Sorbitol Dehydrogenase Antibody - BSA Free
Novus Biologicals, part of Bio-Techne | Catalog # NBP1-87416
Key Product Details
Validated by
Orthogonal Validation, Independent Antibodies
Species Reactivity
Validated:
Human
Cited:
Human
Applications
Validated:
Immunohistochemistry, Immunohistochemistry-Paraffin, Western Blot, Immunocytochemistry/ Immunofluorescence
Cited:
Western Blot, IF/IHC
Label
Unconjugated
Antibody Source
Polyclonal Rabbit IgG
Format
BSA Free
Concentration
Concentrations vary lot to lot. See vial label for concentration. If unlisted please contact technical services.
Product Specifications
Immunogen
This antibody was developed against Recombinant Protein corresponding to amino acids: LLHAAIREVDIKGVFRYCNTWPVAISMLASKSVNVKPLVTHRFPLEKALEAFETFKKGLGLKIMLKCDPSDQNP
Reactivity Notes
Immunogen displays the following percentage of sequence identity for non-tested species: Mouse (86%), Rat (85%). Human reactivity reported in scientific literature (PMID: 24567419).
Clonality
Polyclonal
Host
Rabbit
Isotype
IgG
Description
Novus Biologicals Rabbit Sorbitol Dehydrogenase Antibody - BSA Free (NBP1-87416) is a polyclonal antibody validated for use in IHC, WB and ICC/IF. Anti-Sorbitol Dehydrogenase Antibody: Cited in 1 publication. All Novus Biologicals antibodies are covered by our 100% guarantee.
Scientific Data Images for Sorbitol Dehydrogenase Antibody - BSA Free
Immunohistochemistry-Paraffin: Sorbitol Dehydrogenase Antibody [NBP1-87416]
Immunohistochemistry-Paraffin: Sorbitol Dehydrogenase Antibody [NBP1-87416] - Analysis in human prostate and skeletal muscle tissues using NBP1-87416 antibody. Corresponding SORD RNA-seq data are presented for the same tissues.Immunohistochemistry-Paraffin: Sorbitol Dehydrogenase Antibody [NBP1-87416]
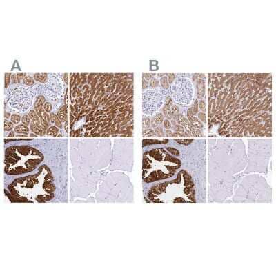
Immunohistochemistry-Paraffin: Sorbitol Dehydrogenase Antibody [NBP1-87416] - Staining of human kidney, liver, prostate and skeletal muscle using Anti-SORD antibody NBP1-87416 (A) shows similar protein distribution across tissues to independent antibody NBP1-87415 (B).Applications for Sorbitol Dehydrogenase Antibody - BSA Free
Application
Recommended Usage
Immunocytochemistry/ Immunofluorescence
0.25-2 ug/ml
Immunohistochemistry
1:50 - 1:200
Immunohistochemistry-Paraffin
1:50 - 1:200
Western Blot
0.04-0.4 ug/ml
Application Notes
IHC, WB reported in scientific literature (PMID: 24567419). For IHC-Paraffin, HIER pH 6 retrieval is recommended. ICC/IF, Fixation Permeabilization: Use PFA/Triton X-100.
Formulation, Preparation, and Storage
Purification
Affinity purified
Formulation
PBS (pH 7.2) and 40% Glycerol
Format
BSA Free
Preservative
0.02% Sodium Azide
Concentration
Concentrations vary lot to lot. See vial label for concentration. If unlisted please contact technical services.
Shipping
The product is shipped with polar packs. Upon receipt, store it immediately at the temperature recommended below.
Stability & Storage
Store at 4C short term. Aliquot and store at -20C long term. Avoid freeze-thaw cycles.
Background: Sorbitol Dehydrogenase
Alternate Names
EC 1.1.1, EC 1.1.1.14, L-iditol 2-dehydrogenase, sorbitol dehydrogenase, SORD1
Gene Symbol
SORD
Additional Sorbitol Dehydrogenase Products
Product Documents for Sorbitol Dehydrogenase Antibody - BSA Free
Product Specific Notices for Sorbitol Dehydrogenase Antibody - BSA Free
This product is for research use only and is not approved for use in humans or in clinical diagnosis. Primary Antibodies are guaranteed for 1 year from date of receipt.
Loading...
Loading...
Loading...
Loading...