Skip to main content

SDHB Antibody (HL2251) - Azide and BSA Free

Novus Biologicals, part of Bio-Techne | Catalog # NBP3-25504

Recombinant Monoclonal Antibody
Novus Biologicals, part of Bio-Techne
Catalog #
Availability
Size / Price
Qty
Loading...
NBP3-25504

Key Product Details

Validated by

Orthogonal Validation

Species Reactivity

Human, Mouse, Rat, Canine

Applications

Immunohistochemistry, Immunohistochemistry-Paraffin, Western Blot

Label

Unconjugated

Antibody Source

Recombinant Monoclonal Rabbit IgG Clone # HL2251 expressed in HEK293

Format

Azide and BSA Free

Concentration

Concentrations vary lot to lot. See vial label for concentration. If unlisted please contact technical services.

Product Specifications

Immunogen

Recombinant fragment of human SDHB.

Clonality

Monoclonal

Host

Rabbit

Isotype

IgG

Description

Novus Biologicals Rabbit SDHB Antibody (HL2251) - Azide and BSA Free (NBP3-25504) is a recombinant monoclonal antibody validated for use in IHC and WB. All Novus Biologicals antibodies are covered by our 100% guarantee.

Scientific Data Images for SDHB Antibody (HL2251) - Azide and BSA Free

SDHB Antibody (HL2251) - Azide and BSA Free

Western Blot: SDHB Antibody (HL2251) - Azide and BSA Free [NBP3-25504] -

Western Blot: SDHB Antibody (HL2251) - Azide and BSA Free [NBP3-25504] - Various whole cell extracts (30 ug) were separated by 12% SDS-PAGE, and the membrane was blotted with SDHB antibody [HL2251] (NBP3-25504) diluted at 1:1000. The HRP-conjugated anti-rabbit IgG antibody was used to detect the primary antibody.
SDHB Antibody (HL2251) - Azide and BSA Free

Immunohistochemistry-Paraffin: SDHB Antibody (HL2251) - Azide and BSA Free [NBP3-25504] -

Immunohistochemistry-Paraffin: SDHB Antibody (HL2251) - Azide and BSA Free [NBP3-25504] - SDHB antibody [HL2251] detects SDHB protein at mitochondria by immunohistochemical analysis. Sample: Paraffin-embedded dog brain. SDHB stained by SDHB antibody [HL2251] (NBP3-25504) diluted at 1:100. Antigen Retrieval: Citrate buffer, pH 6.0, 15 min
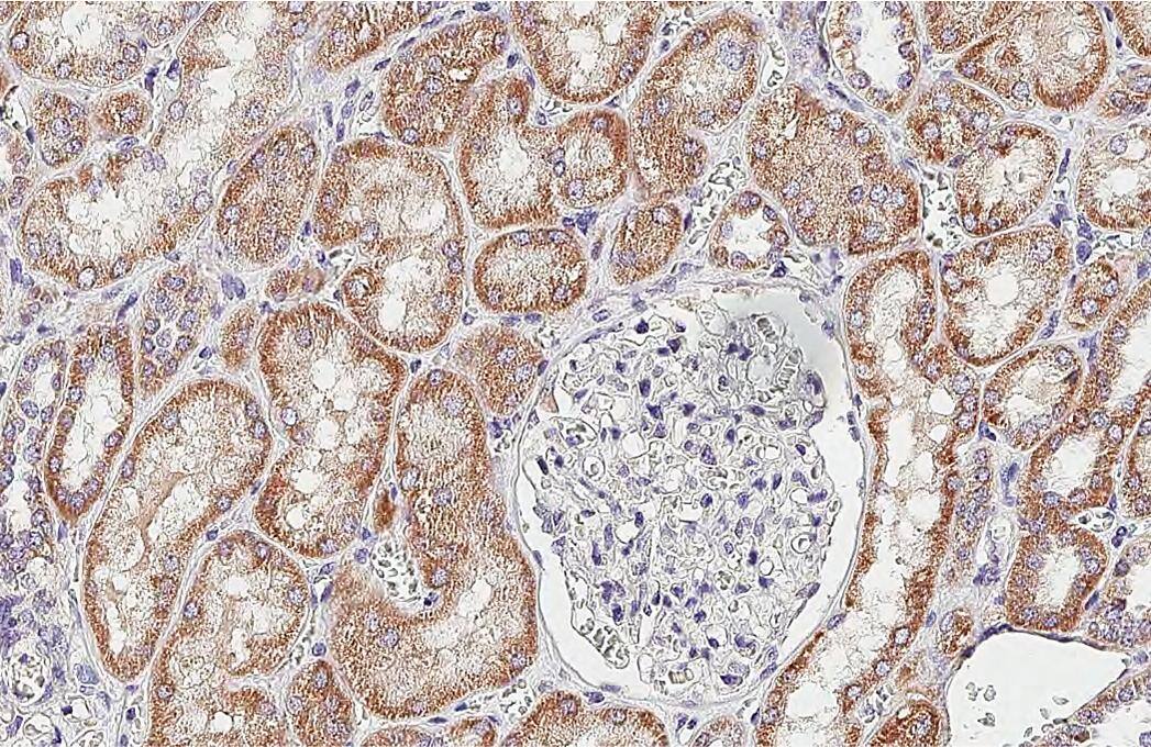
SDHB Antibody (HL2251) - Azide and BSA Free

Immunohistochemistry-Paraffin: SDHB Antibody (HL2251) [NBP3-25504] -

SDHB antibody [HL2251] detects SDHB protein by immunohistochemical analysis.
Sample: Paraffin-embedded human kidney.
SDHB stained by SDHB antibody [HL2251] (NBP3-25504) diluted at 1:200.
Antigen Retrieval: Citrate buffer, pH 6.0, 15 min

Applications for SDHB Antibody (HL2251) - Azide and BSA Free

Application
Recommended Usage

Western Blot

1:500-1:3000

Formulation, Preparation, and Storage

Purification

Protein A purified

Formulation

PBS

Format

Azide and BSA Free

Preservative

No Preservative

Concentration

Concentrations vary lot to lot. See vial label for concentration. If unlisted please contact technical services.

Shipping

The product is shipped with polar packs. Upon receipt, store it immediately at the temperature recommended below.

Stability & Storage

Store at 4C short term. Aliquot and store at -20C long term. Avoid freeze-thaw cycles.

Background: SDHB

Complex II of the respiratory chain, which is specifically involved in the oxidation of succinate, carries electrons from FADH to CoQ. The complex is composed of four nuclear-encoded subunits and is localized in the mitochondrial inner membrane. The iron-sulfur subunit is highly conserved and contains three cysteine-rich clusters which may comprise the iron-sulfur centers of the enzyme. Sporadic and familial mutations in this gene result in paragangliomas and pheochromocytoma, and support a link between mitochondrial dysfunction and tumorigenesis. [provided by RefSeq]

Alternate Names

EC 1.3.5.1, FLJ92337, Ip, Iron-sulfur subunit of complex II, PGL4, SDH, SDH1, SDH2, SDHIP, succinate dehydrogenase [ubiquinone] iron-sulfur subunit, mitochondrial, succinate dehydrogenase complex, subunit B, iron sulfur (Ip)

Gene Symbol

SDHB

Additional SDHB Products

Product Documents for SDHB Antibody (HL2251) - Azide and BSA Free

Certificate of Analysis

To download a Certificate of Analysis, please enter a lot number in the search box below.

Product Specific Notices for SDHB Antibody (HL2251) - Azide and BSA Free

This product is for research use only and is not approved for use in humans or in clinical diagnosis. Primary Antibodies are guaranteed for 1 year from date of receipt.

Loading...
Loading...
Loading...
Loading...