SLC2A7 Antibody - BSA Free
Novus Biologicals, part of Bio-Techne | Catalog # NBP2-98131
Conjugate
Catalog #
Key Product Details
Species Reactivity
Human
Applications
Immunohistochemistry, Immunohistochemistry-Paraffin
Label
Unconjugated
Antibody Source
Polyclonal Rabbit IgG
Format
BSA Free
Concentration
Please see the vial label for concentration. If unlisted please contact technical services.
Product Specifications
Immunogen
Produced in rabbits immunized with E. coli-derived Human SLC2A7 fragment.
Clonality
Polyclonal
Host
Rabbit
Isotype
IgG
Description
This antibody can be stored at 2C to 8C for one month without detectable loss of activity. Antibody products are stable for twelve months from date of receipt when stored at -20C to -80C. Avoid repeated freeze-thaw cycles.
Scientific Data Images for SLC2A7 Antibody - BSA Free
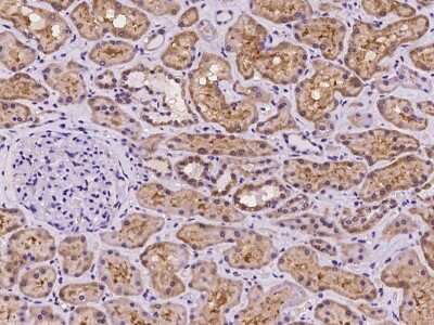
Immunohistochemistry-Paraffin: SLC2A7 Antibody [NBP2-98131]
Immunohistochemistry-Paraffin: SLC2A7 Antibody [NBP2-98131] - Immunochemical staining of human SLC2A7 in human liver with rabbit polyclonal antibody at 1:100 dilution, formalin-fixed paraffin embedded sections.Immunohistochemistry-Paraffin: SLC2A7 Antibody [NBP2-98131]
Immunohistochemistry-Paraffin: SLC2A7 Antibody [NBP2-98131] - Immunochemical staining of human SLC2A7 in human kidney with rabbit polyclonal antibody at 1:100 dilution, formalin-fixed paraffin embedded sections.Applications for SLC2A7 Antibody - BSA Free
Application
Recommended Usage
Immunohistochemistry-Paraffin
1:50-1:200
Formulation, Preparation, and Storage
Purification
Antigen and protein A Affinity-purified
Formulation
PBS
Format
BSA Free
Preservative
0.03% Proclin 300
Concentration
Please see the vial label for concentration. If unlisted please contact technical services.
Shipping
The product is shipped with polar packs. Upon receipt, store it immediately at the temperature recommended below.
Stability & Storage
Store at 4C short term. Aliquot and store at -20C long term. Avoid freeze-thaw cycles.
Background: SLC2A7
Alternate Names
GLUT-7, GLUT7Glucose transporter type 7, intestinal facilitative glucose transporter 7, solute carrier family 2 (facilitated glucose transporter), member 7, solute carrier family 2, facilitated glucose transporter member 7
Gene Symbol
SLC2A7
Additional SLC2A7 Products
Product Specific Notices for SLC2A7 Antibody - BSA Free
This product is for research use only and is not approved for use in humans or in clinical diagnosis. Primary Antibodies are guaranteed for 1 year from date of receipt.
Loading...
Loading...
Loading...
Loading...