Skip to main content

SHISA5 Antibody - BSA Free

Novus Biologicals, part of Bio-Techne | Catalog # NBP2-97841

Novus Biologicals, part of Bio-Techne

Key Product Details

Species Reactivity

Human

Applications

Immunohistochemistry, Immunohistochemistry-Paraffin, Western Blot, Immunoprecipitation

Label

Unconjugated

Antibody Source

Polyclonal Rabbit IgG

Format

BSA Free

Concentration

Please see the vial label for concentration. If unlisted please contact technical services.

Product Specifications

Immunogen

Produced in rabbits immunized with E. coli-derived Human SHISA5 fragment.

Clonality

Polyclonal

Host

Rabbit

Isotype

IgG

Description

This antibody can be stored at 2C to 8C for one month without detectable loss of activity. Antibody products are stable for twelve months from date of receipt when stored at -20C to -80C. Avoid repeated freeze-thaw cycles.

Scientific Data Images for SHISA5 Antibody - BSA Free

Western Blot: SHISA5 Antibody [NBP2-97841]

Western Blot: SHISA5 Antibody [NBP2-97841]

Western Blot: SHISA5 Antibody [NBP2-97841] - Anti-SHISA5 rabbit polyclonal antibody at 1:500 dilution. Lane A: HepG2 Whole Cell Lysate Lysates/proteins at 30 ug per lane. Secondary Goat Anti-Rabbit IgG (H+L)/HRP at 1/10000 dilution. Developed using the ECL technique. Performed under reducing conditions. Predicted band size: 26 kDa. Observed band size: 28 kDa
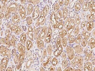
Immunohistochemistry-Paraffin: SHISA5 Antibody [NBP2-97841]

Immunohistochemistry-Paraffin: SHISA5 Antibody [NBP2-97841]

Immunohistochemistry-Paraffin: SHISA5 Antibody [NBP2-97841] - Human kidney with rabbit polyclonal antibody at 1:100 dilution.
Immunoprecipitation: SHISA5 Antibody [NBP2-97841]

Immunoprecipitation: SHISA5 Antibody [NBP2-97841]

Immunoprecipitation: SHISA5 Antibody [NBP2-97841] - SHISA5 was immunoprecipitated using: Lane A: 0.5 mg HepG2 Whole Cell Lysate 4 ul anti-SHISA5 rabbit polyclonal antibody and 60 ug of Immunomagnetic beads Protein A/G. Primary antibody: Anti-SHISA5 rabbit polyclonal antibody, at 1:100 dilution. Secondary antibody: Goat Anti-Rabbit IgG (H+L)/HRP at 1/10000 dilution. Developed using the ECL technique. Performed under reducing conditions. Predicted band size: 26 kDa. Observed band size: 28 kDa

Applications for SHISA5 Antibody - BSA Free

Application
Recommended Usage

Immunohistochemistry-Paraffin

1:50-1:200

Immunoprecipitation

1-5uL/mg of lysate

Western Blot

1:500-1:2000

Formulation, Preparation, and Storage

Purification

Antigen and protein A Affinity-purified

Formulation

PBS

Format

BSA Free

Preservative

0.03% Proclin 300

Concentration

Please see the vial label for concentration. If unlisted please contact technical services.

Shipping

The product is shipped with polar packs. Upon receipt, store it immediately at the temperature recommended below.

Stability & Storage

Store at 4C short term. Aliquot and store at -20C long term. Avoid freeze-thaw cycles.

Background: SHISA5

SHISA5 is a gene that codes for a protein with four isoforms with lengths of 240, 209, 137, and 118 amino acids and weights of approximately 26, 22, 15, and 13 kDa respectively. The protein that SHISA5 codes for is able to induce apoptosis in both caspase-dependent and p53/TP53-dependent apoptosis. Current research is being done on diseases and disorders related to this gene including carcinoma, pandas, neuroblastoma, and schizophrenia. SHISA5 has also been shown to have interactions with COPS5, TP53, WWOX, and ALG2 in pathways such as the p53 signaling pathway.

Alternate Names

protein shisa-5, Putative NF-kappa-B-activating protein 120, Scotin, SCOTINhShisa5, shisa homolog 5 (Xenopus laevis)

Gene Symbol

SHISA5

Additional SHISA5 Products

Product Documents for SHISA5 Antibody - BSA Free

Certificate of Analysis

To download a Certificate of Analysis, please enter a lot number in the search box below.

Product Specific Notices for SHISA5 Antibody - BSA Free

This product is for research use only and is not approved for use in humans or in clinical diagnosis. Primary Antibodies are guaranteed for 1 year from date of receipt.

Loading...
Loading...
Loading...
Loading...