SLC47A2 Antibody
Novus Biologicals, part of Bio-Techne | Catalog # NBP1-97763
Key Product Details
Species Reactivity
Human
Applications
Immunohistochemistry, Immunohistochemistry-Paraffin, Western Blot, Peptide ELISA
Label
Unconjugated
Antibody Source
Polyclonal Goat IgG
Concentration
0.5 mg/ml
Product Specifications
Immunogen
Peptide with sequence SECHVDFFRTPEEAH corresponding to internal region (near C-Terminus) according to NP_690872.2, NP_001093116.1.
Specificity
This antibody is expected to recognize both reported isoforms (NP_690872.2; NP_001093116.1).
Clonality
Polyclonal
Host
Goat
Isotype
IgG
Description
Novus Biologicals Goat SLC47A2 Antibody (NBP1-97763) is a polyclonal antibody validated for use in IHC, WB and ELISA. Anti-SLC47A2 Antibody: Cited in 1 publication. All Novus Biologicals antibodies are covered by our 100% guarantee.
Scientific Data Images for SLC47A2 Antibody
Western Blot: SLC47A2 Antibody [NBP1-97763]
Western Blot: SLC47A2 Antibody [NBP1-97763] - (0.3ug/ml) staining of Human Testis lysate (35ug protein in RIPA buffer). Primary incubation was 1 hour. Detected by chemiluminescence.Immunohistochemistry-Paraffin: SLC47A2 Antibody [NBP1-97763]
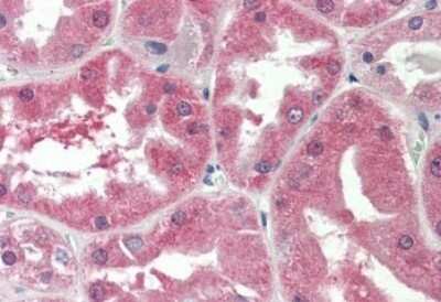
Immunohistochemistry-Paraffin: SLC47A2 Antibody [NBP1-97763] - 5ug/ml staining of paraffin embedded Human Kidney. Steamed antigen retrieval with citrate buffer pH 6, AP-staining.Applications for SLC47A2 Antibody
Application
Recommended Usage
Immunohistochemistry
0.1-1ug/ml
Peptide ELISA
Detection limit 1:32000
Western Blot
0.1-1 ug/ml
Application Notes
Western blot: Approx 60kDa band observed in Human Testis lysates (calculated MW of 61.0kDa according to NP_001093116.1). Primary incubation was 1 hour
IHC: Paraffin embedded Human Kidney.
IHC: Paraffin embedded Human Kidney.
Formulation, Preparation, and Storage
Purification
Immunogen affinity purified
Formulation
Tris saline (20 mM Tris pH 7.3, 150 mM NaCl), 0.5% BSA
Preservative
0.02% Sodium Azide
Concentration
0.5 mg/ml
Shipping
The product is shipped with polar packs. Upon receipt, store it immediately at the temperature recommended below.
Stability & Storage
Store at -20C. Avoid freeze-thaw cycles.
Background: SLC47A2
Long Name
Multidrug and toxin extrusion protein 2
Alternate Names
hMATE-2, MATE-2, MATE2
Entrez Gene IDs
146802 (Human)
Gene Symbol
SLC47A2
UniProt
Additional SLC47A2 Products
Product Documents for SLC47A2 Antibody
Product Specific Notices for SLC47A2 Antibody
This product is for research use only and is not approved for use in humans or in clinical diagnosis. Primary Antibodies are guaranteed for 1 year from date of receipt.
Loading...
Loading...
Loading...
Loading...