Skip to main content

SNRPE Antibody - BSA Free

Novus Biologicals, part of Bio-Techne | Catalog # NBP3-45872

Novus Biologicals, part of Bio-Techne
Catalog #
Availability
Size / Price
Qty
Loading...
NBP3-45872

Key Product Details

Species Reactivity

Human, Mouse

Applications

Immunohistochemistry, Western Blot, ELISA, Immunocytochemistry/ Immunofluorescence

Label

Unconjugated

Antibody Source

Polyclonal Rabbit IgG

Format

BSA Free

Concentration

Please see the vial label for concentration. If unlisted please contact technical services.

Product Specifications

Immunogen

small nuclear ribonucleoprotein polypeptide E. (Uniprot# P62304)

Clonality

Polyclonal

Host

Rabbit

Isotype

IgG

Theoretical MW

11 kDa.
Disclaimer note: The observed molecular weight of the protein may vary from the listed predicted molecular weight due to post translational modifications, post translation cleavages, relative charges, and other experimental factors.

Description

Novus Biologicals Rabbit SNRPE Antibody - BSA Free (NBP3-45872) is a polyclonal antibody validated for use in IHC, WB, ELISA and ICC/IF. All Novus Biologicals antibodies are covered by our 100% guarantee.

Scientific Data Images for SNRPE Antibody - BSA Free

SNRPE Antibody - BSA Free

Western Blot: SNRPE Antibody - BSA Free [NBP3-45872] -

Western Blot: SNRPE Antibody - BSA Free [NBP3-45872] - Human placenta tissue were subjected to SDS PAGE followed by western blot with ( SNRPE Antibody) at dilution of 1:1000
SNRPE Antibody - BSA Free

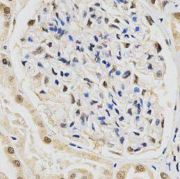
Immunohistochemistry: SNRPE Antibody - BSA Free [NBP3-45872] -

Immunohistochemistry: SNRPE Antibody - BSA Free [NBP3-45872] - Immunohistochemistry of paraffin-embedded human kidney using (SNRPE antibody) at dilution of 1:100

Applications for SNRPE Antibody - BSA Free

Application
Recommended Usage

Immunocytochemistry/ Immunofluorescence

1:50 - 1:200

Immunohistochemistry

1:50 - 1:200

Western Blot

1:500 - 1:2000

Formulation, Preparation, and Storage

Purification

Immunogen affinity purified

Formulation

PBS, 50% Glycerol, pH (7.3)

Format

BSA Free

Preservative

0.02% Sodium Azide

Concentration

Please see the vial label for concentration. If unlisted please contact technical services.

Shipping

The product is shipped with polar packs. Upon receipt, store it immediately at the temperature recommended below.

Stability & Storage

Store at -20C. Avoid freeze-thaw cycles.

Background: SNRPE

Appears to function in the U7 snRNP complex that is involved in histone 3'-end processing. Associated with snRNP U1, U2, U4/U6 and U5

Alternate Names

B-raf, Sm protein E, small nuclear ribonucleoprotein E, small nuclear ribonucleoprotein polypeptide E, SmE, Sm-ESME, snRNP-E

Gene Symbol

SNRPE

Additional SNRPE Products

Product Documents for SNRPE Antibody - BSA Free

Certificate of Analysis

To download a Certificate of Analysis, please enter a lot number in the search box below.

Product Specific Notices for SNRPE Antibody - BSA Free

This product is for research use only and is not approved for use in humans or in clinical diagnosis. Primary Antibodies are guaranteed for 1 year from date of receipt.

Loading...
Loading...
Loading...
Loading...