Skip to main content

SF-1/NR5A1/Steroidogenic Factor 1 Antibody (OTI1B4)

Novus Biologicals, part of Bio-Techne | Catalog # NBP2-46247

Novus Biologicals, part of Bio-Techne
Catalog #
Availability
Size / Price
Qty
Loading...
NBP2-46247

Key Product Details

Species Reactivity

Validated:

Human, Mouse, Rat

Cited:

Rat

Applications

Validated:

Immunohistochemistry, Immunohistochemistry-Paraffin, Western Blot

Cited:

Western Blot

Label

Unconjugated

Antibody Source

Monoclonal Mouse IgG2A Clone # OTI1B4

Concentration

1 mg/ml

Product Specifications

Immunogen

Human recombinant protein fragment corresponding to amino acids 1-262 of human NR5A1(NP_004950) produced in E.coli.

Reactivity Notes

Please note that this antibody is reactive to Mouse and derived from the same host, Mouse. Mouse-On-Mouse blocking reagent may be needed for IHC and ICC experiments to reduce high background signal. You can find these reagents under catalog numbers PK-2200-NB and MP-2400-NB. Please contact Technical Support if you have any questions.

Clonality

Monoclonal

Host

Mouse

Isotype

IgG2A

Theoretical MW

51.5 kDa.
Disclaimer note: The observed molecular weight of the protein may vary from the listed predicted molecular weight due to post translational modifications, post translation cleavages, relative charges, and other experimental factors.

Description

Novus Biologicals Mouse SF-1/NR5A1/Steroidogenic Factor 1 Antibody (OTI1B4) (NBP2-46247) is a monoclonal antibody validated for use in IHC and WB. Anti-SF-1/NR5A1/Steroidogenic Factor 1 Antibody: Cited in 1 publication. All Novus Biologicals antibodies are covered by our 100% guarantee.

Scientific Data Images for SF-1/NR5A1/Steroidogenic Factor 1 Antibody (OTI1B4)

Western Blot: SF-1/NR5A1/Steroidogenic Factor 1 Antibody (OTI1B4) [NBP2-46247]

Western Blot: SF-1/NR5A1/Steroidogenic Factor 1 Antibody (OTI1B4) [NBP2-46247]

Western Blot: SF-1/NR5A1/Steroidogenic Factor 1 Antibody (1B4) [NBP2-46247] - Analysis of HEK293T cells were transfected with the pCMV6-ENTRY control (Left lane) or pCMV6-ENTRY NR5A1.
Immunohistochemistry: SF-1/NR5A1/Steroidogenic Factor 1 Antibody (OTI1B4) [NBP2-46247]

Immunohistochemistry: SF-1/NR5A1/Steroidogenic Factor 1 Antibody (OTI1B4) [NBP2-46247]

Immunohistochemistry: SF-1/NR5A1/Steroidogenic Factor 1 Antibody (1B4) [NBP2-46247] - Analysis of Human lymph node tissue. (Heat-induced epitope retrieval by 1 mM EDTA in 10mM Tris, pH8.5, 120C for 3min)
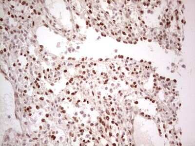
Immunohistochemistry: SF-1/NR5A1/Steroidogenic Factor 1 Antibody (OTI1B4) [NBP2-46247]

Immunohistochemistry: SF-1/NR5A1/Steroidogenic Factor 1 Antibody (OTI1B4) [NBP2-46247]

Immunohistochemistry: SF-1/NR5A1/Steroidogenic Factor 1 Antibody (1B4) [NBP2-46247] - Analysis of Human endometrium tissue. (Heat-induced epitope retrieval by 1 mM EDTA in 10mM Tris, pH8.5, 120C for 3min)

Applications for SF-1/NR5A1/Steroidogenic Factor 1 Antibody (OTI1B4)

Application
Recommended Usage

Immunohistochemistry

1:150

Immunohistochemistry-Paraffin

1:150

Western Blot

1:2000

Formulation, Preparation, and Storage

Purification

Immunogen affinity purified

Formulation

PBS (pH 7.3), 1.0% BSA and 50% Glycerol

Preservative

0.02% Sodium Azide

Concentration

1 mg/ml

Shipping

The product is shipped with polar packs. Upon receipt, store it immediately at the temperature recommended below.

Stability & Storage

Store at -20C. Avoid freeze-thaw cycles.

Background: SF-1/NR5A1

Steroidogenic factor 1 (SF-1), a NR5 Fushi Tarazu-Like Receptor, has been shown to affect sexual differentiation, steroid metabolism, and neural development. SF-1 binds as a monomer and regulates all steroidogenic p450 genes, Mullerian inhibiting substance, the gonadotrophins, the ACTH receptor, oxytocin, nuclear receptor DAX-1, and several other genes. Four alternatively spliced isoforms of SF-1 have been isolated in mice, and they differ at the N and C termini but are identical in the DNA-binding domain. SF-1 expression has been documented in human brain, adrenal, spleen, liver, heart, ovary, testis, and placenta. ESTs have been isolated from human tissue libraries, including cancerous adrenal and normal lung and testis.

Long Name

Steroidogenic Factor 1

Alternate Names

AD4BP, FTZF1, NR5A1, SF1

Gene Symbol

NR5A1

Additional SF-1/NR5A1 Products

Product Documents for SF-1/NR5A1/Steroidogenic Factor 1 Antibody (OTI1B4)

Certificate of Analysis

To download a Certificate of Analysis, please enter a lot number in the search box below.

Product Specific Notices for SF-1/NR5A1/Steroidogenic Factor 1 Antibody (OTI1B4)

This product is for research use only and is not approved for use in humans or in clinical diagnosis. Primary Antibodies are guaranteed for 1 year from date of receipt.

Loading...
Loading...
Loading...
Loading...