Skip to main content

SLC31A1/CTR1 Antibody - BSA Free

Novus Biologicals, part of Bio-Techne | Catalog # NB100-402

Novus Biologicals, part of Bio-Techne

Key Product Details

Species Reactivity

Validated:

Human, Mouse, Rat, Porcine, Canine, Xenopus, Zebrafish

Cited:

Human, Mouse, Rat, Canine

Applications

Validated:

Immunohistochemistry, Immunohistochemistry-Paraffin, Immunohistochemistry-Frozen, Western Blot, Immunocytochemistry/ Immunofluorescence

Cited:

Immunohistochemistry-Paraffin, Immunohistochemistry-Frozen, Western Blot, Immunocytochemistry/ Immunofluorescence, IF/IHC

Label

Unconjugated

Antibody Source

Polyclonal Rabbit IgG

Format

BSA Free

Concentration

1 mg/ml

Product Specifications

Immunogen

A synthetic peptide derived from a C-terminal sequence of human SLC31A1/CTR1

Reactivity Notes

Canine reactivity reported in scientific literature (PMID: 29901089).

Localization

Cell Membrane

Clonality

Polyclonal

Host

Rabbit

Isotype

IgG

Scientific Data Images for SLC31A1/CTR1 Antibody - BSA Free

Immunocytochemistry/ Immunofluorescence: SLC31A1/CTR1 Antibody [NB100-402]

Immunocytochemistry/ Immunofluorescence: SLC31A1/CTR1 Antibody [NB100-402]

Immunocytochemistry/Immunofluorescence: SLC31A1/CTR1 Antibody [NB100-402] - CTR1 antibody was tested in NIH-3T3 cells with DyLight 488 (green). Nuclei and alpha-tubulin were counterstained with DAPI (blue) and DyLight 550 (red).
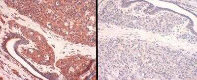
Immunohistochemistry: SLC31A1/CTR1 Antibody [NB100-402]

Immunohistochemistry: SLC31A1/CTR1 Antibody [NB100-402]

Immunohistochemistry: SLC31A1/CTR1 Antibody [NB100-402] - Panel 1: human CTR1 staining of breast cancer tissue. Panel 2: human CTR1-antigen competition in breast cancer tissue.
Immunohistochemistry: SLC31A1/CTR1 Antibody [NB100-402]

Immunohistochemistry: SLC31A1/CTR1 Antibody [NB100-402]

Immunohistochemistry: SLC31A1/CTR1 Antibody [NB100-402] - Left panel: Antibody staining of hCTR1 overexpressing cell line. Right panel: Antibody plus peptide competition staining.

Applications for SLC31A1/CTR1 Antibody - BSA Free

Application
Recommended Usage

Immunocytochemistry/ Immunofluorescence

1:500

Immunohistochemistry

1:250

Immunohistochemistry-Paraffin

1:250

Formulation, Preparation, and Storage

Purification

Immunogen affinity purified

Formulation

PBS

Format

BSA Free

Preservative

0.02% Sodium Azide

Concentration

1 mg/ml

Shipping

The product is shipped with polar packs. Upon receipt, store it immediately at the temperature recommended below.

Stability & Storage

Store at 4C short term. Store at -20C long term. Avoid freeze-thaw cycles.

Background: SLC31A1

SLC31A1/CTR1 (solute carrier family 31 member 1/copper transporter 1) is a homotrimeric high-affinity, saturable copper importer implicated in dietary copper uptake. Homeostasis of copper is tightly controlled by inter-regulatory circuitry containing copper, Sp1, and CTR1, wherein Sp1 transcription factor acts as a copper sensor in modulating CTR1 expression which in turn controls cellular copper and Sp1 levels in a 3-way mutual regulatory loop. CTR1 mediated copper uptake is time, temperature, and pH dependent and specific for reduced form of Cu (I) and copper reduction has been proposed to be caused by Steap protein family or Dcytb protein (Cybrd1) both of which are reported to possess cupric reductase activity. The intracellular localization of CTR1 is variable in different cell lines: CTR1 is localized at the plasma membrane in HEK293, CaCo-2, and A2780 cells, whereas, in other cells such as HeLa, it is predominantly localized to vesicular compartments, and variability in trafficking rates between vesicular and plasma membrane compartments has been suggested as the cause of this differential localization. Post-translational O-linked glycosylation of CTR1 protects it against proteolytic cleavage of N terminal 17-kD fragment and the biological function of this cleaved variant or protease responsible is largely unknown. Selective knockout of Ctr1 in murine intestinal epithelial cells results in severe systemic copper deficiency, ataxia, and death prior to weaning.

Long Name

Solute Carrier Family 31 Member 1

Alternate Names

COPT1, CTR1, HCTR1

Gene Symbol

SLC31A1

Additional SLC31A1 Products

Product Documents for SLC31A1/CTR1 Antibody - BSA Free

Certificate of Analysis

To download a Certificate of Analysis, please enter a lot number in the search box below.

Product Specific Notices for SLC31A1/CTR1 Antibody - BSA Free

This product is for research use only and is not approved for use in humans or in clinical diagnosis. Primary Antibodies are guaranteed for 1 year from date of receipt.

Loading...
Loading...
Loading...
Loading...
Loading...