

Scientific Data Images for SOX10 Antibody - BSA Free

Immunohistochemistry-Paraffin: SOX10 Antibody [NBP2-57023]

Immunohistochemistry-Paraffin: SOX10 Antibody [NBP2-57023]

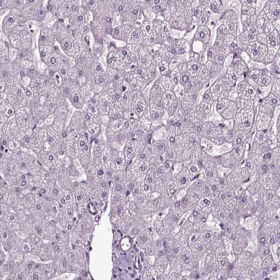
Immunohistochemistry-Paraffin: SOX10 Antibody [NBP2-57023] - Analysis in human cerebral cortex and liver tissues using NBP2-57023 antibody. Corresponding SOX10 RNA-seq data are presented for the same tissues.
Immunocytochemistry/ Immunofluorescence: SOX10 Antibody [NBP2-57023]

Immunocytochemistry/ Immunofluorescence: SOX10 Antibody [NBP2-57023]

Immunocytochemistry/Immunofluorescence: SOX10 Antibody [NBP2-57023] - Staining of human cell line SK-MEL-30 shows localization to nucleoplasm. Antibody staining is shown in green.
Immunohistochemistry-Paraffin: SOX10 Antibody [NBP2-57023]

Immunohistochemistry-Paraffin: SOX10 Antibody [NBP2-57023]

Immunohistochemistry-Paraffin: SOX10 Antibody [NBP2-57023] - Staining of human cerebral cortex shows high expression.

Applications for SOX10 Antibody - BSA Free

Application
Recommended Usage

Chromatin Immunoprecipitation-exo-Seq

1-10ug per reaction

Immunocytochemistry/ Immunofluorescence

0.25-2 ug/ml

Immunohistochemistry

1:500 - 1:1000

Immunohistochemistry-Paraffin

1:500 - 1:1000
Application Notes
IHC-Paraffin, HIER pH 6 retrieval is recommended. ICC/IF, Fixation Permeabilization: Use PFA/Triton X-100.

Formulation, Preparation, and Storage

Purification

Affinity purified

Formulation

PBS (pH 7.2) and 40% Glycerol

Format

BSA Free

Preservative

0.02% Sodium Azide

Concentration

Concentrations vary lot to lot. See vial label for concentration. If unlisted please contact technical services.

Shipping

The product is shipped with polar packs. Upon receipt, store it immediately at the temperature recommended below.

Stability & Storage

Store at 4C short term. Aliquot and store at -20C long term. Avoid freeze-thaw cycles.

Background: SOX10

SOX10 is a member of the SOX (SRY-related HMG-box) family of transcription factors involved in the regulation of embryonic development and in the determination of the cell fate. This protein may act as a transcriptional activator after forming a protein complex with other proteins. It acts as a nucleocytoplasmic shuttle protein and is important for neural crest and peripheral nervous system development. Mutations in this gene are associated with Waardenburg-Shah and Waardenburg-Hirschsprung disease.

Long Name

Transcription Factor SOX10

Alternate Names

DOM, WS4

Gene Symbol

SOX10

Additional SOX10 Products

Product Documents for SOX10 Antibody - BSA Free

Certificate of Analysis

To download a Certificate of Analysis, please enter a lot number in the search box below.

Product Specific Notices for SOX10 Antibody - BSA Free

This product is for research use only and is not approved for use in humans or in clinical diagnosis. Primary Antibodies are guaranteed for 1 year from date of receipt.

Loading...
Loading...
Loading...
Loading...