Skip to main content

SNRPE Antibody

Novus Biologicals, part of Bio-Techne | Catalog # NBP2-43792

Novus Biologicals, part of Bio-Techne
Catalog #
Availability
Size / Price
Qty
Loading...
NBP2-43792

Key Product Details

Species Reactivity

Validated:

Human, Mouse

Cited:

Human

Predicted:

Bovine (100%), Chicken (100%), Porcine (100%), Rat (100%), Rhesus Macaque (100%). Backed by our 100% Guarantee.

Applications

Validated:

Immunohistochemistry, Immunohistochemistry-Paraffin, Western Blot, Immunocytochemistry/ Immunofluorescence

Cited:

Western Blot, Immunocytochemistry/ Immunofluorescence

Label

Unconjugated

Antibody Source

Polyclonal Rabbit IgG

Concentration

Concentrations vary lot to lot. See vial label for concentration. If unlisted please contact technical services.

Product Specifications

Immunogen

Carrier-protein conjugated synthetic peptide encompassing a sequence within the center region of human SNRPE. The exact sequence is proprietary.

Clonality

Polyclonal

Host

Rabbit

Isotype

IgG

Theoretical MW

11 kDa.
Disclaimer note: The observed molecular weight of the protein may vary from the listed predicted molecular weight due to post translational modifications, post translation cleavages, relative charges, and other experimental factors.

Scientific Data Images for SNRPE Antibody

Western Blot: SNRPE Antibody [NBP2-43792]

Western Blot: SNRPE Antibody [NBP2-43792]

Western Blot: SNRPE Antibody [NBP2-43792] - Various whole cell extracts (30 ug) were separated by 15% SDS-PAGE, and the membrane was blotted with SNRPE antibody diluted at 1:5000. The HRP-conjugated anti-rabbit IgG antibody (NBP2-19301) was used to detect the primary antibody
SNRPE Antibody

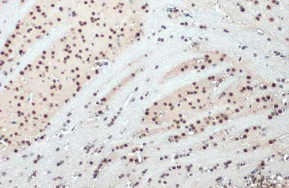
Immunohistochemistry-Paraffin: SNRPE Antibody [NBP2-43792] -

SNRPE antibody detects SNRPE protein at nucleus by immunohistochemical analysis.
Sample: Paraffin-embedded mouse brain.
SNRPE stained by SNRPE antibody (NBP2-43792) diluted at 1:500.
Antigen Retrieval: Citrate buffer, pH 6.0, 15 min
SNRPE Antibody

Immunohistochemistry-Paraffin: SNRPE Antibody [NBP2-43792] -

SNRPE antibody detects SNRPE protein at nucleus by immunohistochemical analysis.
Sample: Paraffin-embedded mouse brain.
SNRPE stained by SNRPE antibody (NBP2-43792) diluted at 1:500.
Antigen Retrieval: Citrate buffer, pH 6.0, 15 min

Applications for SNRPE Antibody

Application
Recommended Usage

Immunocytochemistry/ Immunofluorescence

Reported in scientific literature (PMID:34096600)

Immunohistochemistry

Assay dependent

Immunohistochemistry-Paraffin

Assay dependent

Western Blot

1:500-1:3000

Formulation, Preparation, and Storage

Purification

Antigen Affinity-purified

Formulation

PBS, 1% BSA, 20% Glycerol

Preservative

0.025% Proclin 300

Concentration

Concentrations vary lot to lot. See vial label for concentration. If unlisted please contact technical services.

Shipping

The product is shipped with polar packs. Upon receipt, store it immediately at the temperature recommended below.

Stability & Storage

Aliquot and store at -20C or -80C. Avoid freeze-thaw cycles.

Background: SNRPE

Appears to function in the U7 snRNP complex that is involved in histone 3'-end processing. Associated with snRNP U1, U2, U4/U6 and U5

Alternate Names

B-raf, Sm protein E, small nuclear ribonucleoprotein E, small nuclear ribonucleoprotein polypeptide E, SmE, Sm-ESME, snRNP-E

Gene Symbol

SNRPE

Additional SNRPE Products

Product Documents for SNRPE Antibody

Certificate of Analysis

To download a Certificate of Analysis, please enter a lot number in the search box below.

Product Specific Notices for SNRPE Antibody

This product is for research use only and is not approved for use in humans or in clinical diagnosis. Primary Antibodies are guaranteed for 1 year from date of receipt.

Loading...
Loading...
Loading...
Loading...