Skip to main content

Siglec-14 Antibody - BSA Free

Novus Biologicals, part of Bio-Techne | Catalog # NBP1-91117

Novus Biologicals, part of Bio-Techne
Catalog #
Availability
Size / Price
Qty
Loading...
NBP1-91117
NBP1-91117-25ul

Key Product Details

Species Reactivity

Human

Applications

Immunohistochemistry, Immunohistochemistry-Paraffin

Label

Unconjugated

Antibody Source

Polyclonal Rabbit IgG

Format

BSA Free

Concentration

Concentrations vary lot to lot. See vial label for concentration. If unlisted please contact technical services.

Product Specifications

Immunogen

This antibody was developed against Recombinant Protein corresponding to amino acids: CQVKRQGAQVTTERTVQLNVSYAPQNLAISIFFRNGTGTALRILSNGMSVPIQEGQSLFLACTVDSNPPASLSWFREGKALNPSQTSMSGTLELPNIGAREGGEFTCRVQHPLGSQHLSF

Clonality

Polyclonal

Host

Rabbit

Isotype

IgG

Scientific Data Images for Siglec-14 Antibody - BSA Free

Immunohistochemistry-Paraffin: Siglec-14 Antibody [NBP1-91117]

Immunohistochemistry-Paraffin: Siglec-14 Antibody [NBP1-91117]

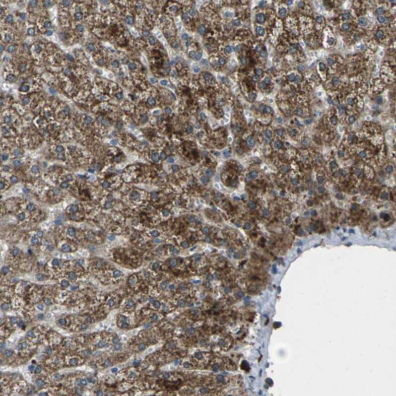
Immunohistochemistry-Paraffin: Siglec-14 Antibody [NBP1-91117] - Staining of human liver shows strong cytoplasmic positivity in a granular pattern in hepatocytes.
Siglec-14 Antibody - BSA Free Immunohistochemistry: Siglec-14 Antibody - BSA Free [NBP1-91117]

Immunohistochemistry: Siglec-14 Antibody - BSA Free [NBP1-91117]

Staining of human liver shows moderate granular cytoplasmic and membranous positivity in hepatocytes.

Applications for Siglec-14 Antibody - BSA Free

Application
Recommended Usage

Immunohistochemistry

1:20 - 1:50

Immunohistochemistry-Paraffin

1:20 - 1:50
Application Notes
For IHC-Paraffin, HIER pH 6 retrieval is recommended.

Formulation, Preparation, and Storage

Purification

Affinity purified

Formulation

PBS (pH 7.2) and 40% Glycerol

Format

BSA Free

Preservative

0.02% Sodium Azide

Concentration

Concentrations vary lot to lot. See vial label for concentration. If unlisted please contact technical services.

Shipping

The product is shipped with polar packs. Upon receipt, store it immediately at the temperature recommended below.

Stability & Storage

Store at 4C short term. Aliquot and store at -20C long term. Avoid freeze-thaw cycles.

Background: Siglec-14

Siglecs are I-type (Ig-type) lectins belonging to the Ig superfamily. They are characterized by an N-terminal, Ig-like V-type domain that mediates sialic acid binding, followed by varying numbers of Ig-like C2-type domains (2 to 17), a single transmembrane region, and a cytoplasmic tail. The siglecs can be broadly classified into two subgroups: Siglecs-1, -2, and -4, and a Siglec-3/CD33-related subgroup (Siglecs-3, and -5 through -13 in primates) defined by sequence similarity and clustered gene localization. They are widely expressed on hematopoietic cells, often in a cell-type-specific manner, and Siglec-4/MAG is a myelin component in Schwann cells and oligodendrocytes. Their ligands, sialic acids, are negatively charged monosaccharides found on cell-surface glycoproteins and glycolipids. Although Siglec functions continue to be defined, most have intracellular immunoreceptor tyrosine-based inhibitory motifs (ITIM), implicating them in the suppression of immunoreceptor signaling. They may also participate in cell/cell interactions or act as receptors for the entry of viral or bacterial pathogens.

Long Name

Sialic Acid Binding Ig-like Lectin 14

Alternate Names

Siglec14

Gene Symbol

SIGLEC14

Additional Siglec-14 Products

Product Documents for Siglec-14 Antibody - BSA Free

Certificate of Analysis

To download a Certificate of Analysis, please enter a lot number in the search box below.

Product Specific Notices for Siglec-14 Antibody - BSA Free

This product is for research use only and is not approved for use in humans or in clinical diagnosis. Primary Antibodies are guaranteed for 1 year from date of receipt.

Loading...
Loading...
Loading...
Loading...