SNW1 Antibody
Novus Biologicals, part of Bio-Techne | Catalog # NBP2-20440
Key Product Details
Species Reactivity
Human
Applications
Immunohistochemistry, Immunohistochemistry-Paraffin, Western Blot, Immunocytochemistry/ Immunofluorescence
Label
Unconjugated
Antibody Source
Polyclonal Rabbit IgG
Concentration
Concentrations vary lot to lot. See vial label for concentration. If unlisted please contact technical services.
Product Specifications
Immunogen
Recombinant protein encompassing a sequence within the center region of human SNW1. The exact sequence is proprietary.
Localization
Nucleus
Clonality
Polyclonal
Host
Rabbit
Isotype
IgG
Theoretical MW
62 kDa.
Disclaimer note: The observed molecular weight of the protein may vary from the listed predicted molecular weight due to post translational modifications, post translation cleavages, relative charges, and other experimental factors.
Disclaimer note: The observed molecular weight of the protein may vary from the listed predicted molecular weight due to post translational modifications, post translation cleavages, relative charges, and other experimental factors.
Description
Novus Biologicals Rabbit SNW1 Antibody (NBP2-20440) is a polyclonal antibody validated for use in IHC, WB and ICC/IF. All Novus Biologicals antibodies are covered by our 100% guarantee.
Scientific Data Images for SNW1 Antibody
Western Blot: SNW1 Antibody [NBP2-20440]
Western Blot: SNW1 Antibody [NBP2-20440] - Sample (30 ug of whole cell lysate) A: A549 B: HepG2 7. 5% SDS PAGE gel, diluted at 1:1000.Immunocytochemistry/ Immunofluorescence: SNW1 Antibody [NBP2-20440]
Immunocytochemistry/Immunofluorescence: SNW1 Antibody [NBP2-20440] - Immunofluorescence analysis of paraformaldehyde-fixed HeLa, using antibody at 1:500 dilution.Immunohistochemistry-Paraffin: SNW1 Antibody [NBP2-20440]
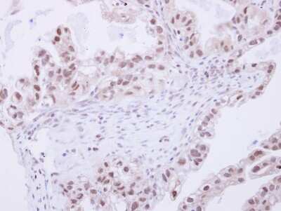
Immunohistochemistry-Paraffin: SNW1 Antibody [NBP2-20440] - Immunohistochemical analysis of paraffin-embedded OVCA, using antibody at 1:250 dilution.Applications for SNW1 Antibody
Application
Recommended Usage
Immunocytochemistry/ Immunofluorescence
1:100-1:1000
Immunohistochemistry
10 - 1:500
Immunohistochemistry-Paraffin
1:100-1:1000
Western Blot
1:500-1:3000
Formulation, Preparation, and Storage
Purification
Antigen Affinity-purified
Formulation
PBS, 1% BSA, 20% Glycerol
Preservative
0.01% Thimerosal
Concentration
Concentrations vary lot to lot. See vial label for concentration. If unlisted please contact technical services.
Shipping
The product is shipped with polar packs. Upon receipt, store it immediately at the temperature recommended below.
Stability & Storage
Aliquot and store at -20C or -80C. Avoid freeze-thaw cycles.
Background: SNW1
Alternate Names
Bx42, homolog of Drosophila BX42, MGC119379, NCoA-62, Nuclear protein SkiP, Nuclear receptor coactivator NCoA-62, nuclear receptor coactivator, 62-kD, Prp45, PRPF45, SKI interacting protein, Ski-interacting protein, SKIPSKIIP, SNW domain containing 1, SNW domain-containing protein 1
Gene Symbol
SNW1
UniProt
Additional SNW1 Products
Product Documents for SNW1 Antibody
Product Specific Notices for SNW1 Antibody
This product is for research use only and is not approved for use in humans or in clinical diagnosis. Primary Antibodies are guaranteed for 1 year from date of receipt.
Loading...
Loading...
Loading...
Loading...
⚠ WARNING: This product can expose you to chemicals including mercury, which is known to the State of California to cause reproductive toxicity with developmental effects. For more information go to www.P65Warnings.ca.gov.