Skip to main content

SF3A1 Antibody (OTI3F4)

Novus Biologicals, part of Bio-Techne | Catalog # NBP2-45803

Novus Biologicals, part of Bio-Techne
Discontinued Product
NBP2-45803 has been discontinued. View all SF3A1 products.

Key Product Details

Species Reactivity

Human, Mouse, Rat

Applications

Immunohistochemistry, Immunohistochemistry-Paraffin, Western Blot

Label

Unconjugated

Antibody Source

Monoclonal Mouse IgG2A Clone # OTI3F4

Concentration

1 mg/ml

Product Specifications

Immunogen

Human recombinant protein fragment corresponding to amino acids 249-568 of human SF3A1 (NP_005868) produced in E.coli.

Reactivity Notes

Please note that this antibody is reactive to Mouse and derived from the same host, Mouse. Mouse-On-Mouse blocking reagent may be needed for IHC and ICC experiments to reduce high background signal. You can find these reagents under catalog numbers PK-2200-NB and MP-2400-NB. Please contact Technical Support if you have any questions.

Clonality

Monoclonal

Host

Mouse

Isotype

IgG2A

Theoretical MW

88.7 kDa.
Disclaimer note: The observed molecular weight of the protein may vary from the listed predicted molecular weight due to post translational modifications, post translation cleavages, relative charges, and other experimental factors.

Description

Novus Biologicals Mouse SF3A1 Antibody (OTI3F4) (NBP2-45803) is a monoclonal antibody validated for use in IHC and WB. All Novus Biologicals antibodies are covered by our 100% guarantee.

Scientific Data Images for SF3A1 Antibody (OTI3F4)

Western Blot: SF3A1 Antibody (OTI3F4) [NBP2-45803]

Western Blot: SF3A1 Antibody (OTI3F4) [NBP2-45803]

Western Blot: SF3A1 Antibody (3F4) [NBP2-45803] - Analysis of extracts (35ug) from 9 different cell lines (HepG2: human; HeLa: human; SVT2: mouse; A549: human; COS7: monkey; Jurkat: human; MDCK: canine; PC12: rat; MCF7: human).
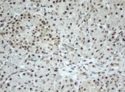
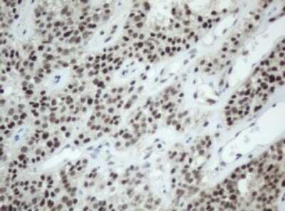
Immunohistochemistry: SF3A1 Antibody (OTI3F4) [NBP2-45803]

Immunohistochemistry: SF3A1 Antibody (OTI3F4) [NBP2-45803]

Immunohistochemistry: SF3A1 Antibody (3F4) [NBP2-45803] - Analysis of Carcinoma of Human bladder tissue. (Heat-induced epitope retrieval by 10mM citric buffer, pH6.0, 120C for 3min)
Western Blot: SF3A1 Antibody (OTI3F4) [NBP2-45803]

Western Blot: SF3A1 Antibody (OTI3F4) [NBP2-45803]

Western Blot: SF3A1 Antibody (3F4) [NBP2-45803] - Analysis of HEK293T cells were transfected with the pCMV6-ENTRY control (Left lane) or pCMV6-ENTRY SF3A1.

Applications for SF3A1 Antibody (OTI3F4)

Application
Recommended Usage

Immunohistochemistry

1:500

Western Blot

1:2000

Formulation, Preparation, and Storage

Purification

Immunogen affinity purified

Formulation

PBS (pH 7.3), 1.0% BSA and 50% Glycerol

Preservative

0.02% Sodium Azide

Concentration

1 mg/ml

Shipping

The product is shipped with polar packs. Upon receipt, store it immediately at the temperature recommended below.

Stability & Storage

Store at -20C. Avoid freeze-thaw cycles.

Background: SF3A1

SF3A1 encodes subunit 1 of the splicing factor 3a protein complex. The splicing factor 3a heterotrimer includes subunits 1, 2 and 3 and is necessary for the in vitro conversion of 15S U2 snRNP into an active 17S particle that performs pre-mRNA splicing. Subunit 1 belongs to the SURP protein family; named for the SURP (also called SWAP or Suppressor-of-White-APricot) motifs that are thought to mediate RNA binding. Subunit 1 has tandemly repeated SURP motifs in its amino-terminal half while its carboxy-terminal half contains a proline-rich region and a ubiquitin-like domain. Binding studies with truncated subunit 1 derivatives demonstrated that the two SURP motifs are necessary for binding to subunit 3 while contacts with subunit 2 may occur through sequences carboxy-terminal to the SURP motifs. Alternative splicing results in multiple transcript variants encoding different isoforms. [provided by RefSeq]

Alternate Names

pre-mRNA processing 21, pre-mRNA splicing factor SF3a (120 kDa subunit), PRP21, PRPF21, SAP 114, SAP114splicing factor 3a, subunit 1, 120kD, SF3a120, spliceosome associated protein 114, Spliceosome-associated protein 114, splicing factor 3 subunit 1, splicing factor 3A subunit 1, splicing factor 3a, subunit 1, 120kDa

Gene Symbol

SF3A1

Additional SF3A1 Products

Product Documents for SF3A1 Antibody (OTI3F4)

Certificate of Analysis

To download a Certificate of Analysis, please enter a lot number in the search box below.

Product Specific Notices for SF3A1 Antibody (OTI3F4)

This product is for research use only and is not approved for use in humans or in clinical diagnosis. Primary Antibodies are guaranteed for 1 year from date of receipt.

Loading...
Loading...
Loading...
Loading...